受凉引起发热是病毒还是细菌感染 (细菌感染引起的发热可以喝姜水么)

细发热从医学角度上来说,确实分为五种不同的类型,如稽留热,是体温持续高于正常,且维持在39℃——40℃,居高不下,波动小。

病毒感染和细菌感染发热的区别,病毒感染发热和细菌感染发热区别

但是这个是根据发热的温度、时间、波动范围等而进行分类的,和发病原因虽然有一定的关系,但是并不能因为细菌感染亦或是病毒感染而简单的概括。

单纯的从发热的症状来看,是无法区别是细菌感染还是病毒感染,这也和感染的部位等因素有关。

病毒感染和细菌感染发热的区别,病毒感染发热和细菌感染发热区别

发热,简单点说就是人体的产热大于散热,体内的热无法散出去,所以体温就会升高。造成发热的原因有很多,最常见的就是细菌感染所导致的发热,另外病毒、支原体、真菌等病原体的感染也会导致发热。除此之外,还有非感染性的发热,如甲亢患者因激素分泌异常导致的发热。

病毒感染和细菌感染发热的区别,病毒感染发热和细菌感染发热区别

普通肺炎会出现发热,而新型冠状病毒感染导致的肺炎也会出现发热,所以很多人想从发热入手来区别普通肺炎和新型肺炎,一般情况性病毒性肺炎往往因为潜伏期时间比较长,所以在早期往往会有长时间的低烧阶段,而细菌性的肺炎往往进展比较快,而且一旦形成大叶肺炎会出现明显的高热。

但是单纯的依靠发热是无法准确诊断这两者的。两者还有很多的相似之处,如咳嗽、咳痰等,尤其是老年性的肺炎,也会出现呼吸困难等,这一点更难和新型肺炎区别。

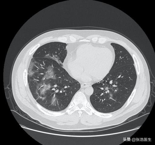
病毒感染和细菌感染发热的区别,病毒感染发热和细菌感染发热区别

(上图是冠状病毒肺炎的胸部CT图像)

就目前公布的情况来看,单纯的从发热症状来看,无法完全的区别的新型肺炎和其他的肺炎,建议出现咳嗽、呼吸困难、发热症状的人群,尤其是有武汉接触史的,尽早上报隔离,必要时就诊发热门诊及时治疗,为自己考虑也为周围的人考虑。#疫情之下,我的日常生活# #关注新型肺炎# #清风计划# @清风计划 @头条健康