鲁网2月2日讯新年伊始,青岛市市立医院东院呼吸与危重症医学科郝万明主任带领呼吸介入团队,一周内成功完成四例硬质气管镜下支气管内肿瘤切除术,成功改善恶性气道狭窄,先后救治四名因恶性肿瘤导致气道梗阻的患者。
肺癌进展堵气道 “硬软结合”显神威
65岁的孙先生(化名)确诊左肺鳞癌伴肝转移两年余,期间先后进行过化疗、放疗、靶向治疗、热疗等治疗,辗转多家医院、多个科室,效果差强人意。随着病情进展,恶性肿瘤逐渐侵占支气管管腔,出现咯血、活动后憋喘等症状。
术前,郝万明主任带领呼吸介入团队对肿瘤位置,大小、血运情况、气道狭窄程度充分评估,完善检查并排除禁忌后,为患者行全麻下硬质支气管镜检查+镜下支气管肿瘤切除术。快速置入硬质气管镜后进软镜,左主支气管管腔几乎被肿瘤完全阻塞,仅残留一丝缝隙,表面附着坏死物,镜身不能通过。给予左主支气管新生物高频电圈套、电凝、氩气刀及冻融、冻切等方式治疗,左主支气管完全通畅,远端左下叶支气管完全通畅,患者通气立即改善。

郝万明主任团队硬镜操作

病灶切除前后对比:左主支气管被肿瘤完全阻塞(左),肿瘤切除后左主支气管完全通畅(右)

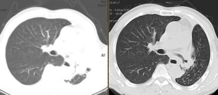
病灶切除前后CT对比:左主支气管被肿瘤完全阻塞、左肺不张(左),右图示肿瘤切除后左主支气管完全通畅、左肺复张(右)
老年新发哮喘病?气管硬镜定乾坤
79岁的李先生(化名)身体硬朗,近期出现胸闷、憋气、喘息,呼吸带“哨音”,到社区医院就诊考虑为“支气管哮喘”。医生仔细询问病史后,对于老年人新发哮喘诊断存疑,拟进一步完善胸部CT检查排除其他病变。
结果令人大吃一惊,患者的“喘”竟是因为新生物阻塞气道,使气道变窄,气流通过后出现类似“哮鸣音”。
与家属充分沟通、讲明风险后行全麻下硬质支气管镜检查+内镜下支气管病损切除术。麻醉医师为患者施行麻醉,从监护、静脉麻醉到插管一气呵成,为之后的介入手术提供了充分的保障。镜下发现左主支气管近隆突2cm处可见新生物阻塞管腔,在麻醉医师的保驾护航下行高频电圈套、电凝、冷冻、氩等离子体凝固(APC)等方式治疗,新生物大部清理,左主支气管完全通畅,远端左下叶支气管复通。
术后病理送检提示为肺鳞癌,患者自觉呼吸瞬间通畅,为后续针对肿瘤的治疗赢得了时间。

多学科团队协助保障手术安全

病灶切除前后对比(左图为术前,右图为术后)
郝万明主任表示,中央气道狭窄常由于气道内原发的良恶性肿瘤、各种原因所致的气道损伤、吸入有害气体导致的化学损伤及感染性疾病造成。气道内介入治疗主要目的是改善此类患者通气功能。
目前,硬质支气管镜已不再是单纯大气道内操作通道的管状器械,联合二氧化碳冷冻、高频电圈套、氩等离子体凝固(APC)、球囊扩张等技术,成为针对大气道病变介入治疗的重要手段,当遇到突发出血等紧急情况时,可操作性比软镜具有很大优势。
硬质支气管镜对呼吸内镜医师技术水平要求高,手术设计精细,操作难度大。短短一周内顺利进行四台硬质气管镜下气道肿物切除术,是对呼吸科、麻醉科、微创介入、监护室等多学科医疗救治能力的考验,也是多学科团队高效配合、通力协作的生动体现。(通讯员 谢小真)