我一邻居王阿婆,头发雪白容颜慈祥,性格开朗爱说爱笑。她虽然已经79岁了,可还一点也不显老,有些事还能作为家里的主心骨呢。虽然老伴去世2年,小日子过得还是充实开心。
四月的一天,忧心忡忡的家人把王阿婆带到了黄雪融主任的门诊。原来儿女发现她近段时间变了,开始记不住一些平时很熟悉的事情,女儿的名字、自己住在哪里等说不上来了.她走路也变得缓慢,动作笨拙,吃饭也有一顿没一顿的。有时候她还会突然精神疲软,行走不稳,右侧肢体无力,甚至小便*禁失**。儿女们怀疑她是不是中风了,或者是老年痴呆了,非常担心。

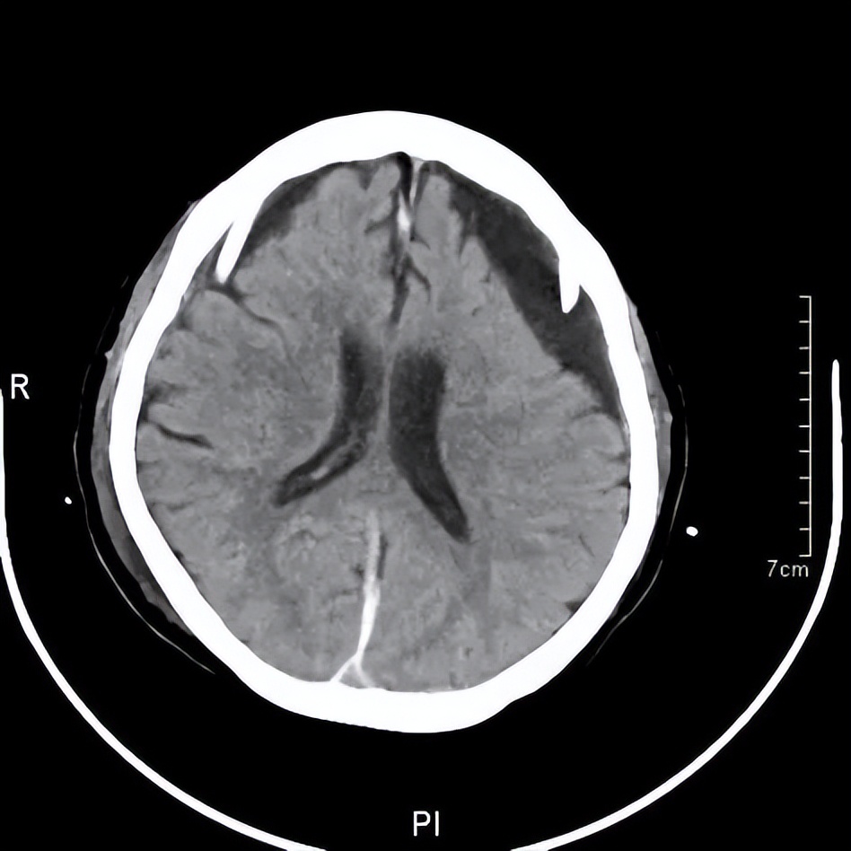
黄主任询问了王阿婆的病史,给她做了简单的神经检查和认知测试,给王阿婆安排了急诊CT检查。结果显示,王阿婆的脑部有两处出血,报告为“双侧慢性硬膜下血肿”,需尽快神经外科住院治疗。神经外科建议王阿婆接受一个叫做“双侧钻孔引流”的手术。需在王阿婆的头部钻两个小孔,把血肿引流出来,手术并不复杂,但是需要专业的神经外科医生来执行。
最终王阿婆在我院神经外科接受了双侧钻孔引流手术。通过几天引流后,她就可以下床走动,说话也清楚了,记忆力也恢复了。她的儿女都很高兴,感谢黄主任和神经外科的医生们。王阿婆出院回家继续休养康复。几个月后复查,血肿完全消退,阿婆又恢复了昔日神采,一家人共享天伦之乐。

王阿婆门诊的头颅CT

王阿婆门诊的头颅CT

王阿婆门诊的头颅CT

王阿婆手术后引流置管状态的头颅CT

王阿婆手术后引流置管状态的头颅CT

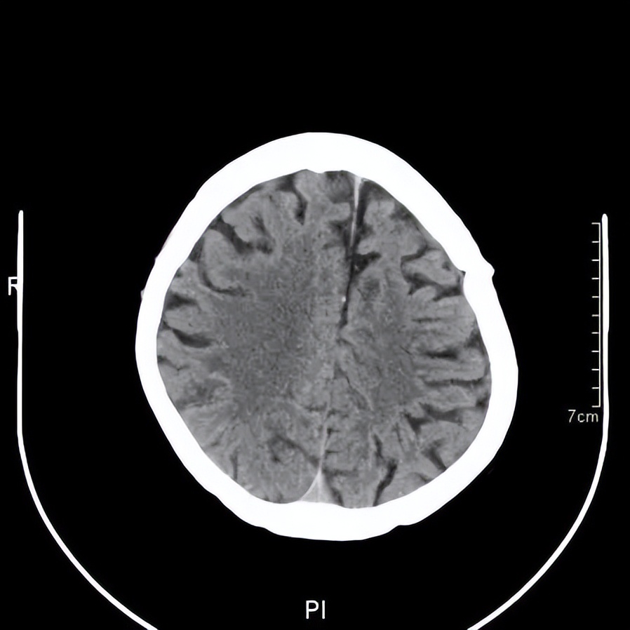
王阿婆术后2月的头颅CT

王阿婆术后2月的头颅CT

王阿婆术后2月的头颅CT
王阿婆家人觉得蹊跷,老人家并没有摔倒过,头部也没受过外伤,怎么会形成血肿呢?
其实,这种血肿是由于老年人大脑萎缩,让硬脑膜的空间变大,导致大脑表面的血管更容易因为轻微碰撞而断裂、造成出血。由于出血量不大,老人可能并不觉得疼痛或者头晕。但随着时间的推移,血肿会逐渐增大,压迫大脑组织,导致记忆障碍、行动困难、意识模糊等症状。
王阿婆的故事告诉我们,记忆障碍并不一定是痴呆,有些记忆障碍是可以治愈的。如果你或你的亲友出现了记忆力下降、行为异常、情绪低落等症状,不要自己乱猜乱想,也不要放弃治疗。你应该及时来院就医、检查,找出记忆障碍的真正原因,采取正确的治疗方法。
瑞安市人民医院记忆障碍团队 就是为了帮助像王阿婆这样的患者,提供更专业更细致更综合的评估诊断和治疗的途径。我们开设了记忆门诊,专门针对各种类型的记忆障碍进行诊断和治疗。我们有专业的神经科医生、精神科医生、神经外科医生、康复医生、心理治疗师、社工师等组成的团队,可以根据每个患者的具体情况,制定个性化的治疗方案。我们还定期举办社区公益记忆筛查、失智老人科普、照料者的照护指导,除药物治疗外,还可以个体化辅助以语言认知康复、物理心理治疗等手段,为患者和家属提供更多的帮助和支持。
如果你有记忆障碍方面的问题,欢迎来我院的记忆门诊咨询。
门诊时间: 周二下午
门诊地点: 瑞祥院区208诊室记忆门诊