
神经介入在线原创文章,如需转载请留言

作者|洪全龙,张义深,姜鹏,马宁
单位|首都医科大学附属北京天坛医院
本
周我们汇报一例双椎动脉V4段-基底动脉交界区狭窄血管内介入治疗过程,具体如下。

病例详情
患者,男,72岁。主因“反复头晕3年”入院。患者3年前突发短暂头晕,无其他伴随症状,就诊于当地医院,行CTA提示:双椎动脉V4段-基底动脉交界区狭窄。3年来症状反复发作,多次行颅内动脉血管成像,显示病变程度逐渐加重(图1)。

图1
患者为进一步诊治收入我院。
既往史:高血压病,慢性支气管炎,吸烟。
体格检查:BMI 37.75。左眼裂<右眼裂,余体征(-)。
化验提示LDL增高。
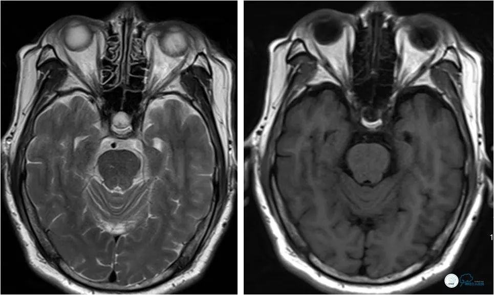
头颅MRI:桥脑散在腔隙灶(图2)。

图2
头部CTA:双椎动脉-基底动脉交界区重度狭窄(图3)。

图3
CTP:后循环供血区域低灌注(图4)。

图4
入院后给予双联抗血小板(拜阿司匹林肠溶片100mg 1/日+氯吡格雷75mg 1/日)、降脂(阿托伐他汀钙片20mg 1/日)等治疗。
DSA提示:左椎动脉开口迂曲,右椎动脉开口中度狭窄(图5)。双椎动脉V4段与基底动脉交界处重度狭窄,左侧狭窄程度更重(图6,7)。

图5

图6

图7
术前讨论
●1.手术指征:患者反复头晕3年,DSA提示双椎动脉V4段-基底动脉交界区重度狭窄;相关供血区域灌注不足,有血管内干预治疗指征。
●2. 治疗策略:拟选择左椎动脉入路,进行干预,先球囊扩张,再放置自膨支架。
●3.相关风险:右椎动脉V4段-基底动脉交界区血管闭塞可能;血管夹层、血管破裂;过度灌注;支架术后急性或亚急性血栓形成;此外患者高龄,肥胖,左室舒张功能减低,慢性支气管炎等合并症,术后需严密观察心肺情况。
治疗过程简述
全麻下右侧股动脉穿刺置入6F动脉鞘, 6F导引导管至左椎动脉V2段远端,术前造影示左椎动脉V4段与基底动脉交界处重度狭窄(图8)。

图8
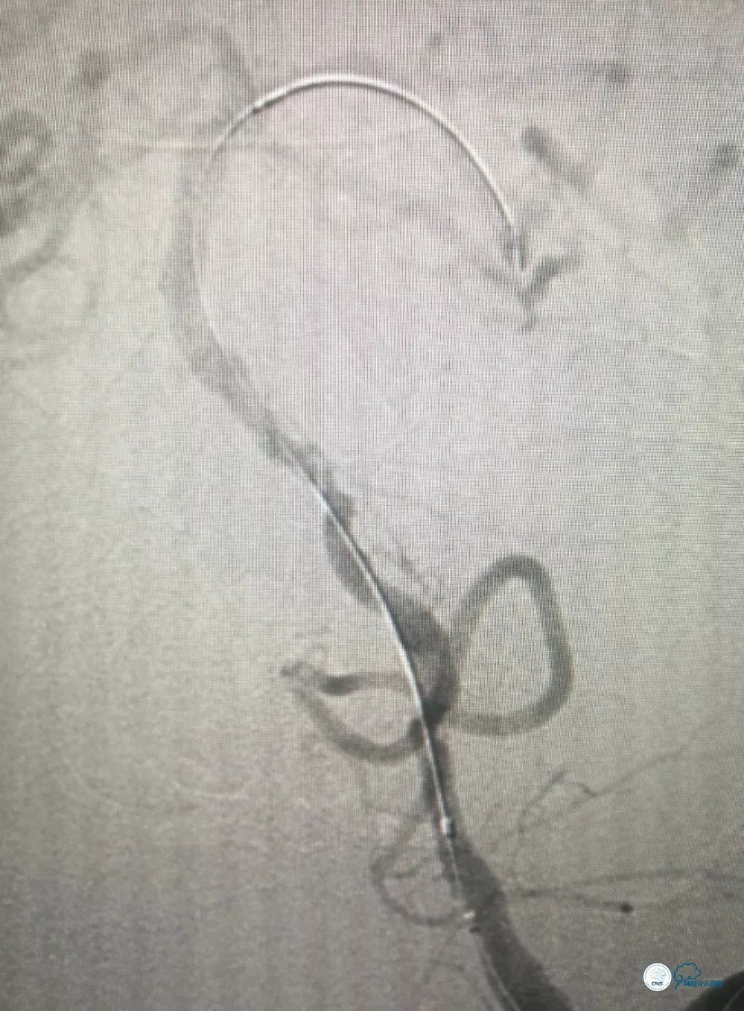
路径图下经交换技术送入Transend微导丝(0.014″,300cm)至左大脑后动脉。沿微导丝送入Gateway球囊(2.25mm×9mm)于狭窄处预扩张,扩张后造影提示狭窄程度明显改善(图9)。

图9
撤出球囊导管,送入wingspan (2.5mm x 15mm )自膨式支架,造影提示支架释放后支架贴壁良好,前向血流TICI 3级。右椎动脉V4段经返流显影,但病变受支架影响显示狭窄程度加重(图10)。

图10
术后查体同前。
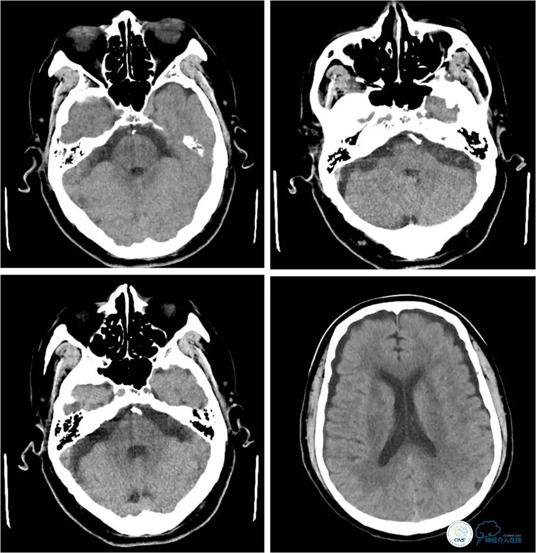
术后头颅CT未见出血(图11)。

图11
术后复查头颅CTA:基底动脉支架内通畅(图12)。

图12
讨论
对双椎动脉V4段-基底动脉交界区重度狭窄进行血管内介入治疗干预,我们会根据入路迂曲与否,病变远近正常血管的直径,病变是否成角等诸多因素选择治疗路径和介入器械。本例患者右椎动脉稍粗,但右椎V4段-基底动脉汇合处病变成角,支架放置后有可能贴壁不佳,故选择治疗路径上较为平顺的左椎入路,以期减少相关血管损伤。
欢迎大家在下方留言区讨论关于本病例的看法~
