最近几年,随着水质资源的减少和恶化,海洋水产养殖中盾纤毛虫的危害日益增强。许多海水鱼类、蟹类都因为盾纤毛虫这种寄生虫损失巨大,很多养殖户看着鱼一批一批的死去却无能为力。今天,我们以北方的大菱鲆养殖为例,了解一下盾纤毛虫的发生、危害和防控。
大菱鲆盾纤毛虫的流行时间:一年四季均可以发生,季节交替时期发病最为严重,死亡量也最大。
大菱鲆盾纤毛虫病的症状:鱼体不安,打转,游动失衡,溜边,有时鳃盖张开。常见眼睛红肿,烂边烂鳍,腮丝失血或红肿,粘液增多。解剖可见肝脏病变,呈黄色且肿大,肠道无食,伴随腹水。

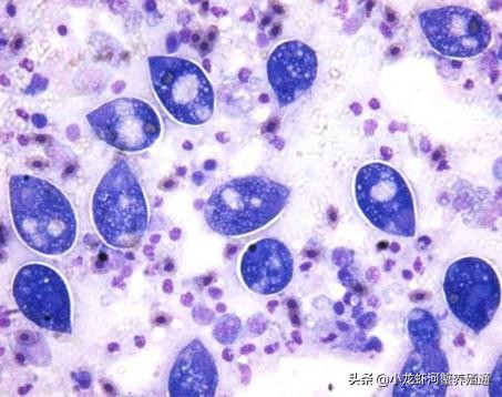
病原:从病灶部位和腹水中可以分离出瓜子形状的寄生虫,为盾纤毛虫。以鱼体组织残渣为食,并在组织内生长和繁殖。

盾纤毛虫感染大菱鲆的过程:盾纤毛虫首先从鳃部、损伤的皮肤或鳍部进入大菱鲆表皮的下面,此时病鱼往往不表现出明显的症状,常常被忽略,错失治疗良机。随着皮肤溃烂加重,虫体逐渐从眼部和肌肉侵入内脏器官,脑、肝脏、肾脏,造成脑组织死亡,此时无药可救。
大菱鲆盾纤毛虫防控思路:
盾纤毛虫的发生常与细菌性疾病并发,因此,具有很强的隐蔽性,发病初期很难发现。一旦纤毛虫症状表现明显,难以治疗,死亡量巨大。因此,综合分析,大菱鲆盾纤毛虫的处理思路是预防为主,治疗为辅,早发现早治疗。以下是盾纤毛虫防控的3个关键点:
1、季节交替,提前使用乐畅做好预防,内服和药浴;
2、刷池后,使用乐畅和抗菌药物做好药浴和内服;
3、平时定期做内服防控,一旦发现,内服用量翻倍,药浴3-4天,每日1次,一次30-60分钟。
乐畅采用只生长在澳大利亚维多利亚州的多苞桉树蒸馏提取的精油制成的,富含1,8-桉叶素、单萜烯、倍半萜烯等多种植物活性成分,天然具有强有效的驱虫和抗虫作用,能够有效阻断盾纤毛虫侵入大菱鲆鱼体,降低盾纤毛虫病的发病率。而且桉树精油安全无毒、无刺激,不会损伤大菱鲆鱼体,不影响大菱鲆的正常摄食和生长,也不会破坏水质。
文章来源于龙昌动保官方网站