
一、脐带长度异常
正常足月妊娠脐带长度为50~60cm,平均55cm,直径平均1.2cm。短于30cm或大于70cm时为脐带长度异常,长度超过100cm时称为脐带过长(long cord),短于30cm为脐带过短(short cord)。最短者有报道仅为0.5cm,最长者可超过300cm。脐带长度异常的发生原因还不明了。脐带过短有时可合并胎儿异常,继发于胚胎屈曲障碍的脐带过短常合并肢体及腹部缺损;中枢神经系统或骨骼系统异常也可合并脐带过短,或许脐带过短也可能是其发生的原因;脐带过短可能还与先天性畸形、21-三体综合征、羊水过少和臀先露的发生率增高相关。另外脐带过短可能导致脐带受压、第二产程过长、胎儿窘迫、胎盘早剥、子宫内翻、脐带断裂、出血,甚至引起胎儿死亡等;尽管脐带短小与胎儿活动减少相关,但无确切的证据表明脐带长与胎儿活动增加相关。脐带过长可能发生脐带打结、脐带绕颈及脐带先露、脐带脱垂等。这些情况也同样会引起脐带受压从而继发脐静脉回流受阻,脐动脉血流阻力增加。引起胎儿血供减少。
超声显像检查不能准确地判断脐带的长度,但某些征象可能提示脐带长度的异常。脐带过短时胎儿多于长时间处于相对固定的位置,严重的脐带过短常将胎儿腹部固定地拉向朝向胎盘方向,脐带在羊膜腔无回声区内显示平直,多仅在胎儿腹部和胎盘之间显示其回声,彩色多普勒血流显像可以明确地显示脐带和胎盘之间的血流。显然,脐带绕颈、绕体、打结或脐带先露、脐带脱垂等多可能与脐带过长有关。有统计表明,脐带绕颈两圈者多有脐带过长,绕颈三圈者几乎均有脐带过长。单纯显示羊膜腔的某一部位的脐带聚集不足以诊断脐带过长。
二、脐带缠绕
脐带缠绕(cord entanglement)可以发生在妊娠的任何时期,一般认为,早期妊娠脐带缠绕的发生率高于晚期妊娠。有学者使用超声显像和三维超声显像检查了237例妊娠13~16周胎儿,发现了149例有脐带缠绕,包括绕颈42.9%,绕腿15.4%,绕手12.7%,绕腹4.8%,其余24.2%发生在其他部位(胸部、肩部等)的缠绕。在中晚期妊娠中,90%以上的缠绕发生在胎儿颈部,可占正常分娩的20%~25%;据统计,脐带绕颈(cord around neck)一圈者占21%,三圈者占0.2%。 三圈以上者比较少见,但有报道多达8圈者。发生脐带缠绕时脐带长度一般要长于无缠绕的脐带。在单羊膜囊双胎妊娠中,除可发生上述的脐带缠绕外,还可以发生双胎之间的脐带缠绕,发生率几达100%。脐带缠绕较轻时,由于脐带的补偿性伸展,牵拉不至一定的程度时不会影响脐带血流,对胎儿的生长发育不会产生明显影响;严重的缠绕引起脐带血流受阻时可引起一半的胎儿死亡。在分娩时,脐带缠绕可导致脐带相对过短,引起第二产程延长和胎盘早剥等。
(一)超声显像检查
脐带绕颈的超声显像检查可以使用超声多普勒听诊法、超声显像法和超声多普勒血流显像等。其中超声多普勒血流显像检查具有肯定的诊断价值。
1.超声多普勒听诊法 在检查前首先明确胎儿在子宫腔内的位置,将探头放置在胎儿颈项部,探及到左右走行、与胎儿心脏搏动一致的多普勒血流声或显示脐带的血流频谱即可考虑有脐带绕颈的存在。检查应当注意与胎儿颈部血管的多普勒血流声鉴别,后者的走行与胎儿长轴一致,而绕颈的脐带与胎体长轴垂直,以此多可区别脐带绕颈和颈部的血管。
2.超声显像 超声显像检查纵向扫查胎儿颈部,正常时胎儿枕部和颈部脊柱表面的皮肤呈平滑的曲度。如果发现颈项部皮肤出现“U”形或“W”形压迹,诊断脐带绕颈多无疑问,一般认为“U”形压迹多由一圈脐带绕颈形成,而“W”形压迹可由两圈以上脐带绕颈形成;适当降低仪器增益、仔细观察有时还可以在压迹的表面显示脐带回声(图1A)。但缺少脐带回声的直接显示多不影响对脐带绕颈的诊断。
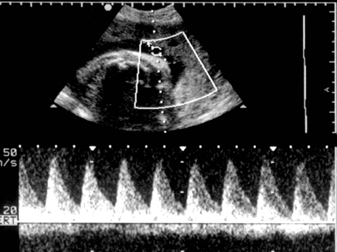
3.超声多普勒血流显像 在超声显像的引导下启动彩色多普勒血流显像可以在压迹表面直接显示脐带的血流图像(图1B)。显示两色、三条血管时至少有绕颈一圈,如果显示两色、能分辨至少四条以上血管即提示绕颈多于一圈;横切面可显示环绕颈部的脐带血流(图1C)。绕颈的脐带内血流速度较快、阻力增高(图2),其他部位的脐带内血流多无异常改变。如果发现非绕颈部位脐动脉血流异常时,尤其是S/D大于3.0时,应及时提示临床积极处理,避免严重的胎儿宫内窘迫发生。

图1脐带绕颈超声检查显示

图2脐带绕颈脐动脉血流速度曲线
脐带发生自身缠绕时超声显像检查无特异性发现,缠绕明显时可以显示脐带聚集现象,尤其是在单羊膜囊双胎妊娠时,脐带聚集现象更为多见和明显,有人称其为“羊毛团样”(ball-of-wool-like)回声(图3),彩色多普勒血流显像可以显示杂乱的血流,但血流频谱形态可以没有明显异常变化。

图3双胎妊娠脐带脐带缠绕
(二)超声显像检查意义
不论哪种方法诊断脐带绕颈均可出现假阳性,最常见的假阳性是脐带跨越胎儿颈项部而没有绕颈(图4),但超声显像检查仍可发现胎儿颈项部的压迹回声及其彩色血流。剖宫产或经阴道分娩未发现脐带绕颈,此种现象我们称之为假性脐带绕颈。使用高分辨率仪器在胎儿颈部横向扫查时显示环颈部的脐带回声及其血流可以明确脐带绕或颈假性脐带绕颈,但两者对胎儿血流动力学的影响是一致的。脐带缠绕可随着胎儿的活动脱出或出现,一次的超声显像检查没有脐带缠绕并不能说明下一次检查没有脐带缠绕。Ergin等报道1例在12+3孕周检查未发现异常,而16孕周检查时胎儿因严重的脐带绕颈和绕体引起死亡(图5)。因此,每次超声显像检查都要注意发现或排除脐带绕颈或其他部位的缠绕。

图4假性脐带绕颈示意图

图5脐带缠绕致胎儿死亡标本
(引自:Enakpene C A, Odukogbe A T, Morhason-Bello I O, et al. The influence of health-seeking behavior on the incidence and perinatal outcome of umbilical cord prolapse in Nigeria[J]. Int J Womens Health, 2010,2:177-182. 获许可,致谢)
利用超声显像和彩色多普勒血流显像对胎体其他部位的检查可以通过显示脐带压迹及其表面的脐带血流诊断不同部位的脐带绕体,但其发现率明显低于脐带绕颈,并且也可以出现假性脐带绕体。结合临床资料和胎心电子监护检查结果可以提高超声显像检查的符合率,并评价脐带缠绕对胎儿供血的影响。