病例一
病史:
男 47岁
主诉:发现右大腿前侧肿块2周
图像:



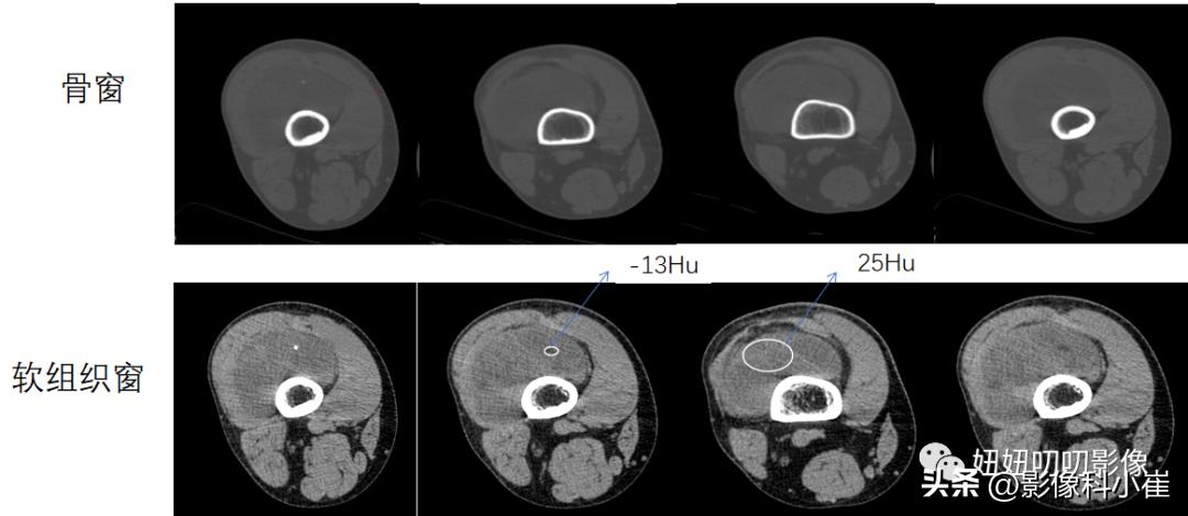
影像描述:
右侧大腿外侧肌肉深部及周围肌间隙可见短长 T1 短长T2 信号,截面范围约12X7X3.5a,T2-FS 局部呈低信号,其余部分呈不均匀高信号,内可见分隔,DWI呈局部扩散受限。相应皮下软组织亦可见小结节状强化灶。所示骨质未见明显异常信号。
学生发言:
A:不是,CT标着-13HU了,磁共振压脂也有低信号,那还说啥了,T2那个粘液看的呦,那叫一个明显,里面有很多纤维分割,主打的就是粘液脂肪肉瘤。
B:发生于肌间隙,未见骨质破坏,可见粘液,纤维分隔,钙化,脂肪,提示粘液纤维脂肪肉瘤,鉴别滑膜肉瘤,滑膜肉瘤一般破坏骨头,并且信号混杂,中青年发病。
病例二
病史:
女 32岁
主诉:发现左大腿肿物1年余
图像:



影像描述:
左侧股骨后内侧见卵圆形稍短T1 长T2 信号灶,边界清晰,大小约6.7cmX6.4cm X13.2cm,压脂序列信号强度未见明显减低。内见多发细线状长T1短 T2 信号。DWI 未见明显弥散受限。周围软组织未见明显异常信号灶。
学生发言:
粘液,一看就看到了,T1亮的,压脂低了,有脂肪,完了,结束,粘液脂肪肉瘤。
老师总结:
①:病理都是粘液样脂肪肉瘤;
②:思路流程:
先看与骨头的关系,是否骨源性;
再看软组织是肌内(纤维类多见)的还是肌间隙的?
肌肉间隙的话:脂肪?滑膜(1钙化大2侵犯骨头3信号混杂)?神经(梭形)?脉管?
#头条文章养成计划##暑假创作大赛#