这天,我们科室接诊了一位54岁的女性病人,因体检发现双肾积水而就诊
因为肾积水常见的病因是尿路梗阻,比如说泌尿系结石、肿瘤等等,其中的大部分原因是可以用CT检查来确诊的。门诊医生也为这位女病人安排了泌尿系CT平扫后成像检查。
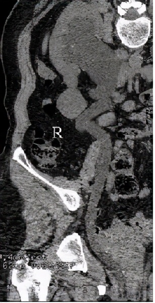
检查完成后,CT也印证了双肾积水的表现。


但是,双侧输尿管走行区未见明显梗阻的因素。


同时也发现了异常表现:双侧输尿管开口过低,似乎不是正常的膀胱三角区。


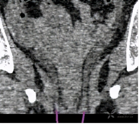
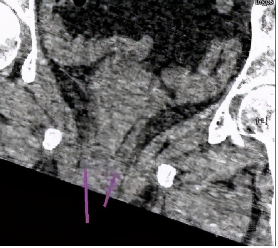
在增强CT检查的时候,得到了如下检查图像




检查图像显示,该病人的双侧输尿管于膀胱开口处过低,还伴有左侧部分双肾盂、输尿管畸形,这些图像给我们的印象是:是不是存在异位开口的可能?
输尿管异位开口是指输尿管开口不在膀胱三角区两侧的先天性畸形。
双肾双输尿管并输尿管口异位80%以上见于女性,多伴有重复肾输尿管畸形。
女性病人可开口于尿道括约肌远侧,常会出现尿*禁失**等症状。
男性病人可开口于尿道括约肌近侧,一般无特殊症状。
针对该病人,虽然病人不存在尿*禁失**的症状,但是依据影像学表现,诊断输尿管异位开口还是可以的。
病人放弃了进一步诊治,无法进行相关随诊