食管异物多因误食所致,如吃红枣时卡了枣核、吃鱼时不小心卡了鱼刺、小孩子误吞玩具或者硬币。因为异物来急诊科就诊,进而来到影像科做检查临床经常遇到。
“喝醋”、“吞米饭”、“吞面包”等,都是民间经常听见、也是常见的做法。但是,这些看似简单的做法往往最容易造成更大的危害!
一般来说,异物分为两大类:第一类是外形不不规则,质地硬,如假牙、枣核、鱼刺、鸡鸭等的骨头;这些多不会因为吃饭团、喝醋自行排出的,必须到医院治疗。
第二类是规则形的异物,比如硬币等,边缘光滑,相对而言对食管壁的损伤比较小,但随着时间延长如若未及时取出,继而会损伤食管壁、出现食管壁粘膜的糜烂、穿孔,甚至纵隔感染、脓肿等。当然最严重的就是尖锐的异物刺破主动脉,引发大出血,几分钟之内就会危及患者生命,这是最严重的危害。
一、明确诊断
首先需要明确诊断。
临床表现:一般有较明显的异物误咽史,临床表现为吞咽不适、吞咽疼痛或哽噎感、部分食管壁损伤可伴呕血。如果若尖锐的异物刺破食管而继发感染,可表现为发热、颈部肿胀、疼痛等。大血管破裂,可突发大量呕血以致失血性休克而迅速死亡,这类病例多见于异物存留1周左右,常伴有胸背痛等先兆症状。
检查:如果异物位置浅,位于喉咽部以上,喉镜可看到异物;如果已经进入食管,需要做影像学或内镜检查明确(X线吞钡检查、CT检查)是否有异物存留,影像检查有助于了解周围结构情况,如食管壁肿胀、食管穿孔、甚至穿破临近血管。

棉絮挂在食道

挂棉征
(X线检查先拍一张平片,如果能看到明显的异物,无需进行吞钡检查已明确诊断);如果平片没有看到明显高密度异物,需要吞服少量棉絮,然后服钡,当有异物时会出现挂棉征,如上图)。但要提醒的是,对于较大异物,特别是尖锐异物已伴发炎症甚至穿孔者,则应慎用或禁用絮钡检查为妥。
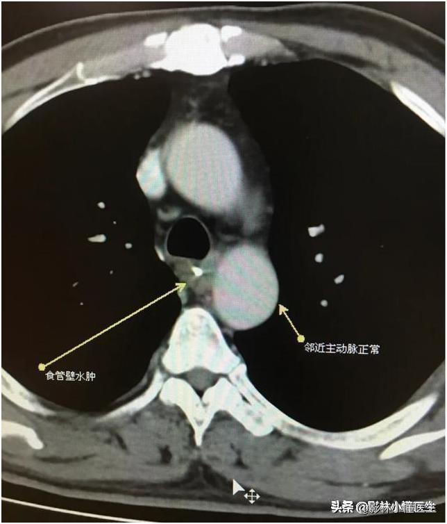
而CT检查则可以看到明确的食管异物以及位置,包括异物的长度、走形以及毗邻结构情况。

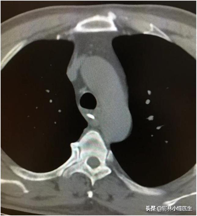
食管内见高密度影

异物平行于食道

患者做了吞钡检查后行CT检查明确周围结构情况

增强扫描有助于判断跟周围血管关系
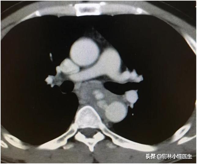
接下来看两个严重的病例:
例1

食管穿孔继发纵隔及肺部感染;纵隔感染位置深,治疗困难大,部分患者发生脓毒血症,威胁生命。

例2

鱼刺刺穿食管及主动脉壁,治疗费用高、预后极差。

看了上述的内容大家对食管异物的诊断及并发症应该有了一定的了解。当然值得提醒的是,如果你误吞以后运气不错,做了检查并没有发现异物,你的症状可能是异物划伤食管壁所致,可观察几天看看症状是否加重。 另外需要注意的是,钡棉检查阴性也不能完全除外异物 (部分位置较深如咽隐窝区等),需结合临床症状。
那如果发生了误吞,我们应该怎么办?
二、尽早治疗
对于不尖锐的异物,可以尝试通过呕吐来排出异物;但不要尝试通过吞咽其它食物来将异物冲刷下去,这样会造成二次的损伤,应及时到医院就诊。
1、如果异物卡在喉部、口咽部,常见的是细软的鱼刺等,可到耳鼻咽喉科就诊。
2、如果异物已进入食道,应尽快到消化内科就诊,需在内镜的帮助下取出。
3、若异物临近或累及毗邻大血管,危险性更高,需要多学科联合手术治疗。
注意:食管异物治疗越早越好,不要拖延,24小时-72小时之内内镜下取异物的安全性相对较高,超过72小时由于食管损伤更容易增加风险和并发症。
三、预防
1、进食请细嚼慢咽,骨刺较多的食物最好剔除骨头再食用。
2、带核的枣、带骨的肉,食用时要尤其注意,特别是老人与小孩;老人的假牙也要小心。
3、幼儿不要把玩具放进口中。