高血压的症状表现有哪些危害 (高血压肝阳上亢的症状的表现)

高血压这个疾病大家应该不会太陌生。中国目前的高血压患者已超过2亿人,每年还在继续新增1000万高血压患者。高血压是一种循环系统的疾病,身体的各个器官都依赖于血液循环,高血压会对靶器官(心、脑、肾)造成损害,而大脑是损害最严重的器官之一。

高血压心脏病有什么症状表现,肾性高血压的症状表现有哪些

什么是血压?

● 血压是推动含氧丰富的血液到达身体各个器官的重要动力。心脏是产生动力的“发动机”,动脉是运输和分配血液的“管道”。

● 血压水平的高低是由左心室收缩的力度,以及动脉的直径和硬度决定的,而心脏和动脉会受到基因、激素、代谢、神经系统、心理和生活方式因素的影响,这些因素都决定了血压的水平。因为这些影响因素是如此之多和复杂,所以人体的血压在一天中每分钟、每小时都在变化。

对于成年人来说,正常的血压< 140/90。美国最新高血压指南建议正常的血压< 130/80mmmHg。

长期高血压会对身体产生严重的不良后果。血压由于涉及心脏和血管,高血压被列为心血管疾病,但由于动脉供血对我们所有器官的健康都至关重要,高血压实际上是一种多系统疾病。在多数情况下,高血压最具破坏性的影响不是对心脏,而是对眼睛、肾脏,尤其是大脑

高血压心脏病有什么症状表现,肾性高血压的症状表现有哪些

高血压会有什么症状表现?

大多数高血压患者没有任何体征或症状,即使血压水平达到危险值。医院经常会看到体重肥胖的年轻人来体检,一测血压发现达到180/100mmHg,平时他完全没有症状,更不可能控制,但是脂肪肝、动脉粥样硬化,甚至腔隙性脑梗死这些疾病也都随之而来了。

少数高血压患者可能会出现 头痛头闷、面色潮红、气短或流鼻血 等症状,但这些症状和体征并不具体,通常在高血压严重或危及生命时才会出现。

高血压心脏病有什么症状表现,肾性高血压的症状表现有哪些

高血压最常见于大脑损害,导致脑卒中发病

脑卒中主要有两种类型, 脑梗死和脑出血

脑出血相对不太常见,约占脑卒中的20%,指的是大脑的血管破裂,血液溢出到大脑组织,发生脑损伤,通常发病的症状表现较为严重,如剧烈头痛、肢体瘫痪、昏迷。

脑梗死约占所有脑卒中的80%,是由向大脑供血的动脉被血栓堵塞而引起的。脑梗死发病有两种形式,第一种是原位血栓形成,指血栓形成于大脑内部的血管,造成原位血栓和血管闭塞导致脑梗死。第二种是栓塞性梗死,血栓形成于大脑外部的血管,然后血栓脱落,经过血流流动堵塞了大脑血管,大多数栓子来源于于颈动脉、主动脉或心脏本身的动脉粥样硬化斑块

高血压心脏病有什么症状表现,肾性高血压的症状表现有哪些

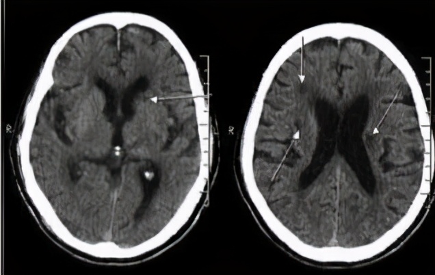
在脑梗死中有一种病灶小(2~15mm),症状不明显的梗死,称为腔隙性脑梗死,多是体检偶然做CT或磁共振检查发现的,也称为静止性梗死,这种脑梗死在60岁以上的人较为常见,尤其是患有高血压的人。虽然腔隙性脑梗死早期症状不明显,但是随着病灶的增多和年龄的增长,患者会出现记忆下降或认知功能障碍,甚至平衡障碍。据美国心脏协会(American Heart Association)估计,超过1300万美国人有过一次或多次这种静止性梗死。

高血压心脏病有什么症状表现,肾性高血压的症状表现有哪些

高血压,高风险

高血压是脑卒中的主要危险因素。无论收缩期或舒张期高血压都会增加脑卒中风险,血压越高,风险越高。

根据哈佛大学的一项研究,高血压会使脑卒中的风险增加2.2倍。另一项研究表明,收缩压每升高10毫米汞柱(mmHg),患脑梗死的风险增加28%,脑出血的风险增加38%。

好消息是,控制高血压具有极强的保护大脑的作用。研究表明,如果收缩压降低10毫米汞柱(mmHg),患脑卒中的风险就会降低44%。

高血压心脏病有什么症状表现,肾性高血压的症状表现有哪些

高血压导致认知功能障碍

智力衰退是衰老可怕的后果之一。尽管许多老年人随着年龄的增长,记忆会发生一些减退,但大多数没有基础疾病(高血压、糖尿病、高脂血症)人的记忆力可以保持完好,因为他们可以通过经常与人交流、丰富的业余活动等方法来延缓记忆下降的微小变化。

不幸的是,因为多种疾病和药物都会导致许多人出现认知功能障碍。随着研究的不断深入,越来越多证据显示,高血压是造成大脑老化、认知功能障碍的主要原因之一

早期轻度认知障碍可能是个问题,但通常是可以控制的,但随着疾病的发展,出现严重的记忆丧失就是一场灾难。通俗的名称叫“衰老”,医生上用“痴呆”这个词来描述这些严重的记忆、推理和判断障碍。虽然有几十种神经系统疾病会导致痴呆,但其中两种疾病占最大比例,即多发性脑梗死痴呆(血管性痴呆)和阿尔茨海默氏病。

高血压心脏病有什么症状表现,肾性高血压的症状表现有哪些

多发性脑梗死

多发性脑梗死痴呆是因为大脑的多处小血管堵塞,导致脑细胞失去氧气和葡萄糖供给,出现痴呆症状。如果在发生脑梗死的过程中有足够多的神经细胞受损或死亡,记忆就无法恢复了。

阿尔茨海默氏病痴呆则不同,它发病开始于脑淀粉样蛋白的堆积,这是一种粘性蛋白,会干扰神经细胞的功能,最终杀死脑细胞,遗留神经淀粉样斑块。在疾病晚期,脑细胞被一种叫做tau的蛋白质组成的神经原纤维缠结阻塞。在大多数情况下,大脑中负责记忆的部分(海马体)受到的损害最为严重。

高血压心脏病有什么症状表现,肾性高血压的症状表现有哪些

高血压,记忆力差

由于高血压会损害脑血管,很容易发现高血压是如何导致血管性痴呆的。虽然高血压与阿尔茨海默氏症的关系并不明显,但研究表明,高血压造成的血管损伤和组织炎症也会加速阿尔茨海默氏症的脑损伤。

现在大量的证据表明,高血压会增加轻度认知障碍、血管性痴呆甚至阿尔茨海默氏症的风险。收缩期或舒张期高血压都会造成损害。总的来说,血压越高,持续时间越长,风险就越高。

● 美国一项针对2,505名年龄在71~93岁的人的研究发现,收缩压≥140毫米汞柱(mmHg)的人发生痴呆症的风险比收缩压<120毫米汞柱(mmHg)的人高77%。

药物治疗可帮助减轻痴呆的症状,但损害和残疾是无法逆转的,这使得预防痴呆的措施变得更加重要。

高血压心脏病有什么症状表现,肾性高血压的症状表现有哪些

治疗高血压能预防痴呆吗? 治疗高血压永远都不会太晚?

回答是:能够。 欧洲科学家报告表明,长期降压治疗可以降低55%患痴呆症的风险。美国的一项研究表明可以降低38%患痴呆症的风险。另一份报告表明,接受12年或12年以上治疗的男性患阿尔茨海默氏症的风险比未治疗高血压的男性低65%。

血压控制可以降低认知功能障碍的风险。但是对于那些已经有轻微记忆下降的人? 治疗高血压能避免进一步的脑损害吗? 也许是可以的。意大利科学家研究了80名患有轻度认知功能障碍的患者。在两年的时间里,服用降压药物的患者发展成全面型阿尔茨海默病的可能性比未接受治疗的患者低80%,这只是一项研究,而且规模很小。

如何做到严格控制血压?

为了大脑和心脏的健康,请一定降低血压水平。研究表明,血压正常的人比高血压的人寿命多5年左右。

第一步是了解自己的血压水平和控制的目标值。

第二步改变生活方式,这可以降低你的血压水平,是预防和治疗高血压的重要组成部分。改善生活方式有如下方式:

饮食: 将钠盐的摄入量减少到每天5g以内。减少动物脂肪和加工食品的摄入,多吃水果、蔬菜、全谷物和鱼类。研究表明,长期良好的饮食方式可以降低收缩压10~22毫米汞柱。

锻炼: 中度强度的运动最为合适(比如慢跑、快走、游泳、骑车、打羽毛球),在一些研究中剧烈运动反而不利降压。每天30分钟的运动可将收缩压降低4~9毫米汞柱或更多。

控制体重: 除了饮食和锻炼的好处外,肥胖者减少10斤的体重,血压还会下降5毫米汞柱左右

适度饮酒: 少量或适量的饮酒,比如一天喝一到两小杯(10~20ml)不会使血压升高,可以软化血管,但是大量饮酒会升高血压。要注意的是,对血管有好处的酒以红酒、葡萄酒为主,而不是啤酒和白酒。

慎用非甾体类抗炎药 :长期服用非甾体抗炎药(布洛芬、萘普生等)会导致血压升高,尤其是老年人。

情绪压力控制: 在当今这个忙乱的世界里,说起来容易做起来难,但是放松可以帮助你降低压力,降低血压,比如瑜伽、冥想、书法、太极拳这些慢运动可以舒缓情绪压力。

最后,如果以上方式不能使血压降到目标值,请在专业医生的指导下服用降压药治疗。

高血压心脏病有什么症状表现,肾性高血压的症状表现有哪些

作者言:大家好,我是致力于用简洁、易懂的语言科普医学知识的魏医生。码字不易,如果本文对大家有所帮助,请帮忙● 点个关注或点个赞● 吧,如果您的家人朋友也有这方面知识的需要,请● 转发●给需要的人。

如果有关脑血管病、高血压、头晕、失眠等神经内科疾病的问题,可以在评论区给我留言,我看到后会第一时间回复,您的支持,就是我创作的最大的动力,谢谢了!

参考资料:www.health.harvard.edu/