老刘今年41岁,因右下肢无力伴束带感4月来我院就诊,查体:颈胸部感觉减退,右侧肱二头肌、肱三头肌4级,双下肢肌力正常,右下肢腱反射亢进,右侧病理征阳性。X线:第2.3.4颈椎椎体后缘可见韧带骨化影。临床诊断:颈椎后纵韧带骨化症(OPLL)。
老刘问:这个可不可以去按摩下?

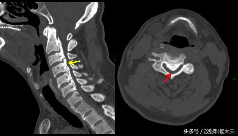
黄箭所示为后纵韧带的骨化
回答这个前,先看看这个病的来龙去脉。
后纵韧带位于椎管内,紧贴椎体的后面自第二颈椎延伸骶骨。韧带上宽下窄,在胸椎比颈、腰椎为厚。在椎间盘平面以及椎体的上下缘,韧带同骨紧密接触,在椎体的中间部分,韧带同骨之间有椎体基底静脉丛所分隔。后纵韧带比前纵韧带致密、牢固,通常分为深、浅两层,浅层连续分布3个或4个椎节,深层仅处于相邻两椎体之间。正常的后纵韧带和其他部位韧带一样的都是软组织结构,但随着年龄增长,众多因素作用会导致后纵韧带组织发生钙化,变成质硬似骨的结构,这一变化就称为后纵韧带骨化,简单讲就是“不该长骨头的地方长了骨头”。很多人到一定年龄都会有后纵韧带骨化发生,但是绝大多数人没有症状;但如果钙化组织不断增多,体积逐渐变大,压迫到后方椎管内的脊髓,出现神经功能受损的病症,就称为后纵韧带骨化症。

1983年,Key首先报道了脊柱韧带骨化现象,并称之为“韧带骨化性脊柱炎”。1960年,日本学者尸解时发现颈椎后纵韧带骨化导致了脊髓压迫症。1964年,Terayma将该病理变化命名为“颈椎后纵韧带骨化”(Ossification of the posterior longitudinal ligament of the cervical spine,OPLL),并为人们所广泛接受,成为一种独立的临床性疾病。
颈椎后纵韧带骨化症多见于东方人,少见于白种人,尤以日本人的发病率为最高,因此此病曾被称为“日本人病”。在日本,后纵韧带骨化的发病率约为1.5%~2.0%:东亚各国各地区的颈椎后纵韧带骨化的发病率与日本的发病率相似;而在中国其发生率仅在0.6%左右,不及日本人的一半;白种人的发病率更低仅0.16%。依性别而论OPLL患者男多于女,二者之比约为4∶1。发现年龄多在中年以后,以50~55岁居多,约占90%左右,其中少数病例可波及上胸椎波及下胸椎者少见,但波及腰椎者却较为多见。

颈椎后纵韧带骨化症是由什么原因引起的?
医学界对于这个问题还没有一个明确的答案,我们并不能准确的知道颈椎后纵韧带骨化症是由什么原因引起的。但是通过大量的科学研究,科学家们找到了一些和颈椎后纵韧带骨化症发生有关的因素:(1)遗传因素、(2)种族、性别、地域因素、(3)饮食习惯、(4)糖尿病、(5)骨代谢紊乱、(6)椎间盘退变、(7)机械刺激。
后纵韧带骨化在沿着纵轴方向生长的同时,在水平方向也同时扩大,形成椎管内的占位性病变,使椎管容积变小、椎管狭窄,造成脊髓、神经根受压,脊髓被挤压呈月牙形状,并被推向椎管后壁,骨化块的后壁呈波浪状改变。骨化块主要由板层骨构成,由椎体后缘至板层骨之间依次为纤维组织、纤维软骨、钙化软骨。骨化灶与硬脊膜粘连,随着压迫程度的增加,硬脊膜变薄甚至消失,有时硬脊膜也发生骨化。由于骨化块不断增大,脊髓受压发生严重变形,神经组织充血水肿,脊髓前角细胞数量减少,形态缩小。脊髓臼质有广泛的脱髓鞘变。

CT图,左图黄箭为后纵韧带骨化,右图红箭为椎管,严重狭窄
因此,这种原因引起的颈椎病,切忌按摩,任何的按摩、牵拉,都有可能加重椎管狭窄程度,引起严重后果。临床工作中见到不少因自我诊断颈椎病,去路边店按摩、牵拉导致脊髓受损的情况,部分见于OPLL。
一般概况颈椎后纵韧带骨化症的发生与发展一般均较缓慢,因此患者早期可不出现任何临床症状。但当骨化块增厚增宽到一定程度引起颈椎椎管狭窄时,或是病变进程较快以及遇到外伤时,或后纵韧带骨化虽不严重,但伴有发育性椎管狭窄症时,则可造成对脊髓或脊髓血管的压迫,因而患者多在中年以后出现症状。颈部症状病变早期患者颈部可由无痛而逐渐出现轻度酸痛及不适,颈椎活动大多正常或有轻度受限,以头颈后伸受限为明显。当被动活动超出其正常活动范围时,可引起颈部疼痛或酸胀感。神经症状主要是脊髓压迫症状,其特点是不同程度、有间歇期、慢性进行性、痉挛性四肢瘫痪。一般先从下肢开始,逐渐出现上肢症状。少数病例亦可先出现上肢症状或四肢同时发病。

为准确判断判断狭窄程度,可采用普通X线摄片来测量椎管的狭窄率。狭窄率是侧位片中骨化块最大前后径与同一平面椎管矢状径之比。临床症状和体征情况很大程度上取决于脊髓的受压程度及椎管的有效空间。而椎管狭窄率又较为客观反映了椎管矢状径与骨化灶厚度的关系,间接显示了脊髓受压的程度。临床上观察到狭窄率大于40%者,症状、体征大多较为严重,患者表现为四肢肌力明显减退,行走困难,甚至瘫痪,多有明显的锥体束症状。狭窄率小于30%者,临床表现相对较轻,大多数日常生活能够自理,部分患者尚能工作,注意,椎管狭窄率与脊髓受压也并非是平行的。
有时候轻度的OPLL在普通X线片上不容易被发现,此时CT具有很好的确诊价值,对病变范围,程度显示的更佳清晰,利于术前指导。
(文 黄大夫)
(“放射科杨大夫”为*今条头日**签约作者,本文首发*今条头日**。同时欢迎在悟空问答里关注 “放射科杨大夫”,那里有杨大夫对各种健康问题的精彩回答。)