
“伤筋动骨一百天”这句话基本上是妇孺皆知。可是在临床上有一部分骨折患者一百天左右并没有愈合,甚至超过一年还没有愈合。他们很是郁闷和不解,为什么别人骨折很快就长好了,我的却一直不长呢?是手术没做好?还是有其他原因?于是到处求医,身心疲惫。
骨折手术后愈合慢甚至不愈合就是手术没做好吗?
当然不是。
骨折愈合是一个全身因素和局部因素互相作用的复杂过程。骨折愈合快慢与很多种因素有关。

什么是骨折不愈合?
美国食品和药物监督管理局将骨折不愈合定义为:骨折治疗后(包括手术治疗或保守治疗)至少9个月,或连续动态观察3个月未见到骨折有明显的愈合征象。

影响骨折愈合的因素到底有哪些?
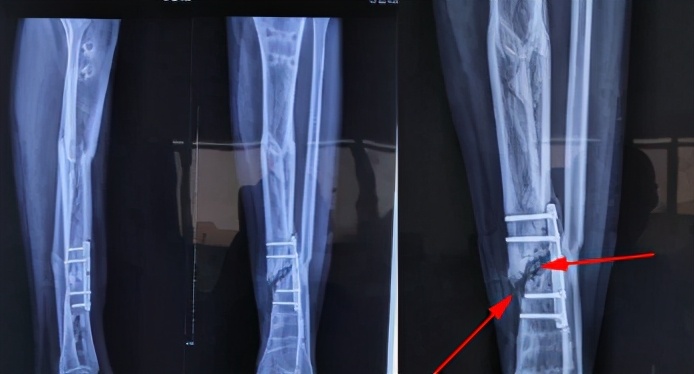
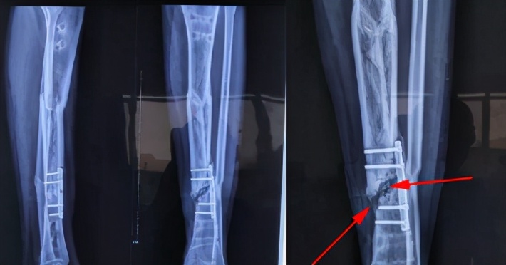
骨折断端局部血液供应情况:骨折部位有充足的血液供应被认为是最重要的因素之一。所以血供较差的部位如:腕舟骨,胫骨中下段,股骨颈等,骨折愈合较慢,很容易形成骨折不愈合。

损伤严重程度:严重创伤造成粉碎性骨折,全身多处骨折或伴有局部严重软组织损伤时骨折愈合变慢。

骨折端接触情况:长斜行骨折较横断骨折接触面积大,所以愈合也快。骨折断端分离会明显影响骨折愈合。

断端稳定很重要:力学稳定是骨折正常愈合的重要条件。手术的目的除了复位骨折断端外,另一个重要作用就是维持断端稳定,为骨折愈合创造良好环境。
软组织嵌顿:肌肉、筋膜、肌腱和神经等嵌于骨折块间会成为阻碍修复的物理屏障,骨折将难以愈合。

感染:骨折愈合过程中如果发生感染,会终止来自骨髓、骨膜和周围软组织中的细胞募集和激活。还会造成骨坏死、组织水肿和血管血栓,骨折断端吸收,最终骨折不愈合。

年龄:年龄增长会明显影响骨折愈合。婴儿期骨折愈合最快,随着年龄增长骨骼逐渐成熟,愈合速度逐渐减慢。老年人骨折愈合慢于年轻人。
营养状况:营养不良者愈合慢。
某些疾病和药物:糖尿病;库欣综合征;甲状腺功能减退;非类固醇类抗炎药;化疗药物等都会影响骨折愈合。

吸烟:吸烟影响骨折愈合已经非常明确。目前尚不清楚吸烟对骨折愈合的不利影响是否可逆。虽然没达成共识,但骨折后6周内建议戒烟。

手术因素:手术中骨膜剥离过多,血运破坏多,软组织保护欠佳,断端间隙过大,固定后稳定性不够,均会影响骨折愈合。

不适当的功能锻炼:功能锻炼过早或过晚,不锻炼或过度锻炼均会影响骨折愈合。
总结:骨折愈合是一个复杂的生物过程。多种因素均可影响骨折愈合。手术原因只是其中一小部分,有时候即使手术很完美,骨折仍可能不愈合。