他正值壮年,身体一向很健康。单位每年体检也没查处过问题。今年夏天有几天觉得浑身无力,家人也觉得他面色有些苍白。在家人的催促下,去医院做了检查,一查,重度贫血!
这个年龄段重度贫血,肯定要查原因,血液科大夫开了一些检查,要求做。但他坚持想先吃药试试,因为家里还有很多事,实在耽误不起做检查的这些时间。
因为贫血严重,血液科大夫给开了药,并嘱咐服了药后一定短时间来复查。吃了药,身体无力情况似乎有所好转,就大意了。直到将近三月后才回去复查,一查血,依然是重度贫血。大夫来甚至来不及埋怨他,联系了检查。
先做胃镜,在胃的角落里发现了一个肿块,取了活检,胃癌!再做CT,肝脏转移!意味着,胃癌到了晚期。

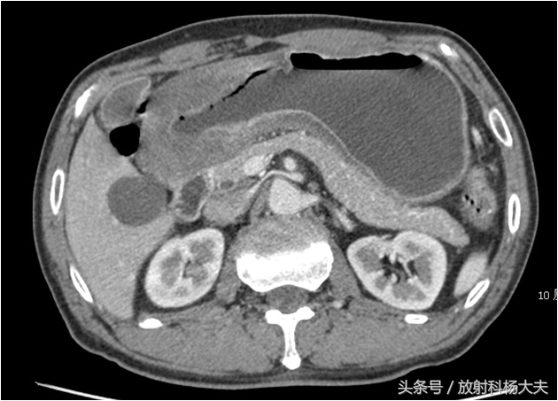
CT图:胃窦部胃壁增厚,为胃癌

肝上的低密度,为肝转移瘤
发现贫血到发现胃癌转移间隔了3个月,已经无法分析3个月前如果做了检查会不会还有手术机会。
因为,人生没有假设。
我国是胃癌高发的国家,胃癌患者多由于红细胞溶血被破坏,急性出血或骨髓造成细胞受到破坏、长期缺乏营养等原因造成贫血。贫血也会使患者治疗和临床痊愈都受到很大影响,很多研究中已经发现,癌症患者如果有贫血现象,红细胞数会直线下降,使患者携氧能力降低,导致肿瘤性的组织缺氧。因此加强对贫血症状的检查,医生为患者诊断时一定要防止误诊为血液病。

来自网络
而青年人胃癌发病速度快,症状发展严重,但是局部症状表现不重,这和青年人自身细胞组织生长有关,由于浸润能力过强,细胞生长过快,而且血管十分丰富,很容易在早期发生转移。所以,青年癌症患者临床就会有明显的身体消瘦和重度贫血的表现。当患者出血量和贫血程度完全不成比例,极有可能是胃癌。
按照患者具体情况进行检查与治疗,可以及早诊断,进行治疗。有胃炎、胃溃疡等病史的患者,一定要积极治疗,而且一定要定期复查,如果患者有完全不愈合胃溃疡,一定要进行组织活检,完成病理诊断后,便于下一步的确诊和治疗。