都说有妈的孩子像块宝,没妈的孩子像根草。
残酷,却也真实。
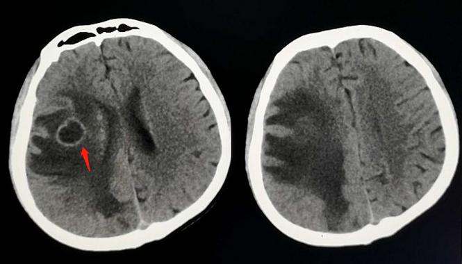
一位22岁的小伙子,走路没力气,无缘无故摔跟头,神经内科医生领着过来做了颅脑CT:

CT显示大脑半球皮质下多发环形病灶,周围大量低密度水肿带,如果是成年人,这个形态要想到转移瘤。
但病人是年轻小伙子,首先考虑脑结核瘤。
这个思路对不对呢?毕竟这些年年轻人长肿瘤的也不少见!
我们对照一下专业书上对脑结核瘤的介绍,看是否吻合:
脑结核瘤( braintuberculoma,BT)是由局限性结核性脑炎演变而成,是结核杆菌在脑实质内形成的慢性肉芽肿;可单发或多发,好发于大脑半球和小脑的皮质下或皮质下区;
可发生于任何年龄段人群,更常见于儿童和青少年;
感染途径分血行播散和淋巴播散,血行多见。
结核分枝杆菌随血行播散,会导致蛛网膜下腔及脑室内炎性渗出,脑膜增厚、粘连,压迫脑神经,阻塞脑脊液循环,引起脑积水及颅内压增高,根据其进程不同就可以形成脑实质炎,结核性血管炎,结核瘤,结核脓肿等。
可是,这些结核杆菌是从哪里来的呢?
答案就一个字:肺!
结核杆菌可以侵犯肺、肾、肠、骨关节、淋巴结等,其中肺结核最常见,肺外结核约占5-30%。
于是我们给小伙子加做了胸部CT:

果然是典型的活动性肺结核:双肺多发树芽征、磨玻璃影,大小不等的空洞、支气管扩张,肺实变。
小伙子为啥拖到这么严重才来医院啊?
原来,父母离异多年,后妈总是差了一层,孩子自制力差,迷上了网络游戏,经常翘课上网,后来就早早辍学了。
没有文凭,一直也没有正式工作,营养也没跟上,身体免疫力下降,就被结核杆菌趁虚而入了。
翻阅历史病例我们发现,半年前,小伙子曾经来过医院
开始是因为肚子疼,继母领着过来做钡餐,结果发现双肺结核(结核导致剧烈咳嗽,牵扯引起上腹痛)。
当时给他联系了结核病医院,接受正规治疗,孩子治疗过程中偷偷溜走了,也许是又上网去了,继母说没有找到他。
结果半年后,结核杆菌从肺里跑到了大脑里,治疗效果会很差了……
如何有效防控肺结核:
我国是结核病高负担国家,具有高感染和高流行特点。
我们很遗憾地承认地占据了3个世界前三:
1.结核病高负担国家之前三;
2.耐药肺结核高负担国家之前三;
3.结核/艾滋病高负担国家之前三。
(一)结核的潜伏性感染
潜伏性结核感染(Latent TB Infection, LTBI)是指机体对结核分枝杆菌抗原存在持续免疫应答状态,但没有活动性结核感染的临床证据。
结核潜伏性感染的高危人群有:艾滋病患者或HIV病毒携带者,血液透析患者,慢性肾病患者,器官移植患者,风湿性疾病患者,糖尿病患者、低体重人群等。
结核潜伏感染(LTBI)在我国具有庞大群体, 而结核病发病主要来自于潜伏性感染人群,对潜伏感染实施干预是未来终止结核的核心策略。
尤其是学校结核暴发,艾滋病、器官移植、免疫抑制等一些特殊群体的结核潜伏性感染防控应积极推进。结核暴发的现场流行病学原则是发现、隔离和治疗患者,并对潜伏感染者实施药物阻断,以减少续发病例的产生。
但发现、治疗肺结核患者以及耐多药结核的防控仍是我国当前的重点工作。
(二)感染艾滋病毒的成人、青少年、儿童和婴儿,应接受预防性治疗
结核病是艾滋病携带者发病和死亡的主要原因。2016年,全球1040万新发结核患者中,合并HIV感染达104万,占10%。
HIV阳性的成年人和青少年,如果未知或结核菌素皮肤试验(TST)阳性,不太可能有活动性结核病,作为艾滋病毒综合治疗方案的一部分,应接受预防性治疗。无论免疫抑制程度如何、是否接受抗逆转录病毒治疗(ART)、以前曾接受过结核病治疗和是否孕妇,都应该为这些人提供治疗。 (强烈推荐;高质量证据;现有推荐)
(三)对于羁押人员、医务人员、来自结核病高负担国家的移民、无家可归者、以及吸毒人员,可以有条件地开展结核潜伏性感染系统检测和治疗。
WHO对LTBI推荐的预防性治疗方案有:6个月异烟肼治疗;9个月异烟肼治疗;每周一次利福喷丁+异烟肼,治疗3个月;3-4个月利福平+异烟肼等。
(四)重视耐药肺结核的防治
耐多药结核病对一线抗结核药物异烟肼和利福平具有耐药性。
全球每年约有50万耐多药结核病患者,治疗难度要困难得多。只有不到四分之一的患者接受治疗,成功率2012年为48%,2017年为54%。这方面还需要更多的探索和研究。其中患者依从性差,随意停药是诱因之一,要重视。
以上是国家层面关于防控肺结核的一些举措。

落实到我们个人,如何预防和筛查结核病呢?
1.了解肺结核的典型症状,及时筛查
肺结核的常见症状是咳嗽、咳痰,偶尔痰中带血,乏力,食欲不振,消瘦、夜间盗汗等,出现这些症状要及时到医院看病。
2.确诊结核病人的处置
(1)咳嗽、打喷嚏时掩口鼻,不随地吐痰,可用纸巾包裹,焚烧;
(2)尽量不去人群密集的公共场所,出门佩戴口罩;
(3)居家治疗的肺结核病人,应与他人分室居住,保持通风,佩戴口罩;
(4)肺结核可防可治。要加强营养,提高免疫力,有助于预防肺结核,也有利于肺结核的痊愈。某些耐多药肺结核患者,依靠营养支持也取得很好疗效。
(5)遵从医生指导,按时服药!
今年的3月24日是第24个世界防治结核病日,今年的主题是“开展终结结核病行动,共建共享健康中国”,这个活动需要全民参与,共同努力!
我是影像科豪大夫,谢谢阅读本篇科普内容。
参考文章:
1.高危人群LTBI筛查策略,邓国防,胸科之窗,2018,10,29;
2.WHO潜伏性结核感染项目管理更新和整合指南(2018年);
3.在我国,结核潜伏感染的预防性治疗是鸡肋还是未来?胸科之窗,2016,7,14;
4.结核群体感染防控,胸科之窗,2019.1.18;
5.重视耐药结核病的防治,施焕中,2019.3.18。