他是个老烟民,67岁,抽烟46年,每天两包,戒不掉也不想戒了。
最近总是咳嗽、痰多,扛了几天,越来越厉害,还有点头晕了,只好来医院检查。
从CT机上下来,就有点紧张了,一脸的沉重。
胸部CT发现了什么呢?
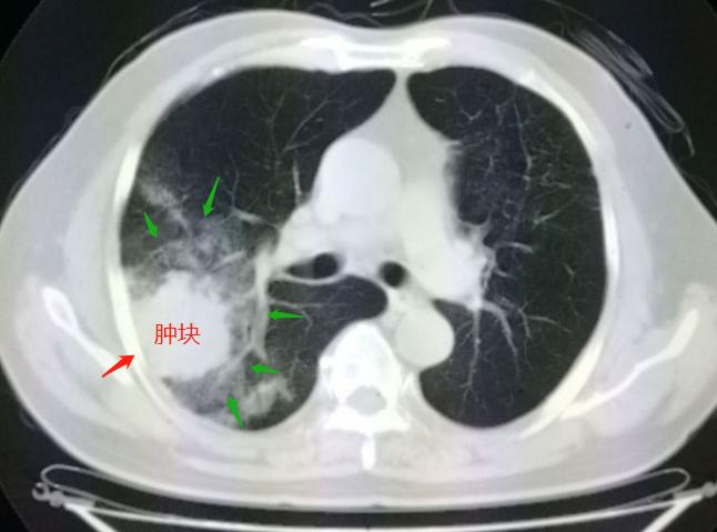
老人的右肺上长了一个3.5厘米的大肿块,不太规则,周围还有一大片云雾状的高密度影:

我们知道,长年抽烟的人,肺里发现大肿块,首先就要想到肺癌的可能(肺鳞癌和小细胞肺癌与*草烟**暴露关系密切)!需要深入分析影像特征,并且要结合化验检查。
从上图我们可以看到,在肿块的周围有一大片磨玻璃密度的影子,边缘是模糊不清的,这提示有炎症的存在(肺癌常常边界较清晰),然后我们等到了他的血液检测结果:肿瘤标志物正常,白细胞1.3万(正常值为4千到1万,升高常提示有感染)。
这个时候如果想明确到底是不是肺癌,有两种方法:1.做胸部增强CT;2.做肺穿刺。费用都要1000多块。
考虑到病灶周围有炎症存在,我们推荐他先住院抗炎治疗一段时间后复查。
老人接受了我们的建议,抗生素治疗8天后复查:

复查对比,有什么变化呢?
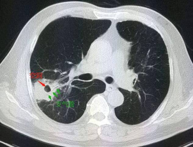
肿块整体缩小了一圈,而且里面出现了一个空洞(红箭头),空洞壁似乎还能看到支气管的影子。
为了看得更清楚,我们把图像再放大一点:

空洞壁果然看到一支平行走向的支气管影,同时我们可以看到,肿块周围的云雾状磨玻璃影已经完全吸收了(说明抗生素治疗很有效)。
这就充分说明了这个肿块不是肺癌,而是一种感染性病变——肺脓肿。
肺脓肿和肺癌从CT上怎么鉴别呢?
肺脓肿属于坏死性炎症,炎症跟癌症的鉴别诊断内容太多。我们针对这个病例来说,主要就是3点:
1.肺癌的肿块边缘大多清晰,有时可见分叶、毛刺等;而肺脓肿边缘伴有大片炎症,常表现为云雾状模糊影,我们叫磨玻璃密度影。
2.肺癌的空洞壁见不到平行走向的支气管影,会被肿瘤细胞破坏截断(肺结核的空洞壁也见不到支气管,这个以后再细说);而肺脓肿的空洞壁常可见到支气管影。
3.肺癌肿块经抗生素治疗后不会缩小。
依据上面3点,虽然患者没有做增强扫描和肺穿刺,我们仍然排除了肺癌,节省了进一步检查的费用。
像这类肺脓肿,因为有较多的肉芽肿成分,吸收比较缓慢,住院时间通常会适当延长一点。
也许读者朋友对上面的文字内容不够理解,我们再看几张类似的肺癌的肿块图:

肿块边缘清晰,没有云雾状影,空洞呈偏心性,空洞壁没有支气管,病理证实为肺腺癌

抗炎治疗无效,病灶逐渐增大,肺癌

分叶状肿块,支气管截断,周围没有云雾状影,病理为大细胞癌
上面3个病例都是确诊的肺癌,第1和第3例还有手术切除的机会,第2例是转移性癌,没有手术机会了,只能保守治疗。
总的来说,肺癌是我国发病率最高的恶性肿瘤,其诊断和治疗都在不断进步。某些不典型肺癌的诊断,常常需要结合进一步资料,比如肿瘤标志物检测、增强CT扫描、支气管镜或经皮肺穿刺等。
肺癌的治疗效果,受到肿瘤分期、病理分型、治疗依从度和敏感度等因素的影响,早诊早治是最好的!这也是我们推荐定期健康体检的原因所在,因为很多肺癌患者早期是没有明显症状的。
我是影像科豪大夫,专注于高发病率肿瘤的科普,欢迎关注我!
如果有这方面的疑问,或者对文章有读不懂的地方,可以在留言区留言,我会尽量答复。