牙齿是我们生活中不可缺少的门面担当。我们与人交流做出的所有的表情,几乎都会露出牙齿。一口整齐美观的白牙是会给对方留下印象的。可是有的人却发现,自己的牙齿怎么这么黄甚至还有牙斑形状的色块。牙齿发黄的原因总的来说分为两大类:内源性牙齿变色和外源性牙齿变色。
内源性牙齿变色

四环素牙

氟斑牙
牙齿发生的色变,并不是在牙齿表面,而是在牙齿的釉质组织之内。这种色变有两个典型的代表,一个是四环素牙,一个是氟斑牙。
顾名思义就是由四环素导致的牙黄。主要是因为在牙齿发育的初期,由于经常性的摄取四环素,导致体内钙质发生化学反应,进而体现在牙齿上。
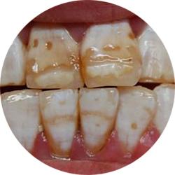
这和不同地区的用水情况有很大的关联,如果平时摄入的水中含有比较高的氟,长此以往,我们的牙釉质就会出现色素沉积现象,出现一个一个的黄褐色牙斑,一般来说要靠牙齿瓷贴面来完成牙齿美白。
外源性牙齿变色

我们的牙齿表面并不是肉眼所见的光滑和平顺。口腔环境的细菌生长性会让牙齿表面也有很多细菌和他们分泌的吸附性很强的粘液。当我们食用了颜色比较重的东西时,就会使一部分残留在牙齿表面。久而久之,这些物质从牙齿表面渐渐深入牙齿内部,形成色素沉淀。

除了上述的两类牙齿变色的情况之外,还有一种我们认为很正常的牙齿变黄现象:龄性牙齿色变。它的意思就是牙齿自然的老化带来的颜色变化。

黄牙不同于别的牙齿或牙周疾病,能让患者深切的感受到不适。但是当患者发现自己牙齿泛黄不美观时,往往会产生很多负面的影响。
- 首先,黄牙会给患者的个人形象造成很大影响。由于外在形象的影响,甚至会引起患者在平时社交过程中,一系列的连锁反应。
- 其次,黄牙会对患者本身造成心理负担。虽然不痛不痒,但是患者可能会不敢微笑,时间久了性格会比较孤僻。
- 最后,黄牙可能只是牙齿疾病的前期表现,如果不及时进行处理,可能在未来引发别的口腔疾病(例如严重的牙结石)。

我们医学上针对黄牙的治疗或者说去除,主要有两种方式:
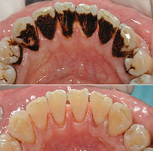
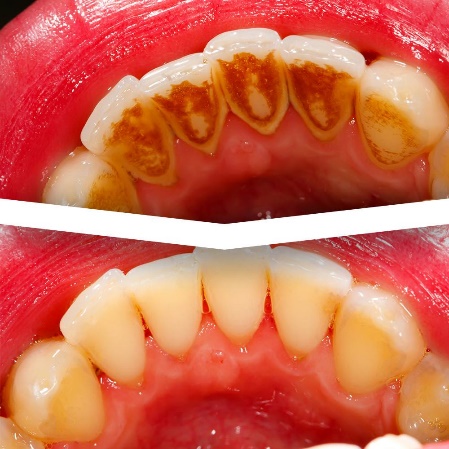
洗牙
这种应对方式可以解决很多外源性黄牙的问题,尤其是长期抽烟留下的烟渍或者咖啡渍。我们专业的设备,可以利用超声波对牙齿进行清洁,击碎结石的同时不会对牙齿表面造成损伤。

牙齿美白

如果黄牙的情况不适用于漂白剂,那么就要使用专业的牙齿美白手段了。现在我们最常用的就是冷光美白技术。通过专业的冷光源对涂有美白剂的牙齿表面进行短时间照射,从而改善牙齿的颜色。

科学证明,有的黄牙症状是具有遗传性的。这虽然无关痛痒,但为了我们牙齿的美观,也为了我们后代的牙齿美观,还是要积极解决这个问题。牙齿的美白技术已经很成熟,所以有黄牙问题的患者可以放心的选择正规医疗机构进行美白。
