牙齿是人口腔中非常重要的器官,在整个消化系统中也占有重要地位,但是因为牙齿并不会产生严重的疾病,所有并没有被大家重视起来,所以现在很多人牙齿存在各种小问题,除了口腔和牙齿的炎症以外,就是口臭了。有不少人口臭的原因就是因为没有按时刷牙,只要1天没有刷牙就会有口臭味,大家应该对此非常清楚,但是也有不少人天天刷牙,还是存在口腔有臭味的情况,这是为什么呢?

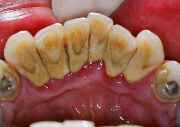
其实牙齿的结构虽然并不复杂,但是牙齿有其特殊性,那就是牙齿的数量是非常多的,它们与人的牙龈紧密相连,牙齿和牙齿之间只是紧挨着,但是并没有连接起来,在牙齿与牙龈的结合部位,以及牙齿与牙齿之间存在很多的缝隙,这些小缝隙“藏污纳垢”,食物的残渣都留存在上面,形成牙垢,大部分的牙垢刚开始是可以进行清洁的,但是如果长期没有被清理干净,这些牙垢慢慢钙化变得很硬,而且有的牙垢还会变黑,散发出一股臭味,甚至有点像臭鸡蛋的味道。牙缝里的“黑垢”有臭鸡蛋味儿?牙医:别乱扣,学一招,牙垢自己掉。

虽然大家天天刷牙,但是未必掌握了刷牙的方法,很多人刷牙的时候,就是普通的将牙刷放在门牙位置上横着刷一遍,然后两边再简单的刷一下,这样的刷牙方式感觉更像是在应付刷牙习惯,对牙齿的帮助作用很小,现在刷牙最好的办法就是巴氏刷牙法。巴氏刷牙法就是将刷牙的方式由左右移动改为上下移动,并且牙刷的角度是斜向45度的,这样做可以有效的清除牙齿周边的牙垢,还有牙缝上面的食物残渣,让牙齿更加清洁,不过如果自己用普通的牙刷来完成这种刷牙方式非常不方便,相信大家也这么做过,但是因为速度过慢,竖着刷牙容易损伤牙龈所以作罢,其实现在有的电动牙刷已经实现了这种功能,它们相比手动刷牙更加舒适而且不伤牙龈。
电动牙刷现在用的人比较少,很多人认为电动的就是在偷懒,其实谁会在意刷牙还偷懒,那些对牙刷比较懂的人就知道,每种牙刷价格不同的主要原因就是牙刷本身的质量有很大的差距,尤其是清洁效果,电动牙刷的优势在于牙刷清洁的频率远远高于手动牙刷,而且对于很多牙齿缝的死角位置清洁更加彻底,除了明显的食物残渣之外,一些还未成坚硬黑垢的物质也能清洁掉。

平常除了使用电动牙刷之外,还可以使用牙粉来清洁牙齿,牙粉是专门用来清洁牙齿黑垢的,相当于给牙齿洗澡,因为口腔里面的环境比较复杂,用牙粉可以调节口腔的酸碱度,牙粉中的物质可以与黑垢中的钙成分结合,让黑色的牙垢慢慢自己掉落。用电动牙刷,配合使用牙粉可以很好的改善牙齿黑垢和发出的臭鸡蛋味道。