今天,小编给大家带来一个病例分享,病例中的狗狗是一只5岁大的雄性金毛,体重25kg。

【主述】 近段时间尿频,少尿,出门反复出现排尿动作只见少许尿液排除,尿色出现少量褐色,偶见血色。昨日开始食欲减退,频繁做排尿动作后有鲜血。
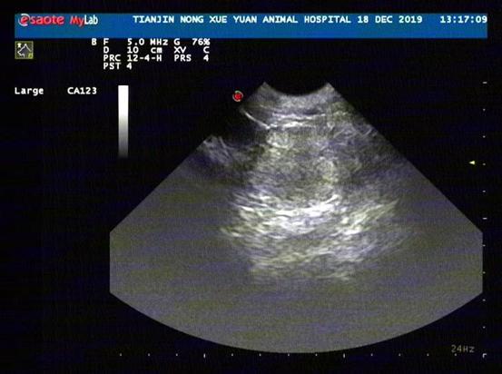
诊断:X光见膀胱结石,前列腺肿大,B超见前列腺肿大,伴有轻微囊肿
【现病史】 尿频 少尿 尿血
【既往病史】无既往病史
【一般体格检查】
体温:38.6℃
心率:150次/分钟
呼吸:20次/分钟
【临床所见】
血液检查结果

生化检查

X光检查结果

超声诊断结果

【治疗过程】
建议手术清除结石,去势。主人要求尝试保守治疗。
1:导尿疏通尿路并滞留双腔导尿管,缓解尿路肿胀。输液消炎,调节肾功。口服苓可舒和溶石药。
2:3天后撤尿管,可以正常排尿,食欲恢复。持续口服苓可舒及溶石药,建议定期复查前列腺及结石情况,多饮水,注意观察排尿情况。
【回访】
1月后复查情况良好,期间并未出现排尿困难及尿血的情况,X光见结石减少,前列腺基本恢复正常大小。B超前列腺大小正常,无囊肿。
1月后血液检查结果


1月后X光检查结果

1月后X超声检查结果

