A45动力和特异性免疫治疗利用A45的射线产生的Cerenkov光来治疗癌症,是一种精准治疗的新型肿瘤治疗方法和技术。“A45肿瘤治疗”利用FDA批准的核心设备DJ-A45医用电子加速器,以低剂量照射线粒体靶向聚集的氨基酸,利用单态氧全身性不可逆杀死有氧或无氧癌细胞。“A45肿瘤治疗”还能激发患者免疫力,经过治疗后,患者体内死亡的癌细胞释放有效抗原激发病人肌体产生特异性免疫,对抗、攻击残留癌细胞,从而阻止癌症的复发。A45治疗适用于各种癌症,尤其是中晚期的患者。
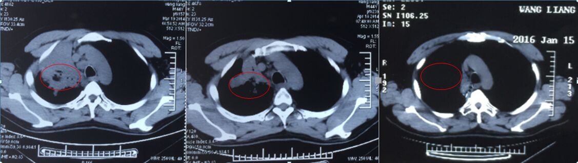
张先生,44岁,肺腺癌。三年前无明显诱因出现咳嗽3个月,偶有白色粘痰,无痰中带血,无发热、胸痛,无心慌、胸闷,自行口服消炎药无好转。2014年1月17日,张先生被当地医院诊断为肺腺癌。 胸部CT示:右肺占位,考虑肿瘤可能性大。支气管镜示:右上肺支气管口新生物阻塞。活检确诊为:右上肺低分化腺癌,无手术机会。患者化疗一周期后口服靶向药易瑞沙,行卡铂+培美曲塞二钠化疗三个周期,化疗后病情持续进展,且转移。PET/CT示:右侧中央型肺癌伴纵隔淋巴结转移,前列腺钙化,。
张先生接受A45动力和特异性免疫治疗 。治疗一个疗程后病灶明显缩小,治疗两年后,病灶几乎全部消退,目前患者状态良好,生活基本可以自理,可以做简单工作。

治疗前 治疗一个疗程 治疗两年后
经两千例癌症患者临床验证,接受该治疗的中晚期病人一年生存率由国际上28%提高到78%,两年生存率由7%提高到53%。与此同时,A45肿瘤技术多次亮相美国放射肿瘤年会(ASTRO),2016年《A45肿瘤治疗机理》的论文在美国第58届医学物理学会(AAPM)上发布更是引起国际医学界的轰动,被国内外癌症专家高度认可。美国foxchase癌症中心已于2016年9月安装此设备,成为美国第一家开展A45治疗技术临床验证中心,美国UC戴维斯医学中心也即将引进。
全球肿瘤医生网提醒广大癌症患者,虽然医学水平不断发展,治疗技术也在不断创新,但是至今为止,仍没有一种手段可以治愈肿瘤,A45治疗技术是一项比较新的治疗手段,虽然临床试验阶段取得了不错的效果,但像放化疗一样,也有不敏感,治疗无效的患者。肿瘤患者的治疗一定是依托于权威医院及权威专家的正规治疗,在采取常规治疗手段(手术、放疗、化疗)治疗后,根据自身的经济情况,辅助最新技术和最新药物治疗,采用多学科综合疗法,达到巩固治疗,预防复发,提高生活治疗,延长生存期的目的。我们的医学顾问会根据患者的情况,指导最适合的治疗,详情请登录或致电全球肿瘤医生网。