小李前阵子20岁生日,大学宿舍的同学们为了帮他庆生,特地组织了一场生日趴,又唱又跳又烧烤的折腾到半夜。第二天起床,小李牙痛脖子痛,一照镜子,肿了。“肯定是烧烤吃太多,上火了!”小李并没太在意,自己从药箱里翻出一盒头孢,炫了半瓶可乐吞了两颗药就跑去打篮球了。
吃了三天头孢,小李发现自己的症状越来越严重,左侧颈部的皮肤还有点红,感觉不太对劲儿的同学们一起陪着他来到了浙江省中西医结合医院(杭州市红十字会医院)就诊。
接诊的普外科方迪龙副主任医师查体后发现,小李的左侧颈部疼痛位置较为局限,左下侧牙齿疼痛明显,局部皮肤发红,伴有轻度的吞咽受限和低烧,建议小李首先做个B超检查。

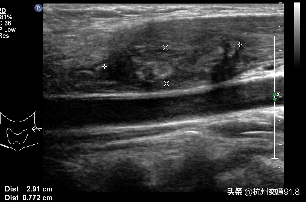
首诊检查所见大包块
超声医学科张文智主任医师为小李进行了细致的颈部超声检查,发现左侧颈部生长了一个长约6cm的脓包,位置深,与气管紧贴。根据丰富的经验,他认为很可能是梨状隐窝瘘合并感染,后经多影像学及临床确诊了此病。
多学科联合会诊后,迅速制定了治疗方案,张主任为小李进行了超声引导下放置引流管引流脓液,并结合抗生素抗感染治疗。

超声引导下置入引流管
当天晚上小李烧就退了,第二天起来脖子变瘦了,慢慢的牙齿、颈部也都不怎么痛了。半个月后复查,小李颈部的脓包缩小到了2-3cm,恢复得非常快。

术后一周复查 脓包明显缩小
仅仅是一顿烧烤,怎么就让小李的脖子肿起来,还“漏”了呢?梨状隐窝瘘,究竟到底是个什么玩意?

张文智主任日常门诊中
梨状窝 位于喉两侧,上界起自咽会皱襞,下界移行至环杓后区,外壁贴甲状软骨板,内壁向上移行至会皱襞,覆盖方膜及环杓侧肌。 梨状窝瘘 为胚胎发育过程中鳃裂组织未完全退化残留而形成,起源于第三或第四鳃囊。
所以,这个毛病,是 先天性胚胎发育异常 导致的!多见于儿童,绝大多数位于左侧(>90%),可能与鳃性组织右侧消失较早有关。
据张文智主任介绍,当本病没有感染并发时,可无任何症状和体征,不易发现。一旦合并感染,早期表现为颈部疼痛、红肿、同侧牙痛、发热、病变部位压痛等,还可引起颈部肿胀以及颈部淋巴结肿大。在进展期,局部可形成脓肿,由于表面覆盖有带状肌,故病灶位置可较深,引流后症状可缓解,但易反复发作或形成持久不愈的瘘管。
超声引导下脓肿内置管引流术既可以 快速高效 的引流脓液,缓解症状,又可以必要时对脓腔进行冲洗,是非常有效的治疗方法之一。
张主任最后提醒,最近天气热了,吃烧烤“上火”的人不在少数,当出现颈部红肿疼痛时,切不可大意,也勿自行服用消炎药,应及时就医处理。
记者:徐冉
通讯员:张弛 于秀蕾