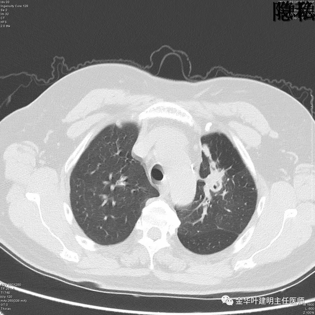
(病例资料2019年)金华的章某,今年60岁,前段时间因为咳嗽,到市区某三甲医院检查,发现她的左肺上叶与左肺下叶都有占位性病变。由于章某有亲戚在我们医院工作,所以在亲戚的指引下,让她来找我。我们予以适当的抗炎治疗,然后复发CT,发现病灶没有任何变化。其中平扫的片子如下:








可见左肺上叶有一占位,是空腔性的,其内有实性密度填充,是比较典型的肺曲菌病的表现,但病灶有点大,长径大于3-4厘米许。







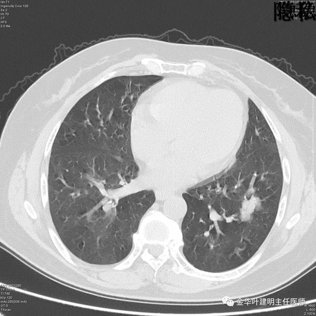
可见左肺下叶比较靠中央的部位也有一病灶,是混合磨玻璃影,偏实性,瘤肺边界清楚,是较为典型的肺癌表现。进一步的靶扫描图像如下:






靶扫描更清晰的显示细节,从影像上看,基本可以断定左下肺的是恶性肿瘤了,而且已经密度较高,长径也在3厘米以上,不能继续观察等待了!
章某有高血压病史多年,平时血压控制的也不规范。术前我们予以控制血压,并常规检查头颅MRA,结果却发现了意外的合并问题:





报告提示左侧大脑中动脉M1段及左侧大脑后动脉P1段管腔闭塞。按影像科的建议并请神经内科会诊后,予以行CTA检查。结果如下:





可见其左侧大脑中动脉起始部管腔重度狭窄,右侧大脑中动脉近段管腔也有狭窄;左侧大脑后动脉中远段未见显影。又建议其DSA检查。我们仔细询问章某平时没有神经系统的症状,回忆起来说大概3年前有段时间头昏比较明显,但也没有到大的医院详细检查,后来自行改善。鉴于平时并无明显症状,我们认为其脑血管的病变是慢性闭塞,并已经有侧支代偿。便先请神经外科会诊,会诊后的意见是可以先处理肺部疾病,待情况稳定后再到神经外科进一步诊治。这样,我们便打算为其进行手术。当然因为上叶病灶考虑良性,且位置靠肺外周部位,而下叶病灶考虑恶性,又是中肺叶中央,无法亚肺叶切除,况且病灶大于3厘米,密度虽还是混合磨玻璃,但已经明显偏向实性。所以拟定手术方式是“胸腔镜下左肺下叶切除+上叶楔形切除及纵隔淋巴结清扫术”,当然万一上叶也是恶性,也只能同样是这样的手术方式,全肺切除显然风险过高。
万事俱备,本拟昨天请麻醉科及手术室同事来加班为其手术的,但经过术前会诊及讨论,认为患者存在脑血管闭塞的情况,麻醉诱导过程中的血压波动容易造成低血压,手术过程中的出血或手术时间较长均会增加急性脑梗塞的风险,所以手术又暂缓。并针对新出现的情况,我们与患者丈夫与儿子进行了充分详细的沟通,我们的意见是:1、患者左肺下叶的病灶考虑是肺癌,而且已经需要尽早手术了的;2、左肺上叶的病灶考虑曲菌,但反正下叶要切除,所以上叶的病灶也得顺便予以楔形切除,虽然此楔形切除范围已经比较大了的;3、脑血管闭塞与狭窄是慢性发生的,并且已经代偿,若进一步的DSA检查虽然能更准备判定血管狭窄或闭塞的程度,但对减少手术时的风险并不能带来益处;4、如果行了DSA检查,相关科室建议支架植入的话,同样存在很大的风险(个人认为临床没有症状,可能并不需要让血管再通);5、如果患方能对此理解并对万一出现的脑血管意外表示理解(因为并不一定会出现,只是概率高于正常人,而肺癌却是不能等待了的),那么我们与麻醉科方韬主任、老搭档谭海栋副主任医师还是愿意勇于担当,原意为其进行胸腔镜微创手术。因为为了一个有可能出现的并发症而放弃早期肺癌的手术,放任肿瘤发展显然是不合适的。好在经过充分的沟通与解释,患者的丈夫与儿子均对可能出现的脑血管意外表示理解,并在术前谈话中专门针对此情况进行了说明与知情同意的签属。这样手术虽然拖延了一天,但仍然在今天下班后轮到得以进行。
手术采用单操作孔进行,进胸后发现上叶与胸壁广泛粘连,这也更佐证上叶的病灶是炎性的。我们花了约40分钟左右分离上叶的粘连,并予以行了楔形切除,取出来的标本明显是一个囊腔性病灶,其内充满一些烂泥样的物质(考虑为肺曲霉菌)。病灶的切除非常完整。下叶则从大体标本上看就明显是肺癌。见是致密的鱼肉样组织,没有包膜,是典型的肺癌标本。术后病理分别为曲霉菌和浸润性腺癌。
手术虽然最后共花费了约2小时,但其实外科医生与麻醉科医生都从心里上承担了非常大的压力,毕竟患者年纪不小,切除肺组织多,合并高血压,关键是脑血管的狭窄与闭塞非常严重,术中需要维持血压平稳,也不能过低,出现脑血管意外的风险还是很高的。从这个病例的成功进行手术,也再一次提醒广大患者“充分的信任医生才是共同对付疾病的不二法宝”。如果章某的家属犹豫不决,或者表现出无法接受术后万一出现脑血管意外的发生,那么医生肯定不敢冒险进行这样高风险的手术,延误了治疗导致肺癌的进展,甚至转移,那么受影响的主要还是患者。因为对于医院或医生来说,只是少开一个刀,但对患者来说,放弃的是生命,是治愈肺癌的机会。