11月17日,国际肺癌日。肺癌,一种危险性极高的恶性肿瘤。它的发病率和死亡率在全球多个国家都高居榜首,堪称“癌老大”。
早发现、早诊断、早治疗是肺癌治疗取得良好效果的关键。但是,绝大多数患者在被发现时,就已经处于疾病晚期,失去了根治性切除的机会。
面对肺癌患者对生存期、生活质量的迫切需求,成都市第三人民医院率先成立“肺癌诊疗一体化”中心,将临床诊治逐渐从既往的单一学科转变为多科综合模式,涵盖诊断、治疗、康复三大环节,致力于让身心一体的化的“治愈医疗”触手可及。

普胸外科微创肺结节手术
看得见的:新辅助治疗让肿瘤“瘦身”一半
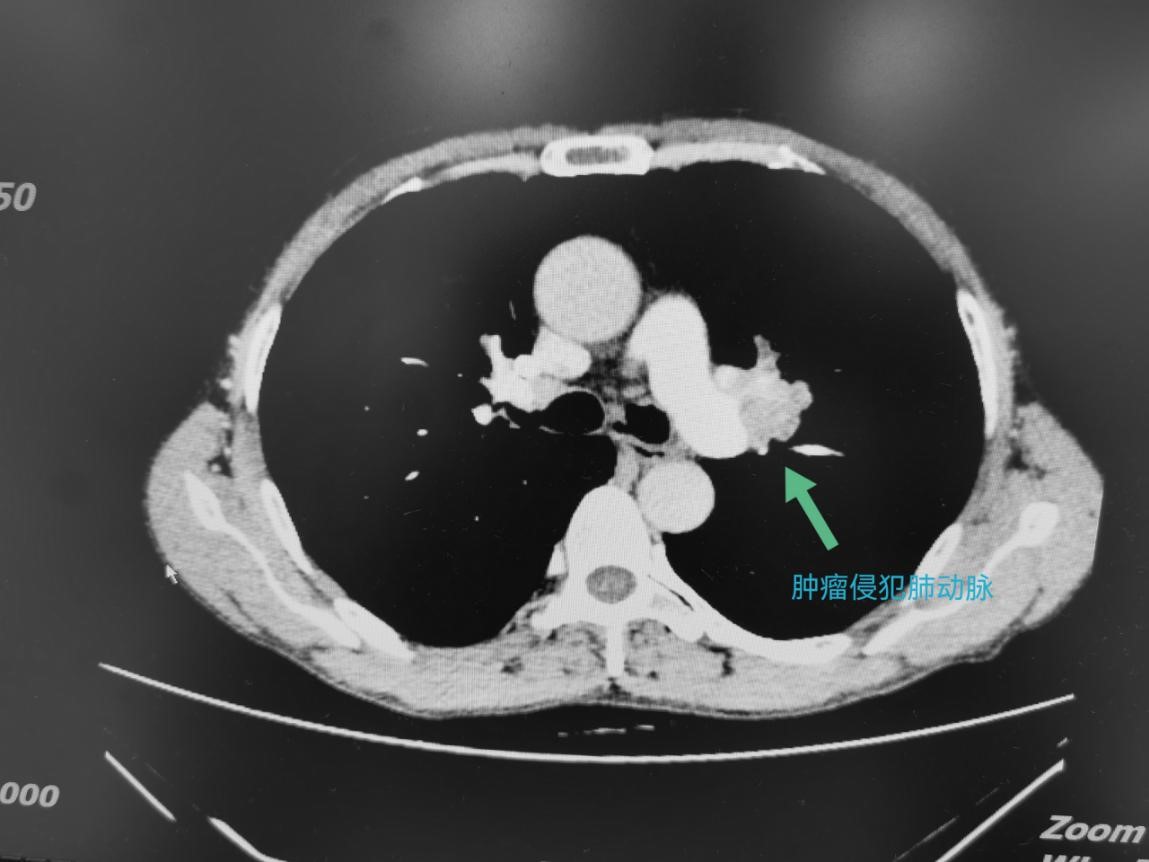
因为咳痰带血,65岁的刘爷爷来到成都市第三人民医院普胸外科就诊。“医生,快点帮我看下是啥问题,我还赶着回家收花生呢。”对于自己的病情,没有其他不适感的刘爷爷很乐观,认为“问题绝对不大”。然而,检查结果却很糟糕——左肺肺门区长了一个直径约4.5cm的肿瘤,并且肿瘤已经侵犯到肺动脉主干和支气管,经过病理检查证实为肺鳞癌。唯一说得上幸运的是,没有发现远处脏器有转移灶。
尽管如此,想要直接手术切除的风险很大,可能无法达到根治性切除的目的。也可能需要切除整个左肺,而这必将对老人家后续的生活造成巨大的影响,大幅降低生活质量。经过“肺癌一体化诊疗中心”多学科团队的讨论,最终根据患者的实际病情制定了个体化的治疗策略——结合目前指南推荐和各种大型研究的结果,决定先行三周期的免疫联合化疗,目的是先“杀灭”一部分潜在的微转移灶和肿瘤细胞,同时使肿瘤变小,以获取小范围根治性切除的机会。
在新辅助治疗顺利结束复查时,刘爷爷的肿瘤已经缩小至2cm。这意味着,可以通过手术完整切除病变的左肺上叶,同时保留左肺下叶,以最大限度保障后续生活的质量。
看不见的:单孔“小空间”下的治疗“大动作”
手术可以做了,但怎么做才能实现最小创伤、最大获益?在成都市第三人民医院客座教授、上海市肺科医院胸外科资深带组主任蒋雷的指导下,肺癌诊疗一体化中心·普胸外科团队制定了细化的手术方案——“单孔胸腔镜下左上肺癌根治”及“支气管、肺动脉双袖式切除成型术”。
放眼胸外科领域的手术治疗来说,这样的治疗都属于超高难度系数的手术。究竟难在哪儿?第一个,单孔镜的手术开口为4cm,这意味着,一切的操作都只能由此作为入路完成。在手术的过程中,医生需要通过这个开口完成左上肺叶的切除,而后还要将支气管和血管重新做吻合。
“具体来讲,就是先将被肿瘤侵犯的支气管和一段左肺动脉‘主干’切除掉,再分别将支气管和血管两段吻合重建,就好比是进行了一次‘断肢再植’。”成都市第三人民医院普胸外科副主任杨懿说,肺动脉直接来源于心脏,属于人体的大血管,即便是“小沙眼”般的破口都会造成“血流成河”的结果。手术却恰巧是要在这上面动刀,过程中稍有不慎,就可能造成难以补救的大出血,甚至可能因为出血量过大导致死亡。

新辅助治疗前

新辅助治疗后
针对手术的难点和各种风险,普胸外科团队制定了详尽的应急预案及术前准备。经过2个多小时的紧张手术,最终顺利完成了这台超高难度的手术。手术后4天,刘爷爷顺利拔除引流管康复出院。而更令人惊喜的是,术后病理报告显示:切除的病灶和淋巴结已经完全找不到肿瘤细胞,即达到了完全病理缓解。这样一来,原本已经跌入疾病治疗谷底的刘爷爷,将重获良好的治疗预后。
刘爷爷的治疗,并非只是“幸运”。
有这样一个值得关注的数据:今年10月中旬,中华肿瘤杂志发布了中国首个《肺癌多学科团队诊疗中国专家共识》,对“多学科团队(MDT)诊疗”这一模式做了深入解析——和治疗手段、药物无关,仅仅是医院在治疗流程上的优化(MDT),就能让癌症患者的3年生存率提高近10%。
伴随多学科MDT协作下投运的成都市第三人民医院肺癌诊疗一体化中心,率先采取多学科综合治疗模式,以指南及大型临床实验数据为基础,结合患者不同病情,让一个更加完善,覆盖预防、诊断、治疗、康复等诊治全环节的立体式疾病管理模式跃然眼前。一大部分原本已经陷入治疗困境的中晚期复杂性患者,通过综合治疗获得良好的预后,已不再是“偶然”。
李诗敏 大众健康报记者 侯文瑾
编辑 侯炫伊
校对 钟南胤
审核 蒲晓莉