#磨玻璃结节# #重庆头条# #肺结节[超话]#
不知道什么时候开始,“人民子弟兵”这个荣誉称号从口口相传,走向了网络世界。越来越多的人看到了“人民子弟兵”为什么可以被称为人民子弟兵。不论是滔天的洪水,还是山崩地裂的大地震,又或是毁灭一切的山火, 人民子弟兵都是那最坚定的逆行者,永远将人民护在身后,用自己的血肉之躯筑成那一道坚实的城墙。
今天分享的这位老哥,是一位退休的军人,曾经为国奋斗一生的他,在“耳顺之年”遇到了结节的困扰。身在北京的他,不知道如何选择一家合适自己的医疗机构,所以在网络上向我求助,希望我可以给出一个精准诊断帮他确定后期该如何治疗。
看完片子,我给出了我的诊断:疑似炎症,口服拜复乐半个月,夏枯草口服液一个月,2-3个月后再复查对比一下(这一点我重点和新来的朋友说一下,根据肺结节的相关诊疗意见书。新发现的肺磨玻璃结节都建议先随访,3个月后复查看结节变化,用这种方法排除炎症结节的可能性。如果没消除,那么再进行后期治疗即可)。在半年随访之后,得到了好消息,结节基本吸收,后期不用纠结。这位老兵对我的信任,得到了最好的验证(我的精准诊断还是很有保障的,不然怎么敢发定心丸,哈哈哈)。
祝这位老兵在未来“盈缩之期,不但在天;养怡之福,可得永年”。
以下转自患者提问:
2022-02-11
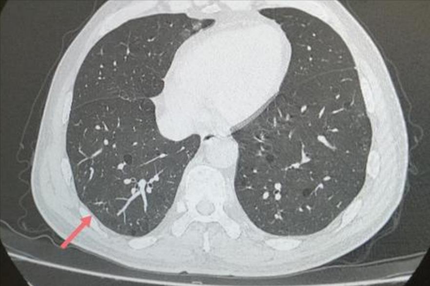
我重发下图片,您再帮我看下,帮我定下性质和严重程度,年过了,如需手术,准备找家医院尽快做了。
主任,我是交地方的军休干部,如去新挢医院找你诊治,能优先吗?
我住北京也不知那个医院好,近一直关注你帖,就感觉你是最值得信赖和放心的好大夫,可求你的人太多了,感觉太难了。
可这块病灶不诊治老睡好觉,报告说恶性病变可能,压力太大。恳求主任了,再帮我看下再定后边的事!


我的回复:
肯定优先啊,我们是为部队服务医院。
但您这个结节还没有完全排除炎症,建议口服拜复乐半个月,夏枯草口服液一个月,2-3个月后再复查对比一下,如果不缩小再手术也不耽误的。
2022-02-25
主任好,发两次帖你都回复了我,片子你看后说:但您这个结节还没有完全排除炎症,建议口服拜复乐半个月,夏枯草口服液一个月,2-3个月后再复查对比一下,如果不缩小再手术也不耽误的。
我着急焦虑吃十天拜复乐后去医院做了加强CT,做完后没出报告就看了门诊大夫,在电脑上看片与我以前做的片子比对说,那个结节找不到了,可把我高兴的……
但报告出来后说右肺下叶胸膜下有个6mm的实性结节,又不淡定了,不知是不是同一个结节,如是新的结节,请主任给判定下性质、程度,是随访还是做掉他?如是高危我想尽快手术,以解除焦虑。
盼主任百忙中能看到回复我,一个军休老同志向您表示崇高的敬意并由衷的感谢你!
在此更要感谢你的义务团队,他们的热心、耐心、无私的帮助结友,很是感动!冷月帮我解惑,帮我截图!深表感谢
我的回复:
您太急了,老同志!我的意见同前。
这个新报的6mm结节,就是前面那个空泡结节变的。既然有明显变化,那就没事了。脱恐。继续我的医嘱,半年后复查,希望全消。
2022-09-20
主任好:这是我第四次给您发帖,第三次帖您回复我是“……这个新报的6mm结节,就是前面那个空泡结节变的。既然有明显变化,那就没事了。脱恐。继续我的医嘱,半年后复查,希望全消。”这次复查报告的结果没有全消,但明显变小、变淡,这次报告说与上次比较明显吸收,考虑炎性可能性大。
高兴之余还想发帖与您百忙中帮我看看,毕竟还没全消,下步该如何面对想得到您的医嘱!您的诊断就是我的定心丸,对主任的信任是发自内心的,也是诊治跑了北京多家有名医院后感触的!适时我也会写写我的求医过程,念念戴主任的医德、仁义和伟大,感谢戴主任团队吧友们的热心和友好,也为结友们提供一个参考例证!
一个军休老同志借此机会向骄傲的戴主任致以最崇高的敬意!
下面是这次检查的CT报告和图片(这次医院不给刻光盘了,在门诊医生电脑上拍照的)。




我的回复:
脱恐,没事了。不需要复查了。
报告说:结节较前基本吸收。您不能太贪心,这么大的空泡结节,您不能要求消失得一点点渣渣都不能留吧?
谢谢您对我诊断的信任,坚持挺住,没有手术。成功最是硬道理!