肿瘤变小但转移灶增多 (肿瘤缩小但多发淋巴结怎么回事)

肿瘤缩小三分之二,为什么乳腺癌容易出现肺转移?

“化疗、靶向治疗都试过了, 差点就要去做手术了, 没想到肺部肿瘤 不用开刀也能 被清除干净。” 看到 乳腺癌肺转移患者 女士的 复查报告 广药三院肿瘤科一区医生们 都由衷替病人和家属感到高兴。

对于很多肿瘤患者来说,癌症就像是人生的一道分水岭。 前面是患癌前的平淡安乐的生活,往后是患癌后尝遍了抗癌路上的艰辛的日常。好在对张女士而言,这条艰辛的抗癌路已经告一段落。

肿瘤变小但是转移了怎么办,乳腺癌术后几年肺转移有什么症状

因为无意间摸到乳房肿块,并且伴有刺痛, 张女士很快到医院进行检查。在医生建议下,张女士接受了详细的检查,病理活检显示,张女士左乳腺发现了浸润癌,而且已经出现了左肺转移。

在当地医院接受了两个多月的化疗后,因为身体实在不能耐受,张女士又接受了靶向治疗。但肿瘤并没有控制住,从一开始的 3.5厘米一直增长到了4.6厘米。张女士和家属眼看化疗不耐受,靶向治疗又没能控制住病灶,赶紧寻找新的治疗方案。

在来广药三院肿瘤科一区之前,当地医院建议张女士进行外科手术切除治疗,但犹豫再三,张女士还是拒绝了手术治疗。“不到万不得已,我是真的不想手术切除的。”——见到彭主任时,张女士告诉彭主任:“所以一听到广州这边有不用开刀专门治疗中晚期肿瘤的方法,我马上就过来了。”

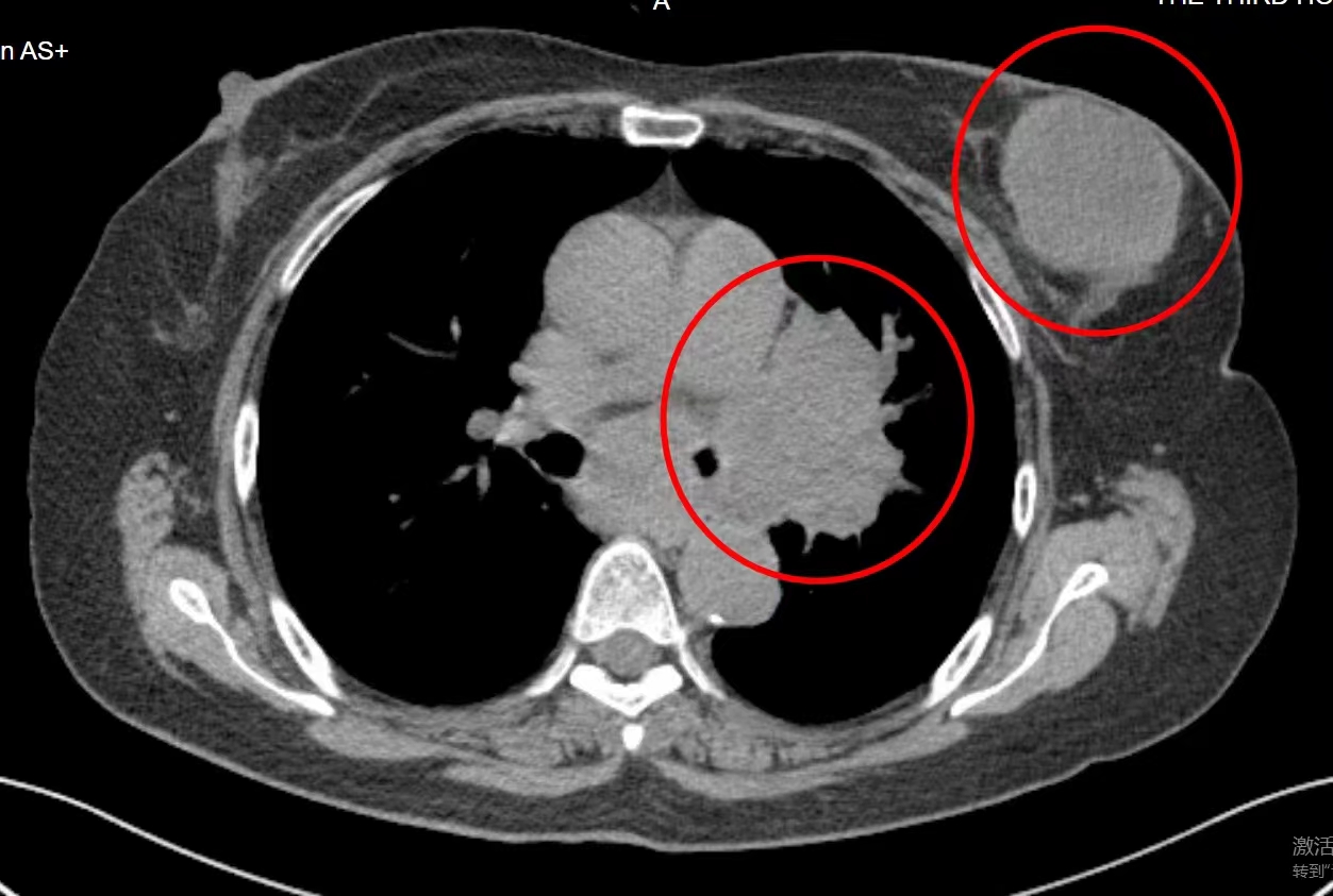
在会诊时,彭主任为张女士安排了检查,发现CT示肿瘤大小已经长到了5.8公分。经多学科会诊,医生团队为张女士制定了微创+中医的综合治疗方案。医生建议,肺转移病灶行局部粒子植入治疗,乳腺原发病灶行局部动脉微创灌注栓塞术治疗。

肿瘤变小但是转移了怎么办,乳腺癌术后几年肺转移有什么症状

在微创治疗术后,结合中医中药进行巩固调理,辩证施治。中医专家徐教授在为张女士会诊时指出,乳腺癌肺转移使得患者本身就身体虚弱,另外化疗也给患者的身体带来了一定损伤,导致患者正气亏虚,气虚就会导致血行不畅,形成气滞血瘀,肺气亏虚会让患者喘不上气,会引发咳嗽咳痰,这也是来医院时张女士气喘气促,胸痛的原因。

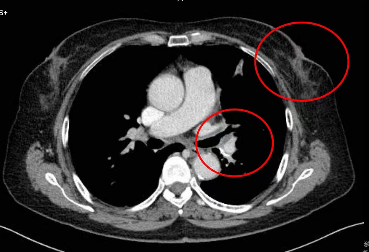
在中医辨证论治的配合下,张女士的治疗顺利完成,无明显不适。治疗结束后,张女士再次来到广药三院肿瘤科一区进行复查复诊,这次的检查结果显示,张女士肿瘤缩小至2公分,临床症状消失,疗效评价CR

没有想到自己能在这么轻松的状态下完成治疗,张女士对彭主任说:“这个治疗方法好,没有痛苦,恢复也快,做完治疗回家也能正常工作正常生活,心理也没这么大负担了。”医生表示,创伤小、副作用低正是肿瘤微创治疗技术特点,再结合中医药进行调理巩固,能大限度地帮助患者恢复身体,增强免疫力,提高对癌症的抵抗力。

肿瘤变小但是转移了怎么办,乳腺癌术后几年肺转移有什么症状

同时,医生也叮嘱张女士,乳腺癌肺转移的几率很高,即使经过治疗,今后也要定期进行复查复诊。此外,术后也需要继续口服中药调理稳固病情。

什么样的乳腺癌患者,容易出现转移呢?

彭齐荣主任查房时叮嘱张女士,回去后要保持阳光开朗的心情,积极乐观面对生活。乳腺癌肺转移的几率比较高,除了因为肺部与乳腺位置较近,容易出现侵袭转移以外,患者的心情也是一大因素。

肿瘤变小但是转移了怎么办,乳腺癌术后几年肺转移有什么症状

从西医的角度来看,乳腺癌患者经历手术、放化疗,身体逐渐虚弱,免疫力降低,癌细胞就容易活跃,出现转移。

从中医来看,乳腺癌患者长期处于悲伤、沮丧的情绪之中,肝脏的疏泄功能就会出现问题。而五行理论中,肝属木,肺属金,金克木,当木反过来侵犯金,木旺金弱,肝气则会犯肺部,而肺又为娇脏,位于胸中,胸组织疏松,抵抗力也弱,就很容被肿瘤细胞侵袭占据。当肺部被癌邪侵犯,就会导致肺的宣降功能失司,肺气郁滞,日久就容易发生肺转移。