点击右上角立即关注,更多健康内容不再错过,不定期惊喜送给你
脑梗塞是高发性疾病,严重影响了患者的正常生活。任何疾病都需要在饮食上进行合理的调理,即让营养得到了均衡,同时又辅助治疗了脑梗塞。所以脑梗塞患者在进行科学的治疗同时,也要注重饮食方法。那么脑梗塞的饮食是什么呢?

脑梗塞的饮食需注意以下几点:
1、忌高脂肪、高热量食物:若连续长期进高脂肪、高热量饮食,可使血脂进一步增高,血液粘稠度增加,动脉样硬化斑块容易形成,最终导致血栓复发。忌食肥肉、动物内脏、鱼卵等,少食花生等含油脂多,胆固醇高的食物;忌用或少用全脂乳、奶油、蛋黄、肥猪肉、肥羊肉、肥牛肉、肝、内脏、黄油、猪油、牛油、羊油、椰子油;不宜采用油炸、煎炒、烧烤烹调。
2、忌肥甘甜腻、过咸刺激助火生痰之品:少甜味饮品、奶油蛋糕的摄入;忌食过多酱、咸菜等。
3、忌生、冷、辛辣刺激性食物:如白酒、麻椒、麻辣火锅等,还有热性食物如浓茶、羊、狗肉等。

4、忌嗜烟、酗酒:烟毒可损害血管内膜,并能引起小血管收缩,管腔变窄,因而容易形成血栓;大量引用烈性酒,对血管有害无益。据调查,酗酒是引起脑梗塞的诱因之一。
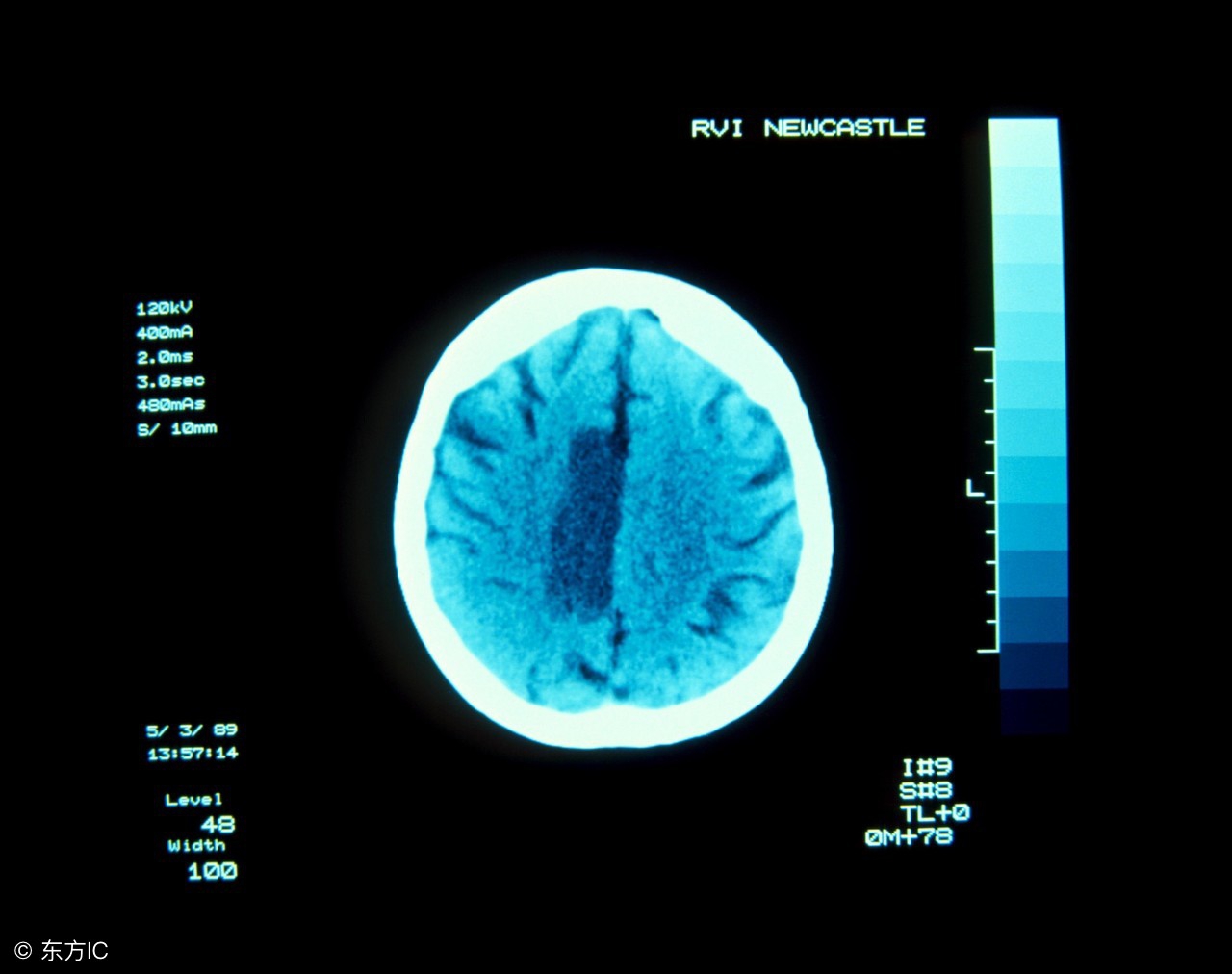
脑梗塞的症状特点
(1)起病突然,常于安静休息或睡眠时发病。起病在数小时或1~2天内达到高峰。
(2)头痛、眩晕、耳鸣、半身不遂,可以是单个肢体或一侧肢体,可以是上肢比下肢重或下肢比上肢重,并出现吞咽困难,说话不清,恶心、呕吐等多种情况,严重者很快昏迷不醒。每个病人可具有以上临床表现中的几种。
(3)脑CT检查显示脑梗塞病灶的大小和部位准确率66.5%~89.2%,显示初期脑出血的准确率100%。因此,早期CT检查有助于鉴别诊断,排除脑出血等病变。这是十分重要的,发病早期脑出血与脑血栓形成的治疗有截然不同的地方。当脑梗塞发病在24小时内,或梗塞灶小于8毫米,或病变在脑干和小脑处,脑CT检查往往不能提供正确诊断。必要时应在短期内复查,以免延误治疗。

(4)较少有严重的意识障碍和颅内高压等全脑症状,主要是局灶性脑功能缺失的征象,依据受累血骨部位不同而异:如颈内动脉闭塞的同侧单眼失明或/及Horner氏综合征,对侧偏瘫;大脑中动脉闭塞时对侧完全性偏瘫、感觉障碍、同侧偏盲等;小脑后下动脉的闭塞出现眩晕、恶心呕吐、声音嘶哑、吞咽困难、同侧Horner氏综合征,共济失调,同侧面部浅感觉减退和对侧肢体的浅感觉减退或轻度偏瘫。
注:文中图片来自网络,如有侵权请联系删除