膝关节总是觉得沉重、没有力量,有的时候我们要从骨科方面考虑,常见的诱发这种情况的疾病是骨关节炎和老年性的肌肉萎缩,而有的时候我们也不能忽视内科疾病导致患者出现这种情况,而在临床上诱发膝关节总是沉重、无力非常常见的一种疾病,就是糖尿病。

膝关节骨关节炎是导致关节沉重无力,主要的原因。
随着年龄的增长、对于关节的使用、体重的增加,关节内的软骨都有可能会发生磨损,而关节内的软骨一旦磨损以后就会导致骨关节炎,患者会出现关节屈伸的疼痛,有的患者严重的时候不敢下蹲,继发比较明显滑膜炎的时候会有关节的积液。随着病情的进展,患者关节会有大量的骨赘形成,严重的患者会出现明显的关节畸形,不能正常的蹲起,关节的活动也会因为骨髓的阻挡导致不能正常屈伸。

膝关节骨关节炎的患者由于疼痛,会慢慢的行动力有所的下降,肌肉就会由于活动的减少而慢慢的出现萎缩。这是导致很多骨关节炎的患者出现膝关节酸疼无力的原因。
针对于这种情况,最好还是要明确关节腔内软骨磨损的具体情况,建议患者不仅要进行膝关节x线检查,还应该检查膝关节的核磁,如果关节内软骨磨损不是特别的严重,可以给予患者关节内注射玻璃酸钠或者是prp来增加软骨的弹性,尽量润滑关节,帮助患者减轻症状。随着症状的减轻,患者的行动力也会有所增加,如果在进行科学的康复锻炼,强化关节周边的肌肉,那么症状就会有所缓解。

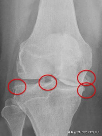
而如果膝关节问题比较严重,关节活动已经出现了明显的受限,关节软骨磨损的特别严重,那么应该进行膝关节置换手术,帮助患者解决疼痛的问题以后再进行更加系统的康复锻炼,尽量帮助患者恢复到日常生活当中去,比如像下图这样的x线,表现患者关节腔内的软骨可能已经磨损消失殆尽了,这种情况如果患者疼痛比较严重,进行关节置换是最好的选择,否则患者膝关节疼痛、酸疼、无力的症状很难改善。

肌肉减少也是导致老年人出现膝盖酸疼无力的原因。
以往人们对于老年性的肌肉减少并不是特别的重视,然而现在研究的越来越深入了,现在这种情况也被命名为肌肉减少症。总体来讲这种情况并不是肌肉有明显的丢失,而是整体肌肉不再像以前有力量,而且肌肉会出现萎缩。而肌肉萎缩以后反过来也会加重关节的不稳定,所以说往往肌肉减少症和骨关节炎这两种疾病是互相影响的。
大家可以想象腿部的肌肉强度如果减少10%~20%左右关节能不出现无力和酸胀的感觉吗?解决这种问题最主要的办法也是科学的康复锻炼,这种情况最好要在专业康复师的指导下,不仅训练肌肉强度,而且还要训练老年人的平衡感,这样关节的功能才会得到改善,酸沉无力的症状也会慢慢的减轻甚至消失。

糖尿病也是在临床上导致患者出现膝关节沉重无力的原因之一。
这种情况往往出现在糖尿病时间比较久的患者,或者是血糖控制不好的患者身上。长时间的血糖升高会导致患者出现血管的问题以及神经的问题,于是会导致患者出现肢体的无力。往往在膝关节和踝关节表现的比较明显。在这两个关节之间,又由于膝关节是比较大的关节,所以往往患者表现的会更明显一些。

针对于这种情况,严格的控制血糖是往往是治疗的基础,建议糖尿病的患者要进行肌电图检查,明确肢体的肌肉是否有神经传导的异常。因为有研究显示,如果糖尿病的患者出现神经传导的异常,发生肌肉力量改变的几率会越高,而且会随着病程的时间,两者之间成正比的表现,也就是说糖尿病患者出现神经改变时间越久,肌肉力量会变得越差。
对于出现这种情况的患者,康复锻炼也是重要的手段之一,而且可以口服神经营养药物或者做一些神经电刺激促进肌肉的恢复,这些促措施最好结合起来共同进行。

总结
出现膝关节沉重无力的情况,常见的情况是骨关节炎、肌肉减少症以及糖尿病,但是也不能排除其他疾病诱发的风险,比如下肢血管的动脉疾病,如果下肢的动脉血供出现了问题,肌肉缺少营养也会出现沉重和无力,严重的时候甚至导致疼痛,是这种情况相对来讲不是特别的常见,就没有在文章当中详细的给大家介绍。解决这种问题,或者说缓解这种问题,最重要的办法是进行科学系统的康复锻炼,而不要听之任之,可以口服神经的营养药,或者是用一些物理的措施强化肌肉的力量,患者往往就会有一定程度的缓解,如果您还有其他的疑惑,可以在下方留言,大家共同探讨。
我是坚持用简单语言解释复杂疾病知识的谢新辉,码字不易,如果您赞同我的观点请帮忙点个关注或点个赞吧,谢谢了!

#2019算数健康大会# #真相来了# #头条辟谣# @头条健身 @头条健康情报局 @健康真相官 @清风计划 @头条健康 @生命召集令 @头条辟谣 @青云计划