一直以来科普介绍的大多都是肺癌里占比最大的一个类别——非小细胞肺癌,但却忽略了那一部分相对“小众”的小细胞肺癌,这可是肺癌里的“大魔头”。
一、小细胞肺癌的“坏”
在肺癌里,小细胞肺癌( SCLC) 约占14%,几乎全部的小细胞肺癌病例均由吸烟导致。尽管近年来小细胞肺癌的发病率一直在下降,但其女性发病率却在上升,男女发病率之比目前为1:1。小细胞肺癌发病率虽不算特别高,但为什么我们会如此关注他,说他是大魔头呢?
这是因为小细胞肺癌极易转移,症状也比较复杂特殊,目前治疗手段也有限,一旦患上很少有手术切除机会,肺癌的首要治疗手段都对付不了它,因此预后也较差,少有长期生存的。

二、如何筛查小细胞肺癌? 早期非小细胞肺癌可通过低剂量的胸部CT筛查出来,但胸部CT似乎无法有效检出早期小细胞肺癌。一般小于6mm没有特殊形态的肺结节我们都可以半年到一年随访,但因为小细胞肺癌的侵袭性太强,可能这次胸部CT没有发现异常,在筛查的一年间隔期里,往往就已经出现症状,进展为晚期了,所以这也是小细胞肺癌让我们头疼的地方。那么,小细胞肺癌就没有其他特别好的筛查办法吗? 目前来看,暂时还真没有特别经济实用的好办法。很多时候只能通过症状表象来辅助诊断。小细胞肺癌表现为非小细胞肺癌常有的咳嗽和呼吸困难等症状,影像学上可呈现出肺门部的大肿块以及纵隔淋巴结肿块。此外,这个大魔头还拥有十八般*器武**——神经内分泌作用,产生许多神经内分泌综合征,其中神经综合征包括肌无力综合征和感觉性神经病,内分泌综合征则包括抗利尿激素导致的恶性低钠血症和糖皮质激素过多导致的库欣综合征。

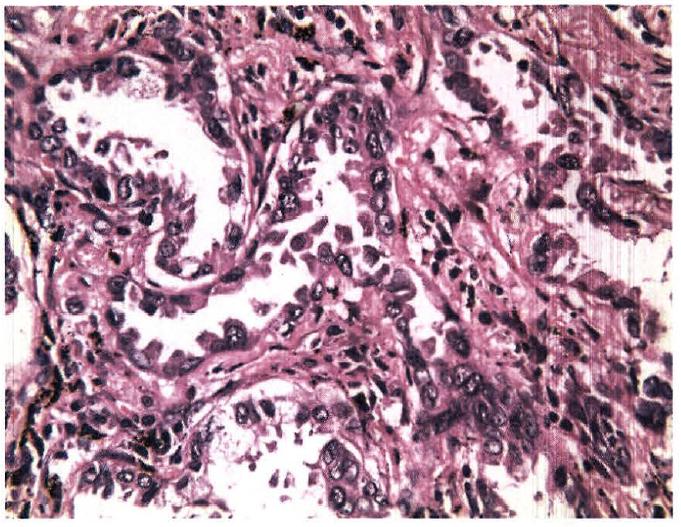
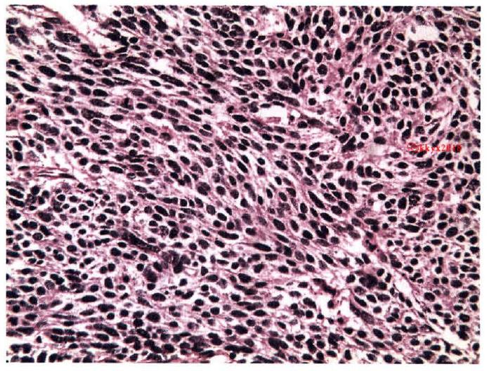
三、从病理上看小细胞肺癌的“坏” 作为肿瘤诊断的金标准,是何如区分小细胞肺癌与非小细胞肺癌的。一般而言,对于预后比较好的肿瘤,大多都能有一定的形态,长得比较像样;但对于那些比较坏的,预后差的肿瘤,很多是不像样堆积,细胞形态上也长得比较奇怪。

肺腺癌:癌细胞沿肺泡壁呈多层生长,形似腺样结构,有乳头形成,肺泡间隔未被破坏,肺泡轮廓保留

小细胞肺癌:癌细胞小,梭形,胞质少,似裸核,平行排列呈片状,一看就不是什么好东西
四、小细胞肺癌的特殊分期
大家都知道非细胞肺癌通过肿瘤大小、淋巴结转移情况、远处器官转移情况,用TNM分期系统进行分期,那么小细胞肺癌是不是也这么分呢?其实,用TNM系统来给小细胞肺癌是可以,但更多的用于临床研究中,目前临床上更常用的是更简约的双期分期系统,分为局限期和广泛期。
局限期:局限于同侧半胸的病变,可被安全地包含在一个放疗野内, 对应TNM分期I- III期(任何T,任何N,M0)
广泛期:指超出同侧半胸的病变,包括恶性胸腔或心包积液或血行转移等, 就是局限期之外的其他类型,对应TNM分期IV期(任何T,任何N,M1a/b)。
五、小细胞肺癌这么坏,还有得治吗?
在小细胞肺癌中,有一部分患者也是可以手术的,但现实是,I-IIA在所有小细胞肺癌患者中占比不及5%。目前最可能从手术中获益的患者是经过胸部和上腹部 CT、脑成像和 PET/CT 成像等检查后确定临床分期为局限期中的I-IIA (T1-2,N0,M0),也就是肿瘤大小在5cm以下,没有淋巴结及远处器官转移的小细胞肺癌患者。但考虑到小细胞肺癌易复发和转移的特性,这部分患者后续还是要接受辅助性治疗的。
而除I-IIA 期外的其他分期的小细胞肺癌患者,更多的只能选择全身治疗,包括化疗和放疗以及新兴的免疫治疗,这是最后的希望。目前一线化疗方案主要是顺铂+依托泊苷方案,伴随着免疫治疗的异军突起,最新指南也推荐可考虑加入阿特丽珠等抗PD-1/PD-L1*制剂抑**的免疫治疗药物。
巧妇难为无米之炊,目前针对小细胞肺癌的治疗手段确实有限,我们也期待着诸如免疫治疗等领域能为我们征服小细胞肺癌的道路带来一线曙光,期待后续的好消息。

六、小细胞肺癌该怎么随访?
基于小细胞肺癌恶性程度较高、容易转移的特性,小细胞肺癌的随访会相对频繁些,小细胞肺癌的随访的策略是根据双期分期进行的。
对于局限期:治疗后第1-2年就需要每3个月随访一次,第3年每6个月随访一次,后面每年随访一次即可。
对于广泛期:治疗后第1年就需要每2个月随访一次,第2-3年每3-4个月随访一次,第4-5年每半年随访一次,后面每一年随访一次。
如果您有任何问题及想法,欢迎评论区留言,我们会定期选取优质问题进行科普,希望对您有所帮助。欲持续获取科普信息,欢迎关注与转发,科普不易,感谢支持! #肿瘤科普排位赛##畅享呼吸超能团#
(此处已添加医疗卡片,请到*今条头日**客户端查看)