急性会厌炎一般来说并不是非常的常见,但是偶尔还是可以见到这样的患者,这种患者主要表现为咽痛剧烈,伴有吞咽痛,或者吞咽困难。如果您最近有熬夜,工作忙,连续加班并出现剧烈咽痛和吞咽困难时,就要及时去医院查一查有没有急性会厌炎了。

最近就有一位非常严重的急性会厌炎的患者,黄,43岁,广东龙川人。患者于4天前无明显诱因开始出现咽痛,吞咽时明显,伴有吞咽困难、咽异物感,到我院急诊,查喉镜示:急性会厌炎,为进一步诊治,门诊拟急性会厌炎收住我科,入院时患者病情急,起病以来,患者发热,温度38.0,无咳嗽气促、胸痛心悸,无关节疼痛,精神,胃纳可,睡眠一般,大小二便正常,体重无明显改变。
患者入院后检查的喉镜会厌是这样的。

抽血化验各项炎症指标严重升高。

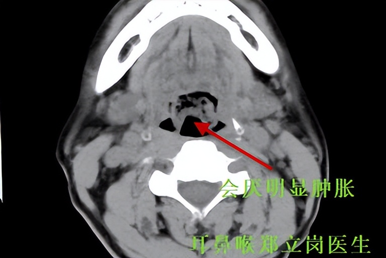
做了个CT检查,会厌明显的肿胀,如下图所示。

患者入院后予以药物和综合治疗后有明显的好转。
对于急性会厌炎耳鼻喉郑立岗医生还是建议大家预防为主,平时不要熬夜,饮食要有节制,不能太劳累。这些情况注意了,我们的免疫力都会保持一个比较好的程度,会加大程度的避免这种病的发生。