患者女,19岁,陕西省榆林市人。
一、李小勇脑脊液科入院前病史
患者于2017年3月20日左右,在学校学习时,出现头痛、呕吐、发热症状,最高体温38.4度,在陕西省西安市某个人门诊输液治疗3天,头痛呕吐有好转但仍发热。
但发病后5天即2017年3月25日,从学校宿舍的上铺下来时因发热虚弱摔下,右眼眶外伤,就诊于第1家的陕西省西安某三甲医院,查脑CT( 图-1 )后认为右额颞部硬膜下有血肿,胸部X线检查未见异常(片子丢失)。

图-1: 2017年3月25日脑CT
家长将其接回家中自行输液1周后,发热症状反而较前加重,呕吐、头痛症状也加重。
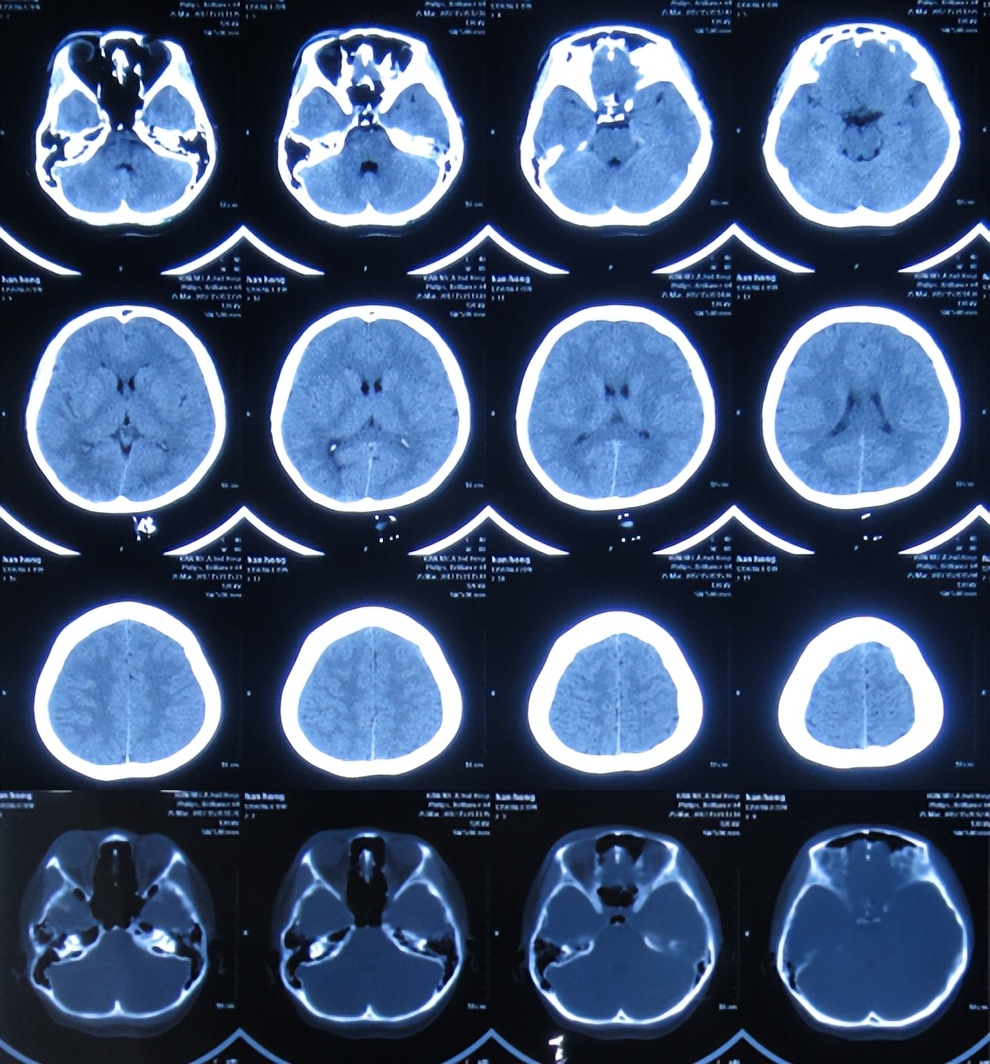
2017年4月2日(发病后13天),就诊于第2家的陕西省神木县某医院急诊外科,检查期间突发四肢软瘫、意识丧失、大小便*禁失**,查脑CT( 图-2 )后紧急收入ICU。

图-2: 2017年4月2日脑CT
行腰椎穿刺检查脑脊液常规:细胞高达1548×106 /L,淋巴细胞百分比56.8%,蛋白高达2266mg/l,糖1.15mmol/l,医院考虑结核性脑膜炎,家属当天晚上紧急将患者转至第3家的内蒙古的鄂尔多斯市某三甲医院。
入院时:意识不清加重12小时,头痛、呕吐、发热已10余天,给予经口气管内插管,呼吸机辅助呼吸;右眼外伤。腰椎穿刺检查测压大于330mmH2O,脑脊液化验:细胞总数1548×106 淋巴细胞百分比56.8%,蛋白1.6135g/l,糖1.65mmol/l。检查后考虑1、中枢性感染 化脓性脑膜炎?结核性脑膜炎?隐球菌性脑膜炎?。给予甘露醇降颅压,盐酸莫西沙星、美罗培南抗感染,给予异烟肼600mg/日,吡嗪酰胺0.5g/日,盐酸乙胺丁醇0.75g/日,利福平0.45g/日,甲泼尼龙琥珀酸钠40mg/bid,氟康唑0.4g/日,以及纠正酸中毒等治疗。
入院治疗3天后即2017年4月5日(发病后16天后),脑CT( 图-3 )后继续给予相关治疗。

图-3: 2017年4月5日脑CT
入院治疗4天后即2017年4月6日,脑脊液萋尼法抗酸染色(+)阳性,增加相关治疗。
入院治疗7天后即2017年4月9日,病情好转为:意识清醒,撤呼吸机,继续气管插管吸氧治疗。
入院治疗10天后即2017年4月11日,停用美罗培南,拔除气管内插管。
因病情好转,2017年4月18日(入院治疗16天),转入该医院的神经内科,此时神志清楚,能对答,四肢能活动;但体温每日间断升高1-2次,最高达38.4度,改为地塞米松10mg/日,继续异烟肼600mg/日,吡嗪酰胺0.5g/日,盐酸乙胺丁醇0.75g/日,利福平0.45g/日,加用左氧氟沙星抗感染治疗。
2017年4月25日(入院治疗23天),行腰椎穿刺测压150mmH2O,但脑脊液化验:细胞总数、单核细胞、蛋白、糖仍高。
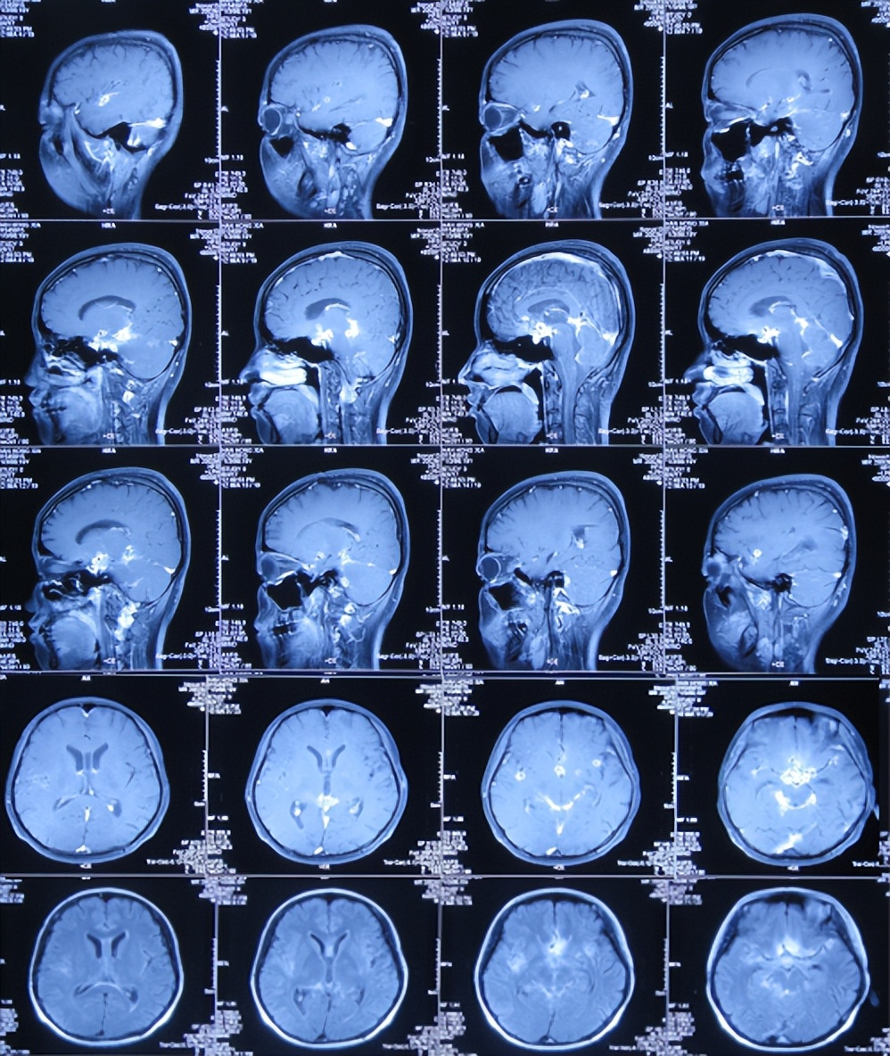
2017年4月26日(入院治疗24天),查脑增强核磁( 图-4 )后,继续给予相关抗感染治疗。

图-4: 2017年4月26日脑增强核磁
第3家医院继续治疗7天,因胸部CT示“左肺上叶尖后段及下叶背段病灶”( 图-5 );考虑结核病。

图-5: 2017年5月5日胸部CT
2017年5月5日(第3家医院治疗33天),为治疗结核病,转至第4家北京某胸科医院,入院时:神清,留置尿管,偶有呛咳症状,仍有发热症状,午后明显。
在胸科医院行腰椎穿刺测压>330mmHg,给予抗结核脱水降颅压治疗,椎管内给药3次/周。
2017年5月8日(第4家医院入院治疗3天),查颈髓核磁未见异常( 图-6 )。

图-6: 2017年5月8日颈髓核磁
2017年5月11日(第4家医院入院治疗6天),颅压降至185mmH2O,体温变正常,但左眼睑下垂无改善,出现头痛,查头颅CT示脑室扩张( 图-7 );考虑结核脑膜炎性脑积水。

图-7: 2017年5月11日脑CT
为求进一步治疗,家属经一位医生介绍转至北京的李小勇脑脊液科。
二、在李小勇脑脊液科治疗过程和结果
2017年5月18日(发病后59天内先后经4家医院治后仍不见好转),入院查体:体温38.5度,精神差,无法站立行走,自觉眩晕,头痛;左侧眼睛对光反射消失,右侧可视物重影。左眼睑、鼻部、下颌及左侧肢体感觉减退( 图-8 )。

图-8: 2017年5月18日入院时
入院时查脑CT示双侧外侧裂池、欢池、鞍上池狭窄,密度增高,第三、四脑室、双侧侧脑室增宽,考虑脑膜结核、结核瘤形成导致脑积水,颅内可疑多发结节状密度增高影;考虑结核可能( 图-9 ),肺片示有感染( 图-10 )。

图-9: 2017年5月18日脑CT

图-10: 2017年5月18日肺片
入院当天进行了侧脑室腹壁外引流术( 图-11 )。

图-11: 2017年5月18日术后脑CT
入院次天即2017年5月19日,体温仍高,引流出无色脑脊液但不清亮,眼睛睁闭眼变快( 图-12 )。

图-12: 2017年5月19日
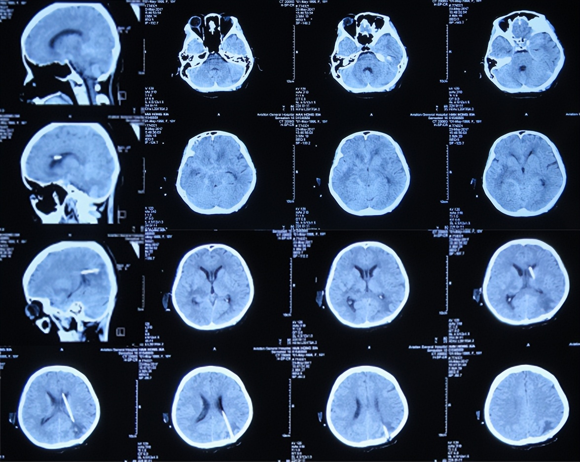
入院治疗5天即2017年5月23日,查脑CT示脑室缩小( 图-13 )。

图-13: 2017年5月23日脑CT
入院治疗12天即2017年5月30日,查脑CT示脑室进一步好转( 图-14 )。

图-14: 2017年5月30日脑CT
入院治疗15天即2017年6月2日,病情明显好转:头痛完全消失,体温变正常,变得能自己坐起能自己刷牙( 图-15 )。

图-15: 2017年6月2日
入院治疗26天即2017年6月13日,病情进一步改善:能自己走路但稍不稳,入院时肿胀的左眼变基本正常( 图-16 )。

图-16: 2017年6月13日
入院治疗33天即2017年6月20日,引流出的脑脊液变得清亮透明( 图-17 )。

图-17: 2017年6月20日
入院治疗77天即2017年8月3日,腰椎核磁示未见明显异常( 图-18 )。

图-18: 2017年8月3日腰椎核磁
入院治疗78天即2017年8月4日,查脑增强MRI示颅内多发结核脓肿,数量仍多( 图-19 ),继续给予相关治疗。

图-19: 2017年8月4日增强脑核磁
继续治疗2月余,颅内结核脓肿数量显著减少,脑脊液生化、常规未见明显禁忌后,于入院治疗151天即2017年10月16日,进行了脑室腹腔分流术( 图-20 )。

图-20: 2017年10月16日脑CT
2017年12月20日(入院治疗7个月)完全康复出院,出院时:神清语明,肢体活动正常,走路正常,出院时脑增强MRI颅内结核脓肿有显著减少( 图-21 )。

图-21: 2017年12月20日出院时
三、出院后随访
出院后近4个月即2018年4月12日来院复查,复查时:身体完全正常,已返回学校正常的学习和生活( 图-22 )。

图-22: 2018年4月12日
出院后10个月即2018年10月13日来院复查,复查时:身体变完全正常,脑增强核磁未见异常( 图-23 )。

图-23: 2018年10月13日
出院后3年半即2021年6月16日来院复查,复查时:身体一直很健康,已大学毕业参加工作( 图-24 )。

图-24: 2021年6月16日
(完)