内容提要
1
慢性硬膜下血肿(CSDH)常见易复发
2
脑部影像出现“新月”形态,基本可确诊为CSDH
3
引流+责任血管治疗,可标本兼治,制止复发
一、慢性硬膜下血肿,越来越常见
慢性硬膜下血肿(CSDH)其实很常见,其发生率约占颅内血肿的10%。慢性硬膜下血肿大多数是由头部创伤后数周(≥3周)引起或由积液转化而来,平均发病年龄为77岁;发病率约为14/10万-20.6/10万,随着人口老龄化,抗凝剂及抗血小板药物使用的增加,发病率逐年升高。
慢性硬膜下血肿,都是月亮惹的祸? 中秋刚过,月亮也开始慢慢地改变它的形态。慢性硬膜下血肿的形态非常有特征性,其形态如新月,见到脑内出现“新月”,基本上确定为本病无疑。

新月如钩
其发现多因逐渐加重出现的症状,如头痛、呕吐、淡漠、偏瘫、麻木、失语、记忆力下降、定向力障碍和智力迟钝等 ,追诉病史3周前多有外伤史。行CT扫描发现呈新月形或半月形高密度或等密度影。
但其发病机制却并不完全清楚,以下观点正在慢慢地被接受:1、急性硬膜下血肿转化而来。头部外伤导致桥静脉撕裂,形成血肿,引起炎症反应,形成特征性的易渗漏的血管“新膜”,从这些血管中渗漏的血液导致血肿扩大。这其中有吸收与出血之间的失衡;2、轻度创伤或者颅骨不对称造成的硬脑膜与蛛网膜之间的张力增加,最终导致脑脊液泄露,形成硬膜下积液。之后积液引起炎症反应,导致“新膜”形成,其外膜的脆性血管反复出血形成。

慢性硬膜下血肿形成机理
二、慢性硬膜下血肿复发率高达33%
慢性硬膜下血肿的传统治疗以保守治疗和手术钻孔引流治疗为主。保守治疗的有效率仅为3-18%,即便是钻孔引流治疗,其复发率也高达33%。
对于病情稳定,无明显神经系统症状,无脑室受压,血肿体积较小且中线偏移较小者,可以采用保守治疗。对于病情不稳定,存在神经系统症状,脑室受压,或血肿体积大于等于30ml,厚度大于等于10mm或中线偏移大于等于1cm者,应行手术治疗。手术方式主要包括内镜开颅术、钻孔引流术、开颅包膜切除术,其中以带闭式引流的钻孔引流最为常用。
钻孔引流手术是神经外科较简单的一种手术,常常是神经外科菜鸟们的启蒙之作。但其实医生面对本病并不轻松,只因复发率较高,复发率高达33%。有的甚至反复复发,成为折磨这一患者群体的难点。

经典的钻孔引流术
脑外伤因其原因相对单一,看起来处理也较简单,但事实并非如此,其预后并不明确。也许世界上没有一种疾病是简单的。
三、为什么慢性硬膜下血肿会反复发作?
以前经常有这样的例子,一名慢性硬膜下血肿经手术治疗后症状明显好转,数月之后又出现以前的症状又要来住院,“怎么你又住院了?”,一声问侯,一声叹息!
复发的根本原因是我们对其病因并没有完全了解,病因复杂;各种学说纷呈,有外伤血肿、硬脑膜内层炎性出血、桥静脉缓慢渗血和渗透压及半透膜学说等,但均未很好地解释其病理机制。
其实早在1857年Virchow 等就提出“硬脑膜炎性颅内出血”的假设,但人们并没有重视。近年来,随着电子显微镜的应用分子生物学的发展,慢性硬膜下血肿腔的局部炎性反应、局部纤溶亢进、外膜新生不成熟血管形成等机制逐渐被广大学者认识,针对血管的新治疗开始进入人们的视野。其中药物治疗以糖皮质激素、血管紧张素转化酶*制剂抑**ACEI、局部纤溶亢进和抗纤溶药物探索性应用较多,ACEI类药物和他汀类药物表现突出。多项研究表明,他汀治疗可以有效地阻止慢性硬膜下血肿的进展,并辅助钻孔引流术有效地减少术后复发。阿托伐他汀可改善CSDH患者的预后,降低术后复发率,这一点已在多项研究中被证实。
他汀除了降血脂作用,还可以抑制炎性细胞因子IL-6以及VEGF的表达,同时还有显著上调外周血内皮祖细胞(EPC)水平,并增加其粘附及迁移能力。阿托伐他汀治疗慢性硬膜下血肿的机制可能与抑制炎症反应以及动员EPC,进而修复损伤血管并促进新生血管成熟有关。看来对于慢性硬膜下血肿的复发,我们找到了一条正确的路,针对出血的责任血管--血管炎症途径。这样避免了以前传统手术治疗只针对血肿本身,对于出血的责任血管不能做到有效的干预,治“标”不治“本”的弊端。在这条针对责任血管的路上,我们还可以走得更远吗?

onyx胶
三、针对责任血管,制服复发?
当我们对一种疾病苦无好办法时,人们开始寻找新的方法。人们从血管的源头去寻找答案,似乎找到了一把新的钥匙。既然慢性硬膜下血肿是因为责任血管的慢性渗血,那针对责任血管的介入处理(闭塞)就应该有效。
大量证据表明脑膜中动脉(MMA)是慢性硬膜下血肿形成的主要供血血管,当人们缓慢、连续地把造影剂注射到MMA中时清晰地观察到MMA外周远端有“棉絮状”染色,这种毛细血管充盈外观与硬膜下血肿的膜形态相一致;对MMA的栓塞能治疗本病,减少复发吗?通过超选择性微导管到位,注射PVA或Onyx胶栓塞MMA未端血管可行吗?

脑膜中动脉栓塞术
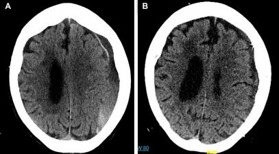
早期人们对达到手术标准的患者在钻孔引流术前或术后进行脑膜中动脉栓塞术,以减少术后复发,结果显示所有患者均没有复发;钻孔引流解决了占位效应,MMA栓塞解决了出血来源的问题,做到了“标本”兼治。后期人们对没有采用手术治疗的患者进行MMA栓塞治疗,已经出现的硬膜下血肿随着时间的推移会逐渐吸收,并可阻止血肿扩大。之后人们开始在更大范围内进行尝试,结果似乎还不错;最近的一项有关MMA栓塞治疗CSDH的meta分析显示MMA栓塞相对传统手术治疗具有明显的优势,MMA栓塞组的血肿复发率明显低于未栓塞组(2.1% VS 27.7% ,OR 0.563)。

栓塞术前术后对比
参考:
1、Fiorella D, Arthur AS.Middle meningeal artery embolization for the management of chronic subdural hematoma.J Neurointerv Surg. 2019 Sep;11(9):912-915.
2、Qiu S, Zhuo W, Sun C, Su Z, Yan A, Shen L.Effects of atorvastatin on chronic subdural hematoma: A systematic review.Medicine (Baltimore). 2017 Jun;96(26):e7290.

兴医中华 利民长远
神经介入资讯,神经介入最专业的平台