患者张**,男,55岁,因头晕、胸闷、乏力3天入院。
2008年1月1日无明显诱因出现头晕、胸闷,伴乏力、大汗,无心悸、胸痛、咳嗽、咯血,无恶心、呕吐。卧床休息,舌下含服速效救心丸后胸闷缓解,仍有头晕、乏力,但患者未进一步就诊。
既往史:高血压病10余年、冠心病 4年、2型糖尿病2年;半年前患者曾出现右脚踝红肿痛,行B超检查明确为右下肢静脉血栓,于门诊输液治疗好转。
我院急诊检查示:血常规无明显异常;DIC全套:PT 13s;FIB-C 286 mg/dl; FDP >20 ug/ml;D-dimer 1331.85ng/ml;心梗三项无异常。
查体:T36.7℃,P 80次/分,R 16次/分,BP 120/85mmHg,双肺呼吸音清,未闻及干湿罗音。心界不大,心率80次/分,律齐,未闻及病理性杂音及心包摩擦音。腹软,全腹无压痛、反跳痛、肌紧张,肝脾区叩痛(-)。双下肢髌骨上15cm周径均为40cm,左髌骨下10cm周径为35cm,右髌骨下10cm周径为36.5cm;四肢肌力V级,肌张力正常,双侧深感觉正常,双侧Babinski征(—)。
心电图:


头颅CT双侧基底节多发腔隙灶;双下肢静脉彩超示“右下肢股浅、膕静脉、胫腓干静脉、肌间静脉血栓”;
考虑为“右下肢静脉血栓”,给予尿激酶25万U静点Qd×2天,速避林0.6ml Q12h皮下注射。
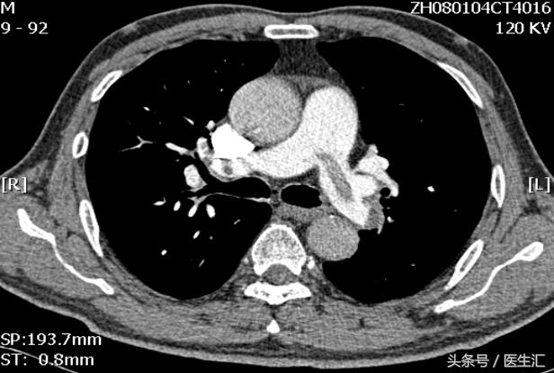
1日后肺血管急诊CT

床旁超声心动示:右肺动脉近段内探及大小约5.0×1.3cm大小的回声团块,随血流飘动;肺动脉增宽,右房和右室扩大;估测肺动脉收缩压70mmHg 。
治疗:1-4日 18∶00 予rT-PA(爱通立) 50mg溶栓;6小时后予肝素800u/hr泵入,监测aPTT 。