第四次全国口腔健康流行病学调查显示,12岁儿童恒牙龋患率为34.5%,比十年前上升了7.8个百分点。5岁儿童乳牙龋患率为70.9%,比十年前上升了5.8个百分点。农村高于城市。儿童患龋情况已呈现上升态势。
什么是奶瓶龋?
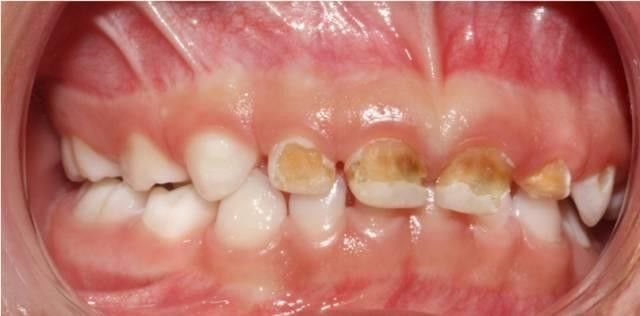
奶瓶龋最初在上颌乳切牙的唇面龈缘处出现白垩色斑点或带状脱矿,而后逐渐向下向旁边蔓延,侵蚀邻近的牙面形成环状龋,呈棕褐色,并最终发生牙冠折断,仅留下残根。

需要说明的是孩子牙齿脱矿,就需要使用护牙素,护牙素能够帮助重建牙釉质缺损失 ,降低牙本质敏感 ,为高龋齿风险和有特殊需要的人群提供专业牙齿保护,吞咽安全。

奶瓶龋的发生不仅使乳牙的切割功能大大降低,而且随着病变加重,会引起牙髓及牙根尖病变,这时孩子会感到剧烈疼痛或牙龈肿胀、流脓,严重的还会影响恒牙的发育。
让孩子抱着奶瓶,就去上床睡觉,几周,几个月下来就会这样,妈咪再不重视也不去医院治疗。。。

一旦因龋蚀严重无法治疗,而将乳牙过早拔除,就会引起恒牙萌出秩序错乱甚至恒牙不齐,给孩子的牙齿发育带来不良影响。因此,一旦发现孩子有奶瓶龋的迹象,应及早带孩子去医院诊治。
为预防龋齿,从宝宝1岁开始,就要逐渐减少使用奶瓶的次数,最晚不超过1岁半。戒断奶瓶时可改用鸭嘴杯代替,之后再过渡到水杯。
如何预防奶瓶龋
北京市口腔流行病学调查结果显示,本市儿童乳牙龋齿患病率高达71%,那么用什么方式来保护我们孩子的牙齿呢?
1.首先使幼儿戒除用奶瓶吸奶诱导入睡的习惯,如果在孩子睡觉时必须使用奶瓶,只用白水!
2.不要将牛奶、果汁或其他甜水如软饮料放入奶瓶,这些液体都含有蔗糖,会危害孩子的牙齿。
3.一周岁后停止使用奶瓶,可训练用杯子喝奶,喝完奶后可再给少量白开水。
4.让孩子养成喝白开水的习惯,以稀释口内及牙间隙残留的奶汁而起到清洁口腔的作用。
5.使用牙线清洁乳牙邻面,每日至少一次。
6.孩子长出第一颗乳牙后,就应开始为孩子刷牙。最好是饭后和睡觉前进行,每日至少两次。
7.三岁以下儿童也可用儿童含氟牙膏刷牙(重点是牙膏的量是米粒大小,这样程度的量即便吞咽下去也不会对孩子造成伤害。),三~六岁必须选用儿童含氟牙膏(牙膏用量是豌豆大小)。
8.控制幼儿每次使用奶瓶的时间,一般限在10~15分钟以内,千万不要让孩子含着奶瓶睡觉。
9.从孩子长出第一颗乳牙后开始,应每隔3个月就带孩子去医院检查一次牙齿。
10.六岁之前都应该由家长帮孩子刷牙。(那些幼儿园有龋齿的,并不是没有刷牙,而是没有认真仔细到位的刷牙,完全达不到刷牙的效果,所以尽管刷了,但还是龋了。)
对于宝宝蛀牙家长到底有哪些误区?
母乳喂养的宝宝绝对不会奶瓶龋
小孩不用刷牙,反正以后也是要换的。
不吃糖就不会蛀牙。
……
的确人这一辈子会长2次牙齿,20颗乳牙和32颗恒牙。
但是有多少人知道,蛀牙会从怀孕期就埋下种子?
▌宝宝长牙小规律●出生就有牙

怀孕6周左右胎儿开始发育牙齿,在孕5-10个月恒牙的牙胚开始发育。
所以宝宝出生后牙床上已经有乳牙的根了,虽然看着没牙齿只是还没有来得及冒出来。
●长牙慢≠发育慢

这是一种错误的观念,一般宝宝会在6-8个月左右长出第一颗牙,最晚会在2岁半的时候长齐20颗牙。
▌宝宝蛀牙危害

乳牙蛀牙会连累恒牙,使新长出来的恒牙或相邻的恒牙也容易患上龋齿。
还会造成恒牙萌出异常,从而产生恒牙咬合异常,影响食物消化吸收,甚至面部发育。
▌宝宝蛀牙的原因

●孕期营养摄入不足
怀孕6周左右胎儿牙齿开始发育,发育状况受妈妈在孕期的营养状况影响。
所以如果妈妈营养摄入不足,那么宝宝的牙齿就会钙化不足,3岁之前发生蛀牙的可能性就很大。
●宝宝喂养方式有误
无论是母乳还是奶粉都是富含糖分和碳水化合物的,这为蛀牙提供了环境。
一定要给孩子尽早断夜奶(8.9个月开始),因为在宝宝睡前或睡觉时喂奶,或者长期含着奶瓶或乳头,都容易造成宝宝奶瓶龋。
●牙齿清洁方式不正确
部分家长忽略宝宝牙齿清洁的重要性,或者清洁方式不当,都会造成宝宝蛀牙。
那么应该如何给宝宝清洁牙齿呢?
▌宝宝牙齿护理●出牙前(0-6个月)

◢清洁
一般专业牙医会建议婴儿长牙前就定期做口腔清洁,用纱布和指套牙刷等。
可是一般家庭都很难坚持,所以建议每次吃奶后喂点水清洁口腔。
◢牙胶
宝宝开始长牙,为了舒缓口腔异样,满足心理上的口欲期,建议家长备一个并定期清洁。
●长第一颗牙(6-12个月)

◢开始刷牙
从出第一颗牙开始就要刷牙,用婴儿的指套牙刷和儿童牙刷。
一定要培养孩子刷牙习惯,告诉孩子刷牙的重要性。
建议每天2次,午睡前也可以刷1次。
●牙齿长齐后(1-2岁半)

◢坚持刷牙
这一时期,家长要变着花样让宝宝坚持刷牙习惯。
比如多换几把牙刷,多买几个口味的儿童牙膏。
孩子一般在3岁左右才会主动吐水,所以给孩子准备的刷牙水喝的就好,牙膏也要是能吞咽的。
另外,家长一定让孩子适当地吃一些硬的食物。
练习咀嚼硬食不仅对牙齿发育有好处,还会影响孩子的语言发育。
▌正确的刷牙姿势
首先呢,要把牙膏均匀地涂抹在牙齿表层。
●巴氏刷牙法
牙刷和牙齿呈45°角,牙刷压进牙龈沟,轻轻用力,震颤几下,然后向下把东西都刷出来。

●旋转刷牙法
在牙面上打圈,可以按照一定的顺序来,不要忘了后牙的窝沟哦。

刷牙时间控制在大于2分钟每次。
家长要给宝宝准备含氟牙膏:三岁以内牙膏不超过米粒大小;三岁以上牙膏有黄豆大小即可。
一口好的乳牙能帮助食物的消化和吸收,保证宝贝生长发育所需营养,同时也为语言的学习打好基础。
可能刚开始刷牙时宝宝会不配合,但只要坚持下来。
宝宝就会养成刷牙习惯,就像每天洗脸、洗屁屁一样成为良好的卫生习惯。
孩子在不吃母乳后,大多数妈妈们还会挑选给孩子吃一段时间的奶粉,来补充养分。给孩子喂奶粉的时候,有时孩子会睡着,这时妈妈们会让孩子含着奶嘴睡着。其实,这样的做法会给孩子带来很大的伤害,这种做法是错误的。

慧慧家孩子快一岁了,前不久慧慧想着给孩子断掉母乳,于是就开始给孩子喂奶粉。每次孩子快要睡觉闹觉时,慧慧就会给孩子喂奶粉,孩子吃着吃着就睡着了。孩子睡着之后,也会一直含着奶嘴,慧慧只要一拿掉奶嘴,孩子就会哭。所以每次慧慧只好任由孩子含着奶嘴睡觉。

过了差不多3个月吧,这天,慧慧发现孩子的牙齿用手一碰就会坠落一些物质,刚开始坠落的仍是一些白色物质,后来直接掉的物质类似于矿物质,孩子张嘴一看,慧慧发现现已没有几颗好牙了。慧慧就带孩子去医院查看,医师说孩子这是患了奶瓶龋。这是由于孩子长期含奶嘴的原因。

奶瓶龋的发作与孩子长期含奶嘴休戚相关,所以,家长们,奶嘴对孩子的损害如此显著,今后不要让孩子含安慰奶嘴了,一旦孩子患了奶瓶龋,不单单影响孩子牙齿,严峻的话会影响孩子整个面部的发育,让原本心爱的宝宝发作颌面部畸形。