
(一)左心发育不良综合征
1.胚胎发生及病理分类 典型的左心发育不良综合征(HLHS)通常包括:左心发育不全、主动脉闭锁伴二尖瓣闭锁或严重狭窄。主动脉瓣和二尖瓣发育不良,但无狭窄或闭锁;左心室、左心室流出道、升主动脉及主动脉弓发育不良,伴或不伴主动脉缩窄称为左心发育不良组合,为轻型HLHS。HLHS的胚胎发生不是很明确,但可能与孕5~8周胚胎发育过程中异常的心内分流,如卵圆孔间径明显小于正常胎儿,导致左心血流灌注不足相关,可能与常染色体隐性遗传有关。
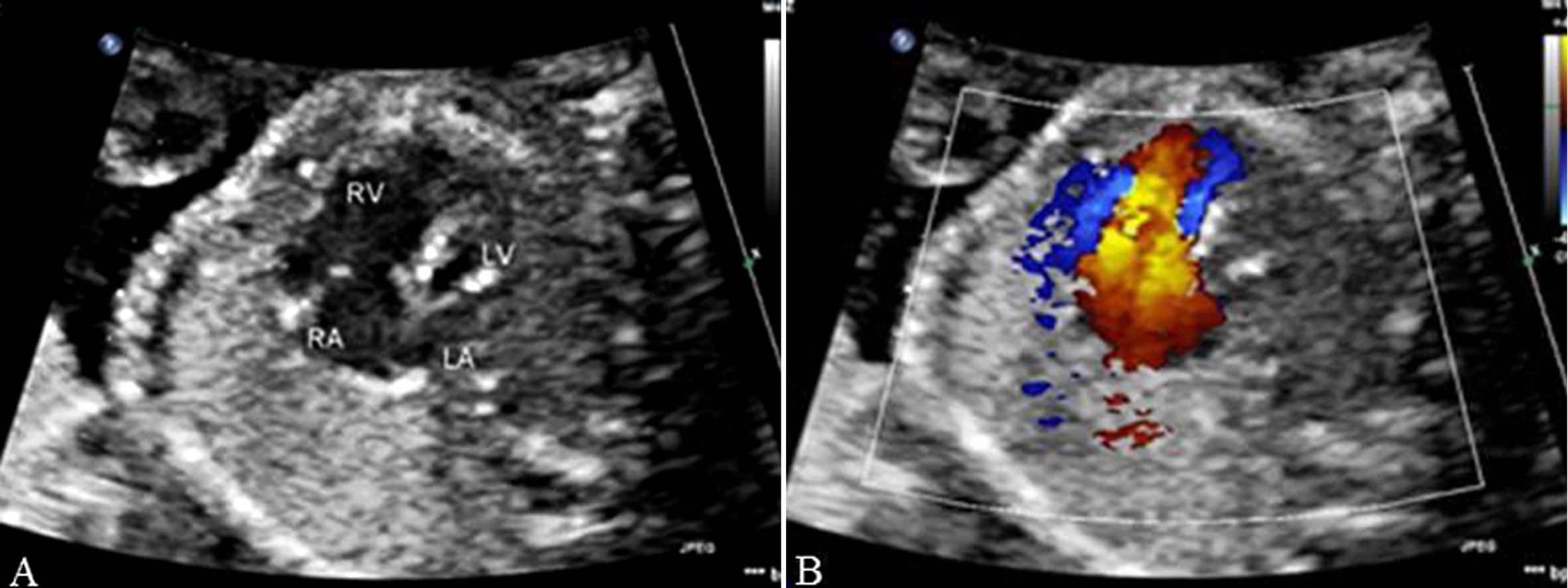
2. 超声诊断要点 二维超声显示左、右心室不对称,左心室明显小于右心室,心轴明显左偏;如伴有二尖瓣闭锁,则左心室内可不显示彩色多普勒血流信号(图1)。彩色多普勒超声检查三血管气管切面主动脉弓与动脉导管血流方向不一致,主动脉弓血流不是流向降主动脉,而是由动脉导管反流而来(图2)。

图1 胎儿左心发育不良综合征:LV<RV,心轴明显左偏

图2 胎儿左心发育不良综合征:三血管气管切面呈逆向血流信号
3.预后评价 少数孕早期诊断主动脉瓣狭窄的胎儿,可随孕周增加进展为HLHS。14%~18.9%的HLHS合并有染色体异常,该病的新生儿死亡率较高,手术治疗预后亦较差,如在有生机儿前诊断该病,可建议终止妊娠。
(二)右心发育不良(HYRV)
1.胚胎发生及病理分类 HYRV是指右心室腔狭小,但结构形成良好,肺动脉闭锁是其形成的主要原因,也被称为肺动脉闭锁合并室间隔完整。合并Ebstein畸形时,三尖瓣隔瓣和(或)后瓣下移将右心室分为两部分,上部分为房化右心室,下部分为功能右心室,也可致功能右心室容积变小、发育不良,但总的右心室大小是大于左心室。HYRV常伴有冠状动脉的解剖结构异常,及不同程度的三尖瓣反流或三尖瓣畸形。
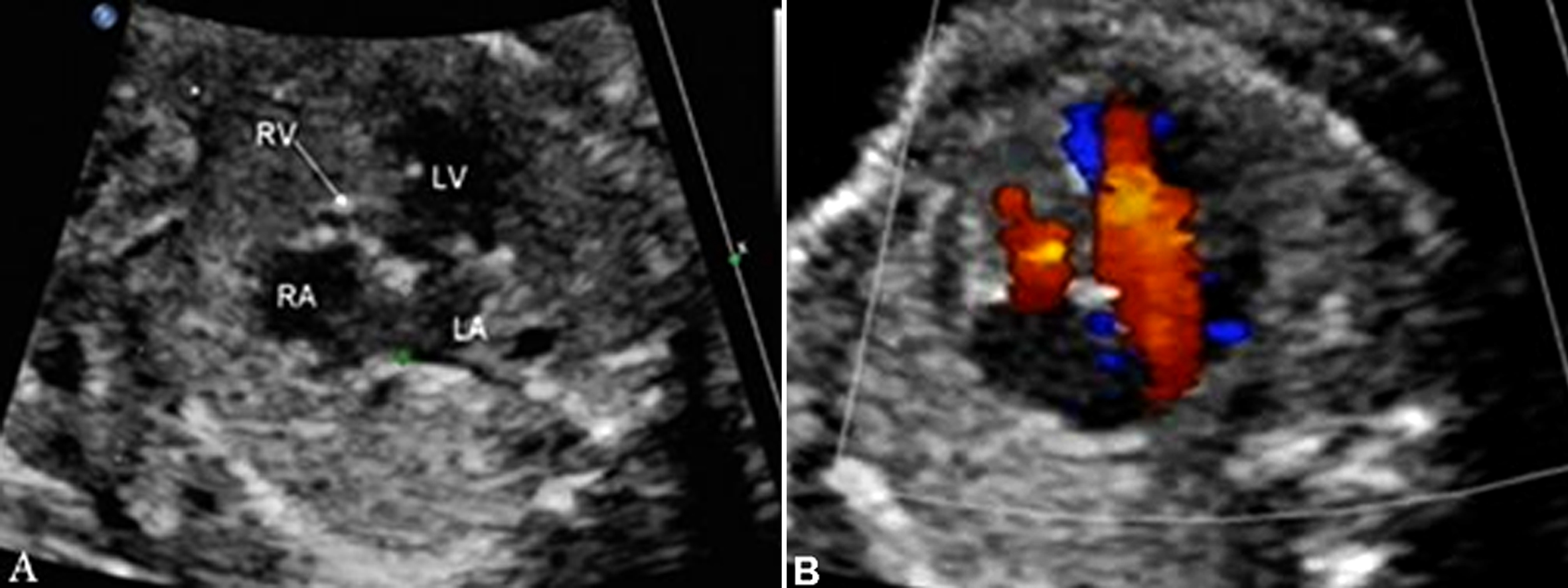
2. 超声诊断要点 二维超声显示左、右心室不对称,绝大多数右心室明显小于左心室(图3),少数也可正常大小或明显大于左心室;彩色多普勒超声检查三血管气管切面动脉导管与主动脉弓血流方向不一致,动脉导管内呈逆向血流(图4)。

图3 胎儿右心发育不良:左右心室不对称,RV<LV

图4 胎儿右心发育不良三血管气管切面动脉导管内呈逆向血流
3.预后评价 由于严重的三尖瓣反流,右心室发育不良的胎儿在宫内易发展为充血性心力衰竭。出生后,该病的新生儿死亡率及手术率较高,手术效果大多较差。在有生机儿前诊断该病,可建议终止妊娠。如果进行期待治疗,需监测胎儿有无水肿的发生,如发生胎儿水肿则预后差。
(三)单心室(UNH)
1.胚胎发生及病理分类 UNH的胚胎发生主要是原始心管心室段发育异常所致。原始心室的右端(右心室窦部)或左端(左心室窦部)或肌部室间隔发育不全都将形成单腔心室。UNH特点为心脏由一个大的主心腔接受全部或大部分(>75%)流入道血流,另有一个小的残余心腔接受少于一侧流入道50%的血流,或少于共同房室瓣25%的血流。根据主心腔的解剖性质可分为左室型、右室型及不定型UNH。解剖左心室偏后,心尖部小梁结构细,室隔面较光滑,而解剖右心室偏前,心尖部小梁结构粗,室隔面有隔缘肉柱。有时小梁结构既不像左心室,又不像右心室,且没有明显的残余心腔,称为不定型UNH。以左室型UNH最为常见。
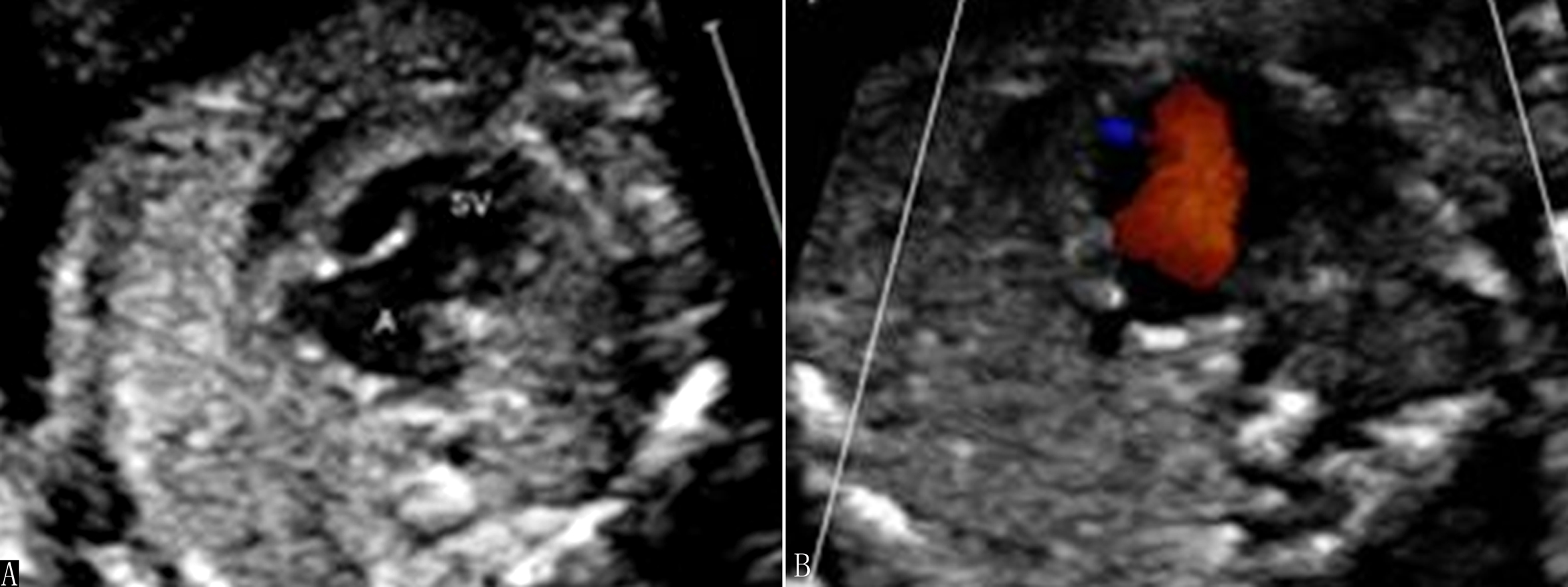
2.超声诊断要点 正常四腔心结构消失,心室腔只见一个明显的主心腔显示。完全性房间隔缺损合并巨大室间隔缺损者,心室腔仅残留少量室间隔组织,此时心室腔功能上只有一个,可称为功能性UNH。(图5)

图5 胎儿功能性单心房、单心室合并完全性房室间隔缺损
3.预后评价 UNH胎儿出生后只能行姑息性手术,手术效果较差,在有生机儿前诊断UNH异常,应建议终止妊娠。