
什么情况下你就要进行牙齿正畸了呢?

1
第一种
前牙移位,因为有牙齿缺失,导致相邻牙齿开始没有秩序的前突,经过矫正后是这样的~

2
第二种
前牙移位,因为有牙齿缺失,导致相邻牙齿开始没有秩序的左右移动,经过矫正后是这样的~

3
第三种
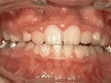
前牙移位,因为有牙齿缺失,导致相邻牙齿开始没有秩序的乱移动,经过矫正后是这样的~

4
第四种
牙列拥挤,牙槽骨过窄,牙齿没有足够空间,只好前后左右高低上下乱长,经过矫正后的牙齿是这样的~

5
第五种
开合,即使闭嘴,上下牙齿也不接触,留出空隙,经过矫正后的牙齿是这样的~

6
第六种
深覆合,咬牙时,上牙盖住下牙的部位过多,影响美观,经过矫正的牙齿是这样的~

7
第七种
牙列稀疏,牙槽骨过长,或者牙齿少,导致排列太宽松,零零散散,经过矫正后的是这样的~

8
第八种
前牙反合,俗称“地包天”,也就是咬牙时,下牙盖住上牙,正常情况应该是上牙盖住下牙,经过矫正后的牙齿可以变成这样的~

9
第九种
牙列稀疏,牙槽骨过长,或者牙齿少,光头强就是这类。导致排列太宽松,零零散散,经过矫正后的是这样的~

10
第十种
深覆盖,咬牙时,上牙差不多完全把下牙挡住了,黄飞鸿的弟子牙擦苏就是这类,经过矫正后的牙齿是这样的~

据调查显示,每年暑假都是学生群体矫正的高峰期,青少年比例占到了矫牙人群的80%。针对很多家长扎堆带孩子在暑期矫正的行为,也是基于暑假做牙齿矫正确实有很多便利。
1
时间充裕,暑期时间安排方便,没有平时担心耽误功课的困扰。
2
容易适应矫治器,不会影响孩子正常的生活和学习,选择在暑假做牙齿正畸更容易适应。
3
改善孩子的面部整体美观,增强孩子的自信心,使孩子更加自信地迎接新学期的到来。
牙套的种类:
金属托槽矫正

技术特点:
价格便宜,绝大多数人群都可以采用这种托槽来进行矫正。
材料优质,具有金属刚性及弹性,不易断裂变形。
舒适稳固,独特自然的弯曲程度,提供最大限度的接触面和舒适度。
矫正效果好,缩短复诊次数、治疗疗程,且性能基本达到使用要求。
传统矫正方法,历史悠久,价格低廉。
2美国3M自锁托槽矫正

适合人群:对舒适度和矫正时间要求高的人群
技术特点:
疗程缩短,通过计算机设计,使您的牙齿移动得更快,矫正时间更短。
佩戴舒适,平滑、模铸的边缘,提供更好的舒适度。
复诊次数少,自锁式设计使得治疗的时间大大缩短。
牙套易清洁,没有橡皮圈绑在牙齿上,牙套更易保持清洁。
2—3个月复诊一次,正畸疗程短。
3美国3M透明托槽矫正

技术特点:
性价比高,比隐形矫正更经济,比金属托槽矫正更美观。
舒适无痛,陶瓷矫治器表面光滑圆润,佩戴无明显异物感和粘。
隐形美观,玻璃陶瓷制作,呈乳白色半透明,与牙齿色泽一致。
方便快捷,佩戴舒适,拆卸方便,复诊次数减少,更节省时间。
透明、轻薄、美观、无异物感、正畸疗程短、佩戴更方便。
4透明隐形矫正

技术特点:
透明隐形,适合演艺界明星、教师等对形象要求高的爱美人士。
舒适无痛,没有传统托槽和钢丝装置,矫正过程舒适无痛。
摘带简便,自行摘戴,不影响进食、刷牙、社交等日常生活。
高效省时,矫正时间比传统矫正缩短了1/3,复诊次数更少。
薄如蝉翼、量身定制、厚度不足1mm,无异物感,被誉为牙齿的“隐形眼镜”。
所以
传统矫正和隐形矫正到底该如何选择呢?

说了那么多,
还是不知道怎么选?
那赶快来参加“全国丑牙救助计划”大型公益活动吧!该活动由各大媒体联合举办,现场免费CT口腔检查,并特聘北京口腔协会专家团现场义诊、国际齿科美学设计师免费设计方案。15、16日到院还能申请限时特惠援助,传统矫正低至4980元,全隐形矫正低至16800元(成人也能申请哟)。

都市热报系列报道之一
为了帮助全市问题牙读者朋友能够拥有一口整齐漂亮的牙齿 , 现在报名 “ 全 国丑牙救助计划”公益活动, 即可申请特惠援助!
“全国丑牙救助计划”受市民热捧!
▽
据活动发起人之一皇仕口腔透露,自各大媒体联合皇仕口腔举办“全国丑牙救助计划”公益活动以来,现场十分火爆!很多来自主城,甚至周边区县的市民都纷纷报名。
在活动现场,不仅有很多想趁着活动少花钱解决牙齿问题,还有孝顺子女为父母缺牙身体变差想改善的等等。
“孩子高考完了,怕难看牙齿影响以后,我先带她来矫正!”
“希望可以变漂亮一点把,不想是龅牙了!”
“太烦这个牙齿了,前男友就是嫌弃我的四环素牙和我分手的!”
“现在父母缺牙种好了,以后就能吃好的!”

△启动仪式上口腔医生合影

△活动现场火热
是时候,给你的牙齿来一场“变形记”!
▽
据统计,截止目前已有8300人报名,超6700人受益变美了!
口说无凭,当你看完他们整牙的前后对比图后,你会发现牙齿美学矫正修复是现代医学“神奇的发明之一”。
接下来就一起看看吧!
☟
案例一
张女 士(33岁) 牙齿不齐,牙齿形态过尖
经现场口腔CT检查,发现张女士不仅牙齿不齐,而且牙齿形态存在较大问题。有的过于凸出,有的内扣,在现场根据其口腔CT拍片分析其牙齿情况,为其量身定制了仿生冠2小时矫正修复——“不戴牙套”即刻矫正方案。

局部特写,整形前后对比照
张女士从诊室出来啦,对着镜头露出一口整齐洁白的牙齿。不得不说,看起来漂亮又知性,美丽了很多!
案例二
小王(16岁) 兔牙,门牙外凸

门牙龅牙,每次露齿笑的时候内心好忐忑,好怕别个用那种眼神看我,但是不想戴牙套....你懂得的!

看,这是我的牙套,隐形的哦~妈妈听说隐形牙套效果很好,就为我报名了。隐形牙套真的,超赞的,同学都不知道我戴了牙套,哈哈~

嘻嘻,看,龅牙不见了,以后可以大大方方的露齿笑了~
案例三

罗先生(32岁) 牙缝大,吃饭都塞牙,自觉恶心
“我牙齿又缺、牙缝又大,每次吃东西都不方便,我自己都很难受,很恶心,每次在外面吃饭,都要找地方剔牙,希望美牙以后可以变整齐没有牙缝。”来自北碚区的罗先生对现场说道。

看,罗先生牙齿没有缝了
“看我的牙缝没有了吧?牙齿也好整齐!就是好开心,好满意。”经过仿生冠2小时矫正修复美牙以后,看罗先生在现场激动地说道。
如果你和家人也有牙齿问题!
▽
温馨提示:如果您和家人有牙齿不齐、龅牙、稀疏、发黑发黄、四环素牙、龋齿、缺失牙等问题,可申请由皇仕口腔提供的北京口腔医学会专家义诊等福利。预约7月15-16日到院,儿童传统矫正最低4980元,成人传统矫正最低5980元,全隐形矫正最低仅需16800元,仅限7月15日、7月16日。
报名方式:
1、QQ报名:1351096401
2、微信报名:hskq6666
4、识别二维码,也可以快速报名哦
PS:请及时说明年龄和需要解决的牙齿问题哟~