忽然发现这几天来看牙的人,很多人牙齿上都有白斑,这是怎么回事呢?
听我给你说道说道!

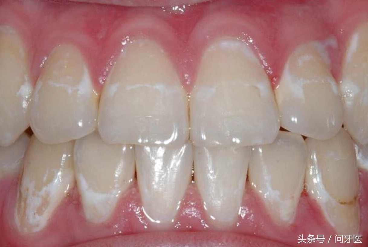
上图这种类型,叫做龋白斑,是牙釉质脱矿的表现。这是由于细菌附着在牙齿表面,分解出来的酸,使牙釉质脱矿。钙盐从牙釉质中减少,就形成了白垩色的斑块。
这就是蛀牙的前期征兆,慢慢发展下去白斑的地方就会掉块,形成蛀洞。可发生于多颗,也可局部单颗发生,主要发生在污垢细菌容易附着的地方。
这类龋白斑怎么办?
我们知道了原因,1、污垢细菌附着。2、牙齿是由于脱矿所致。
那么好好刷牙就能避免这类事情发生。如果发生了,也不是没有办法治疗的,方法很简单,轻微的可以让牙齿表面再矿化,到口腔科,做全口牙涂氟。也可以直接使用含氟牙膏。
以前常见还有一种龋白斑类型,即正畸龋白斑,就是牙齿矫正的后期发生龋白斑症状。现在很少见了,正畸医生都会提前给牙齿涂氟。

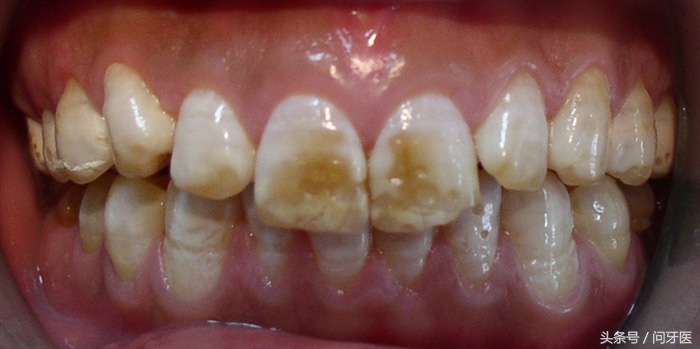
上图这种类型叫氟斑牙,也叫斑釉,是由于长期饮用含氟水。早期我国一些地方自来水放氟量偏高,长期饮用这种自来水,就是导致氟斑牙的根本原因。基本上我们能接触到的氟斑牙患者都在30岁左右了,95后很少见到。现在往自来水大量加氟的比较少见了。
这类氟斑牙,没有特别好的治疗办法,轻度的可以做冷光美白,能使牙齿整体白三个色阶,冷光美白并不能治愈氟斑牙,斑块还是有的,只是模糊白了。
中度重度的患者,可以考虑做超薄牙齿贴面。就是把牙齿档在里面,跟遮羞布一样。也能使面貌改变。但是这种技术费用三四万左右。一般需要贴面12-20颗左右。不是普通人能享受的。

一个有意思的事情:
大家有没有觉得,龋白斑治疗方法居然是用氟,使用氟过量了又会导致氟斑牙。你们不必过于担心,龋白斑的发生,是需要一定时间才会发生,而氟过量沉淀到牙齿也是经过长年累月才会如此的。
有龋白斑的同学,可以到牙科涂氟,也可以使用含氟牙膏。含氟牙膏没有一辈子用,什么东西都是物极必反。
而氟斑牙的同学,也别担心,现代牙科修复技术已经很完善,相信不久的将来牙齿贴面类产品会大幅度降低。目前可以考虑流体树脂涂布牙齿表面法,不过做的地方很少。有心找找,还是有的,你懂的。
本文原创稿件,翻版必究。
喜欢我的文章请关注我的微信订阅号(wenyayicom)或搜索【问牙医】