近期接诊了一位小腿骨折 (胫骨骨折) 的7岁男孩,在小区里被一个大孩子骑自行车撞倒了,虽有疼痛不适, 但过一会儿就能够继续玩耍,家长认为问题不大。 可到了晚上睡觉时,孩子说腿很疼,整晚睡得不安稳。第二天小腿还出现了轻微的肿胀,孩子不愿意下床, 到医院拍了X线片,医生诊断“胫骨骨折”。

看到这里,想必不少负责“溜娃”的家长心有余悸,这种“事故”现场究竟该怎么“验伤”呢,出现什么样的情况就要去医院呢?
儿童骨折为何这般“难以捉摸”?
大家可能很好奇,这位小朋友明明骨折了,“事故”发生后为什么还能继续玩耍?一方面,爱玩是孩子的 天性, 一点点疼痛可能并不妨碍孩子玩耍。直到夜深人静时,孩子才“专注”地疼。另一方面,骨折的表现确实存在 滞后性, “当时没肿起来”、“当时走路没问题”而一天后发现骨折的情况并不少见。且不说家长“验伤”能力有限, 哪怕第一时间送诊检查,也有可能查不出来。 因此,负责“溜娃”的家长心理压力别这么大。第一现场能做的事情是有限的,咱们尽可能先把“验伤”做好,这是第一件事。
第一件事:现场究竟如何“验伤”?
1. 先明确需立即就诊的情况
如果出现下面的情况,请立即送诊:
- 出现外观畸形;
- 明显的皮下淤血; (可能有轻微骨折或软组织损伤)
- 肢体肿胀,关节不能主动活动。 (可能有骨折)

明显皮下淤血

肢体肿胀
2. 观察孩子能否正常站立/慢走,能否拿物
外伤没那么糟时,家长可以引导孩子:
- 主动站立或者慢走; (下肢的主动活动)
- 抬手和拿东西。 (上肢的主动活动)
如果孩子能够主动活动,多半不需要即刻去医院处理,保持观察即可。
3. 进行压痛检查
开头案例中的孩子现场没事,第二天疼得下不了床于是送诊,如果家长在“事故现场”进行了压痛检查,那么检查结果对于医生来说会很有帮助。

家长可轻轻按压患处,按压双侧肢体进行对比,记下疼痛的区域,以及孩子对于疼痛的描述。 年龄小的孩子往往会哭闹不止,检查多半不配合,那么家长可以观察,按压某个区域时 哭闹是否明显加剧。 通过以上的步骤,如排除需立即就诊的情况, 接下来三到五天的严密观察也是很重要的,同时建议避免剧烈活动。 另外,家长还需明白一点,哪怕第一时间去医院也有可能发现不了问题。如“事故”涉及理赔纠纷,那么可参考车祸的处理—— 待“定损”完成后才好协商。
第二件事:回家后如何保持观察?
观察患处是否随着时间的推移,出现以下的情况请及时就诊:
- 肿胀
- 明显的淤血
- 活动受限
注:如果孩子表现出其他令家长担忧的不适,也请及时就诊。
“活动受限”除了可表现为孩子不肯下床,还可表现为 走路姿势发生变化, 如出现跛行、步态不稳。家长看到后可以 拍视频 记录下来,对于医生的评估也很有帮助。

可以这么记录
一般来说,发生在公园、小区里的这类“事故”,冲击力不会很大, 只要用心观察是否有异常,都不太容易落下后遗症, 因为后遗症通常由很严重的*力暴**机制引起。不过我遇到过一个小朋友,走路姿势不对劲很久了,父母一直没放在心上,带孩子来到门诊时, 骨折处已有大量的骨痂生长。 当时进行了石膏固定,1个月后骨折虽愈合良好,但由于跛行时间长了,小朋友异常的走路姿势又持续了好一段时间才恢复正常。如果受各种情况影响,孩子不方便去医院 (儿童医院或者综合医院的小儿骨科) ,那么家长可以附上现场的检查结果、后续的观察结果以及照片视频等资料问诊。
拍照: 记录受伤场景、受伤的部位,以及受伤部位的肿胀程度(可双侧对比)、皮下淤血情况。 录视频: 如上肢受伤,可记录主动被动活动情况;如下肢受伤,可拍摄行走视频(包括后侧和前侧的拍摄角度)。
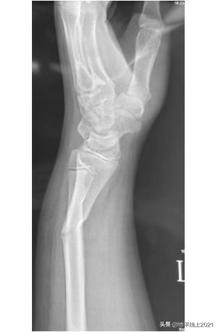
如果真的骨折了,要做手术吗? 儿童不是成人的缩小版,儿童有生长发育和自身的解剖特点——骨膜厚,塑形能力强,而且这类发生在公园和小区里的“事故”,情况通常不会太严重,家长不用太紧张。一提到骨折,许多家长会联想到“做手术”,其实可能 “打石膏” 就够了。下图是一位13岁的男孩,桡骨远端 (可简单理解为“手腕”) 骨折,成角畸形,有医生建议手术治疗,钢板固定。 我们推荐在局部麻醉下,牵引复位,用夹板固定,也取得了很好的效果。 只需一周复诊,调整夹板或者石膏。


注:并非所有的儿童骨折都适合牵引复位、石膏外固定,具体治疗方案需与您的医生共同协商利弊。
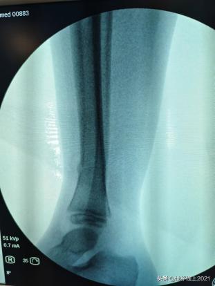
再看一个下肢的案例,同样是在麻醉下纠正,用一个管型树脂石膏固定。



这样的“意外”并不少见,如孩子无法及时就诊,或者需要第二诊疗建议,可考虑线上问诊小儿骨科。
小儿骨科接诊18岁及以下(骨骺没有闭合)的孩子,可接诊的问题包括:骨折、软组织损伤、发育畸形(脊柱侧弯、扁平足、髋关节发育不良等)、骨肿瘤、骨科罕见病等骨骼肌肉系统各类疾患。骨罕见病包括成骨不全、低磷性佝偻病、儿童股骨头坏死、马蹄内翻足、高弓足、垂直距骨、腓骨肌萎缩、遗传性多发骨软骨瘤病、先天性胫骨假关节、无痛无汗症、石骨症、高肩胛症等。
身边总有一个“打石膏”的孩子?
爱玩是娃的天性,反复锻炼父母的韧性。

本文作者:洪攀,华中科技大学同济医学院附属协和医院骨科医生