一、病历摘要
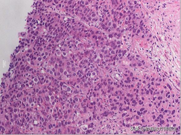
患者,男,68岁。于2013年11月出现排尿困难,伴尿流变细、尿频、尿急,夜尿次数增多,4~5次/晚。2014年2月因排尿困难进行性加重就诊我院泌尿外科,查PSA 11.27ng/ml,行盆腔MRI示前列腺大小约4.0cm×3.2cm×3.3cm,内外腺界限不清,信号不均匀,内可见结节样信号影,侵犯包膜。双侧盆壁可见淋巴结影,较大的范围约为1.8cm×1.5cm,DWI高信号,增强后可见环形强化。考虑前列腺癌,伴双侧盆腔淋巴结转移可能性大。全身骨扫描未见异常。2014年2月27日行前列腺穿刺活检病理提示(图1):左侧前列腺组织穿刺活检标本:低分化前列腺腺泡细胞癌,Gleason积分5+4=9;右侧前列腺组织穿刺活检标本:前列腺腺泡细胞癌,Gleason积分3+5=8。

图1 2014-2-26 前列腺穿刺活检病理
【既往史】无特殊病史。
【临床诊断】前列腺癌(T3N1M0,Ⅳ期,高危)。
【治疗过程】
一、去势手术:2014年3月6日行双侧*丸睾**切除术。
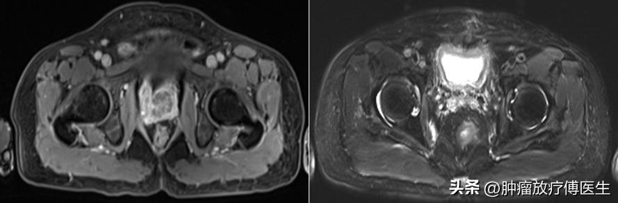
二、调强放疗联合内分泌治疗:2014年4月4日在我科行前列腺癌根治性调强适形放射治疗(图2、3),考虑患者出现淋巴结转移,故给予大范围照射,靶区包括前列腺及双侧精囊,肿瘤照射剂量72Gy/2Gy/36F,盆腔转移淋巴结,肿瘤照射剂量60Gy/2Gy/30f,盆腔淋巴结引流区,肿瘤照射剂量54Gy/1.8Gy/30W。放射治疗同时给予“比卡鲁胺50mg口服1次/日”内分泌治疗。放射治疗结束复查PSA 0.02ng/ml,睾酮<10ng/dl,提示放射治疗有效。
三、随访:2015年4月复查PSA均<0.003ng/ml。2016年6月复查PSA<0.079 ng/ml,睾酮42.85 ng/dl,2017年5月复查PSA<0.04 ng/ml,睾酮37ng/dl,2017年9月12日复查PSA<0.004 ng/ml,睾酮27ng/dl,2018年10月24日复查PSA<0.004 ng/ml,睾酮26ng/dl。提示病情稳定。放射治疗后随访(图4)至今未出现排尿困难、尿频、尿急;无大便次数增多、便血等放射治疗不良反应。目前患者精神状态良好、坚持行走等体育活动,生活质量高,热心公益事业,心态好。

图2 放射治疗前后盆腔MRI对比(左:放疗前2014-2 ;右:放疗后2014-06)

图4 放疗后定期复查随访盆腔MRI(左:2015-12 ;中:2017-09;右:2018-10)
二、病例分析
(1)患者明确诊断为前列腺癌(T3N1M0,Ⅳ期,高危组),根据盆腔磁共振提示肿块侵犯前列腺包膜,因此T分期为T3;高危因素Gleason积分=9。根据NCCN指南对于淋巴结转移的患者可选择放射治疗联合全雄激素阻断内分泌治疗或单纯全雄激素阻断内分泌治疗,该患者行双侧*丸睾**切除术去势治疗,术后给予比卡鲁胺内分泌治疗,并选择根治性放射治疗,不良反应轻,可耐受,有效控制病情。
(2)盆腔淋巴结是前列腺癌播散的常见部位。不同于骨骼、肺和肝等远处脏器转移,盆腔淋巴结转移的前列腺癌仍然归类为区域性病变,介于局限性和远处播散性病变之间,此类患者是临床上治疗较为棘手的病例,也是诊治指南中争议较多的病例。此类病例最好在治疗前进行多学科诊疗(MDT)讨论。以往随机对照研究证实局部晚期前列腺癌应当在内分泌治疗基础上加用局部治疗。但是,针对盆腔淋巴结转移性前列腺癌的临床数据不多,2015年,美国国立癌症数据库资料中,5年总体生存率数据内分泌治疗加用局部放射治疗组为71.5%,较单纯内分泌治疗组的53.2%有显著提高。
(3)放射治疗与内分泌治疗的结合可提高局限性中高危前列腺癌的疗效:越来越多的证据表明,放射治疗与4~6个月的新辅助和辅助内分泌治疗的结合可提高局限性中危前列腺癌的无生化复发生存率,降低远处转移率,并提高肿瘤特异性生存率,放射治疗联合2~3年的新辅助及辅助内分泌治疗可提高局限性高危前列腺癌的局部控制率、长期生存率以及降低前列腺癌的进展风险,但放射治疗联合新辅助及辅助内分泌治疗并不能进一步提高局限性低危前列腺癌的疗效。多个随机对照研究结果表明,局部晚期前列腺癌放射治疗加内分泌治疗疗效明显优于单纯内分泌治疗。
参考资料
摘自傅志超、程惠华主编《前列腺癌病例精解》,科学技术文献出版社,2020年5月。