舍近求远,最终达到目标!不幸又幸运!---女,48岁,右上肺癌伴双肺及纵隔淋巴结广泛转移,无法手术及放疗,身体和经济上难以承受化疗,靶向药是唯一希望。穿刺活检的目的是为了肺癌病理分型和靶向药基因检测。不幸中的万幸,患者穿刺活检肿瘤组织行基因检测有EGFR基因突变,属于服用靶向药效果很好的突变基因之一,相关敏感靶向药能很好的延长患者寿命并身体能耐受,提高生存质量,还能医保报销,经济上可承受!这就是肺穿刺活检的意义。EGFR 基因突变是指 EGFR 基因序列发生改变而导致基因活性出现异常,从而引起疾病发生和进展。 EGFR 基因中文全称为表皮生长因子受体基因,该基因突变最常见于非小细胞肺癌患者,尤其是腺癌患者。肺腺癌患者 EGFR 基因突变常见的位点主要位于该基因酪氨酸激酶区第18-21外显子,突变的结果是导致正常细胞生物学特性发生改变,从而产生癌症。临床上针对 EGFR 基因突变的小分子*制剂抑**,例如吉非替尼、厄洛替尼、奥希替尼等,可抑制该基因突变的活性,从而杀死癌细胞,达到治疗癌症的目的。针对 EGFR 基因突变的小分子*制剂抑**明显改善了肺癌的治疗效果,延长了患者的生存期,成为非小细胞肺癌治疗领域的重大突破,是有该基因突变肺腺癌患者的生命之光!

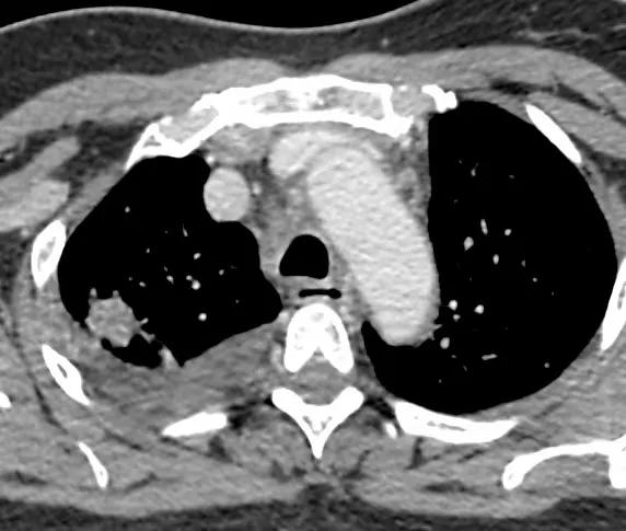
术前CT示右上肺分叶状结节伴双肺多发小结节,考虑右上肺癌伴双肺转移

术前增强,结节小,约2.0cm。

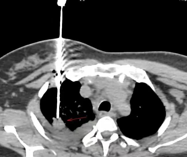
术中定位,俯卧位CT显示右上肺结节被后肋遮挡,无穿刺路径。

改用仰卧位,从前胸壁穿刺有穿刺路径

穿中结节,到边缘即可,这样可取材整个结节穿刺方向上的组织。

矢状位重建图像,穿刺深度较深,10cm。

穿刺活检病理确诊肺腺癌

活检取材基因检测提示有EGFR基因突变,对多种靶向药敏感。