引言
本案讲述的这位老年男性患者,是因头晕、呕吐、发热在神经内科就诊,诊疗过程中排查胸部CT时发现双肺少许炎症。然而,经过抗感染治疗后,肺部病灶不但未吸收反倒出现进展,症状加重至无法下床行走。这个影像学表现轻微的肺炎为何治疗效果如此不佳?他会是中枢神经系统疾病吗?或者是隐藏着某种特殊病原体?还是某种非感染性疾病作祟?……
临床中,可能我们会遇到非常多类似的案例,看似十分普通寻常的疾病,由于患者的个体情况差异可能导致情况突然变得棘手,这位患者在诊治过程中还出现了肝损、低蛋白血症、电解质紊乱,若不能尽快探明真凶,他极有可能进展为重症甚至危及生命。面对与影像学表现不相符的临床症状和抗感染治疗的失败,疑案追踪到最后才揭开谜团,回顾整个探案过程,一条本可以早发现的重要线索竟成关键突破口,它本可能大大缩短诊断的求因过程!
皮质下动脉硬化性脑病、脑多发缺血、腔隙性梗塞灶,肝内钙化灶……高龄让他多种疾病集中暴发?乏力、头晕不能缓解与多年饮酒有关?
患者是一位71岁的男性,去年6月份,在没有明确诱因的情况下出现头晕、乏力症状,行走时步态不稳,需人搀扶,同时还伴有恶心、呕吐现象。出现这些症状,患者家属很快就想到了是否脑血管问题,遂带着患者首先来到当地A医院神经内科就诊。接诊医生给予头颅CT检查,提示为 「皮质下动脉硬化性脑病」 ,其余未见明显异常。按常理讲,七旬老人发生脑血管方面疾病并不罕见,患者家属并未多想,接受了神经内科医生给予的对症支持治疗方案,然而治疗后,患者的症状未见好转,并于次日开始出现 高烧,体温最高39℃,伴畏寒、腹泻,解水样便。 患者无鼻塞、流涕、咽痛,无咳嗽、咳痰、胸闷、气促等症状。
思考题: 因患者高龄且严重不适,次日送至当地B医院(A医院的上级医院)就诊,如果您是接诊医师,结合患者临床表现和就诊经历,首先会考虑哪个系统疾病?
B医院接诊医师根据患者发热、呕吐、腹泻等症状,与头颅CT表现不符,考虑需明确有无消化系统相关疾病,遂完善腹部CT,仅显示 肝、肾囊性灶,肝内钙化灶 ,血常规:WBC 12.22×10^9/L,N 82.3%。接诊医生给予了头孢菌素经验性抗感染及止吐、止泻等对症支持治疗2天。治疗后,患者体温降至正常,但乏力、头晕症状始终不能缓解,精神疲软,并且已经无法下床行走。
思考题: 患者目前体温降至正常,腹泻控制,但头晕加重,无法下床,家属又将患者辗转送至我院,如果您是接诊医师,您会考虑完善哪些检查协助诊断?
我院接诊医师考虑到患者是以神经系统症状为主要临床表现,首先需要进一步明确他有无颅内病变,遂完善头颅MRI检查。结果显示 「脑多发缺血、腔隙性梗塞灶」 。复查血常规:WBC 5.6×10^9/L,N 69%;血生化检验显示:谷丙转氨酶93U/L,白蛋白 25.0g/L,钾 3.41mmol/L,钠 129mmol/L。
鉴于患者经门急诊治疗头晕、乏力症状未得到缓解,并且出现了低蛋白血症、低钾低钠血症及肝功能异常,一般情况差。2021年6月23日,将患者收入我院神经内科病房住院治疗。
查既往史:患者有糖尿病病史2年,口服二甲双胍,不经常监测血糖;有高血压病史10余年,最高170/95mmHg,服用缬沙坦控制,血压控制良好;否认其它既往史。查个人史: 患者有饮酒嗜好40年,每天饮黄酒1.5斤 ,1年前戒酒;无吸烟嗜好。婚育史、家族史无特殊。
检查后排除中枢神经相关疾病,是周围神经病变吗?患者入院前就曾发生高烧,现又再次发生高烧,「矛头」立即转向肺部感染性疾病
患者此前的种种表现似乎都在提示着医生,这就是一个中枢神经相关疾病。但猜测归猜测,患者入院后立即完善所有检查项目。入院时体格检查:体温36.7℃,脉搏 72次/分,呼吸 18次/分,血压130/80mmHg,神志清楚,呼吸平稳,两肺呼吸音清,无干湿性啰音,心率90次/分,心律齐,腹部无压痛、反跳痛及肌紧张,双下肢无水肿。神经系统检查:神志清楚。言语流利,精神萎软,定向力、理解力、记忆力、计算力正常。颅神经相关检查均无异常。肌力5级,肌张力正常,四肢腱反射未引出,病理征阴性,宽基步态。
辅助检查:
入院前2021年6月19日查血常规:WBC 12.22×10^9/L↑,N 82.3%↑,余正常;上腹部CT:肝内钙化灶及囊性灶,左肾囊性灶;头颅CT:皮质下动脉硬化性脑病;心电图:窦性心动过速、频发房性早搏。
2021年6月21日查血常规:WBC 5.6×10^9/L,N 69%,RBC 4.17×10^12/L,Hb 129g/L,CRP 3.68mg/L。血生化:总胆红素 13.4umol/L,白蛋白25g/L↓,葡萄糖 10.3mmol/L,钾 3.41mmol/L↓,钠 131mmol/L↓。
入院后2021年6月24日查血常规:WBC 6.5x10^9/L、N 68.7%、Hb 135g/L、Plt 200×10^9/L。CRP 270.30mg/L↑。PCT 0.475ng/m。IL6 149.4pg/mL↑。血培养 未见细菌生长;细菌内毒素 <5pg/ml,真菌D-葡聚糖检测 <31.25pg/ml。
常规生化:丙氨酸氨基转移酶:146U/L↑、天门冬氨酸氨基转移酶:173U/L↑、葡萄糖:9.9mmol/L、尿酸:114umol/L、钠:126mmol/L↓、氯:92mmol/L、钙:2.05mmol/L、磷:0.38mmol/L。
出凝血功能:INR 1.21、PT活动度 69.9%、活化部分凝血活酶时间 42.3S、纤维蛋白原 8.67g/L、D-二聚体 2.17ug/ml、FDP:11.4mg/L。
肿瘤免疫:NSE:33.8ug/L↑、CA125:44.61U/m1↑,CEA、CYFRA211、AFP、CA199、SCC均正常。
思考题: 参考病史以及以上辅助检查,您考虑患者疾病性质为何?倾向于感染性疾病?还是恶性肿瘤?还是风湿免疫相关疾病?还是电解质紊乱所致?
神经内科医生也一时无法确定病因,因此对其入院时的初步诊断为:1.乏力原因待查;2.肝功能不全;3.电解质紊乱:低钾、低钠血症;4.低蛋白血症;5.高血压病2级,很高危;6.2型糖尿病。
思考题: 为进一步明确,又对患者行腰穿、脑积液常规、生化等检查均未见异常,如果你是主诊医师,现阶段考虑患者为何种疾病?
结合头颅MR结果和脑脊液检查,排除了中枢神经相关疾病,考虑为周围神经病。予以营养神经、纠正电解质紊乱、补充白蛋白、护肝、控制血糖等治疗。患者体温已降至正常数日,正在医生们已经忘记了既往发热,不再考虑感染性疾病时,患者突然再次出现高烧,体温升至40℃(图1),比入院前第一次高烧还严重。

图1:体温单:入院后体温变化
神经内科医生分析:患者以神经系统症状起病,并出现发热,经抗感染治疗一度体温降至正常,但入院后再次出现高热,虽无呼吸道症状,但仍需要排除肺部感染性疾病。
于是完善了胸片检查,结果显示:左肺中野条片状高密度影,左肋膈角变钝(图2)。

图2:左肺中野条片状高密度影,左肋膈角变钝。
胸部CT示双肺少许炎症,明确为肺炎,抗感染治疗后体温降至正常但很快又再次高烧,肺炎和胸腔积液均出现进展
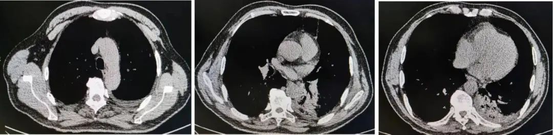
从排除中枢神经相关疾病,考虑周围神经病,再到怀疑肺部感染,进而得到验证,整个过程还算顺利,判断比较及时,未耽搁太多时间。既然「矛头」现已明确转向呼吸系统疾病,为了进一步明确患者的肺部病变,转入我科后立即对患者行胸部CT检查(图3)。

图3:胸部CT:双肺炎症,左侧为主,左侧胸腔少量积液,伴局部肺不张,心包少量积液。
根据影像学结果更正诊断为:1.社区获得性肺炎 两侧;2.周围神经病;3.低蛋白血症;4.2型糖尿病;5.高血压病2级,很高危。至此,患者肺炎诊断明确,给予头孢他啶、左氧氟沙星抗感染治疗。2天后,患者体温降至正常,乏力、头晕症状较前有好转。

图4:体温单:抗感染治疗后体温变化
体温降至正常数天后,患者症状逐渐缓解,血常规未见白细胞升高,病情似乎再一次得到了控制。正当医生和患者松了一口气之时,又一个插曲出现了——常规复查肝功能显示ALT升至154U/L,较前明显升高,医生分析肝损加重首先考虑药物性所致,停用多种药物,抗生素仅保留头孢他啶单药抗感染。正在医疗工作有条不紊的进行时,患者再次于住院期间出现发热(图5),乏力症状明显,无法站立,同时再次出现头晕、恶心症状。

图5:体温单:患者再次发热。
为了解肺炎影像学变化情况,我们复查了胸部CT(图6、图7)。


图6:6月24日胸部CT

图7:7月6日复查胸部CT,显示双肺炎症、双侧胸腔积液较前进展。
看似明朗化的诊断又陷入困境,为何总是反复高烧?多种病因皆有可能,从何入手厘清头绪?哪种疾病可能性最大?
这样的诊治过程让我们也意识到这个肺炎不简单,每次治疗都看似有效,蹊跷的是高烧反复来袭,给之前的治疗无疑当头一棒。是判断失误吗?看似明朗化的诊断又陷入了困境。为什么患者总是反复高烧?这成为悬而未解的一个问号。多种病因皆有可能,又该从何入手来厘清头绪?
这个患者反复发热,胸部CT提示病灶进展,结合其病史及诊疗经过,团队考虑他可能存在以下几种情况造成治疗效果不佳:
一、病原体耐药: 社区获得性肺炎以肺炎链球菌、流感嗜血杆菌等感染多见,对于二代头孢、大环内酯类耐药多见。该患者为老年人,又有糖尿病史,因此不排除三代头孢耐药可能性;
二、特殊感染。 我们能想到的病原体有以下这些:
1、结核杆菌:肺结核也可呈现与肺炎相类似的影像学表现,患者左氧氟沙星治疗后体温降至正常,停药后再次出现发热,影像学提示肺部病灶进展,同时合并胸腔积液,因此不排除结核杆菌感染;
2、真菌:患者有糖尿病史,免疫低下,为真菌易感人群,经抗感染治疗病情仍与反复,因此也不能排除是真菌性肺炎;
3、肺炎支原体、衣原体:患者高热,咳痰症状不明显,胸部CT显示双肺炎症,入院后多次查血常规白细胞无升高,因此肺炎支原体、衣原体感染也不能排除;
4、病毒:病毒感染可表现为单纯高热而无呼吸道症状,但病毒感染往往进展较快,抗生素治疗无效,此患者虽然起初抗菌治疗有效,但反复出现高热。会不会他同时又合并病毒感染呢?
三、菌血症: 患者发热反复出现,有糖尿病史,免疫力相对低下,虽然一度血培养未见细菌生长,我们认为仍不能排除血流感染可能;
四、院内感染: 虽然经抗感染治疗后患者症状缓解,但一直处于医院环境,不排除存在二次院内感染可能;
五、非感染性疾病: 肺部非感染性疾病有时误诊肺炎,抗感染治疗效果差,因此我们又想到了以下疾病:
1、肺粘液腺癌也可以表现为与肺炎类似的影像学,也可表现为发热,临床实践过程及文献报道均有误诊先例;
2、肺栓塞也可以出现类似肺炎的梗死灶,临床上可以出现发热,此患者为老年人,又有糖尿病病史,为肺栓塞高危人群;
3、机化性肺炎可与社区获得性肺炎表现为异病同影,也可由感染诱发,糖皮质激素治疗效果好,而抗感染治疗效果差。
千头万绪的诊断思路瞬间引起了团队的大讨论,大家都有自己的见解,但最后我们根据患者 「起病急、进展快」 的特点,以及临床症状和影像学表现,整合了意见,认为在上述所有可能的病因当中, 感染性疾病的可能性最大,并且首先要考虑特殊病原体感染或院内二次感染。 那么,当前最应该做的是什么?就是尽快明确病原学,这是下一步治疗的关键。可是,患者始终无咳痰,我们无法留取气道分泌物标本进行相关病原学检测,又鉴于患者在病程中消耗明显,已经出现了明显的低蛋白血症和电解质紊乱、肝功能受损以及心功能异常,这时患者发展为重症的风险已经很大。我们复查血炎性指标后,立即给予了胸腔穿刺行胸腔积液相关检查,结果如下:
2021年7月9日:血检验:真菌D葡聚糖检测 390pg/ml↑,半乳甘露聚糖试验 阴性;隐球菌乳胶凝集试验 阴性;血沉 75mm/h↑;结核感染T细胞检测阴性。
胸水常规:外观 黄色微浑,比重 量少未测出,李凡特试验 弱阳性,红细胞计数 4000x10^6/L,白细胞计数 2805x10^6/L,中性分叶核 3%,淋巴细胞 89%,单核细胞 8%;胸水生化:总蛋白 42.1g/L,乳酸脱氢酶 198U/L,腺苷脱氨酶 20U/L。 至此,团队予以调整抗生素为莫西沙星抗感染治疗。
抗感染依然不乐观,患者反复高烧十分受苦,须尽快找准病因阻止老人步入重症深渊……重新梳理追加检测终出结果,该案教训是什么?
调整方案为莫西沙星抗感染治疗有用吗?没有。患者仍然高烧反反复复,体温最高39.5℃,这让老人十分受苦,家属也焦急万分。这时,我们参考TSPOT、胸水腺苷脱氨酶等相关检查,认为结核感染的可能性应该排除。
思考题: 患者真菌D葡聚糖检测阳性,并且有糖尿病史,会是真菌性肺炎吗?
同样,我团队也在思考这个问题,会不会是真菌性肺炎?再次梳理回顾本案特点,老年男性患者,以头晕、行走不稳伴发热起病,经完善头颅MR、脑脊液等相关检查排除中枢神经系统疾病,影像学提示肺炎,经积极抗感染治疗后出现病情进展。对于这样一位已经出现肝损、低蛋白血症、电解质紊乱的老年患者,我们知道,如果不能尽快地明确病原学,他极有可能马上进展为重症肺炎,从而危及生命。破案迫在眉睫,究竟是什么病原体感染?考虑到患者无痰,无法取得呼吸道分泌物,我们完善了电子支气管镜行肺泡灌洗进行病原学检查。气管镜检查见下图(图8):


图8:电子支气管检查各级支气管未见异常
气管镜检查未见异常,肺泡灌洗液检查情况又如何?见下图(图9):

图9:肺泡灌洗液相关病原学检查结果
思考题: 至此,肺泡灌洗液病原学检测出白色念珠菌、米氏链球菌、肺炎链球菌、铜绿假单胞菌、鹦鹉热衣原体,面对众多微生物,我们该如何分析?结果是否验证了先前真菌性肺炎的判断呢?
对病原学检查结果进行分析:尽管肺泡灌洗液真菌培养和宏基因组测序提示了白色念珠菌、米氏链球菌、肺炎链球菌、铜绿假单胞菌感染,但结合临床,团队对上述病原体做了逐一分析如下:
1、白色念珠菌: 患者虽然有糖尿病,但胸部CT表现并非典型真菌感染影像,并且抗生素治疗后体温一度降至正常,考虑真菌感染可能性较小;
2、链球菌及铜绿假单胞菌: 我们所应用的头孢他啶、左氧氟沙星等都已经覆盖相应病原体,一度治疗有效,因此上述两种细菌感染可能存在,但并非现阶段主要致病病原体;
3、鹦鹉热衣原体: 鹦鹉热衣原体这时才引起了我们的注意,追问患者职业,发现患者为园林工人,主要工作为修剪花草树木,可以间接接触到鸟类羽毛、分泌物及粪便等排泄物,且接触的机会较多。患者临床症状以发热为主,无咳痰,血常规中白细胞恢复正常后仍持续发热。至此, 考虑鹦鹉热衣原体为现阶段肺炎的致病真凶。
病原学治疗:给予多西环素100mg 2/日 口服,次日开始,患者的体温迅速降至正常(图10),头晕、乏力等症状得到缓解。

图10:多西环素抗感染治疗后体温降至正常。
疑案追踪至此谜团方才揭开,但回顾整个探案过程,在患者入院的第一时间,就应当仔细询问患者病史、职业史以及生活环境,若能在第一时间知道患者为园林工人,接触鸟类羽毛、分泌物及粪便等排泄物机会较多,就可能大大缩短诊断的求因过程。因此,这不失为一个深刻教训。
随访胸部CT肺炎较前明显吸收……它可以导致出现神经系统症状,可表现为小脑共济失调、颅神经麻痹及格林巴利综合症等
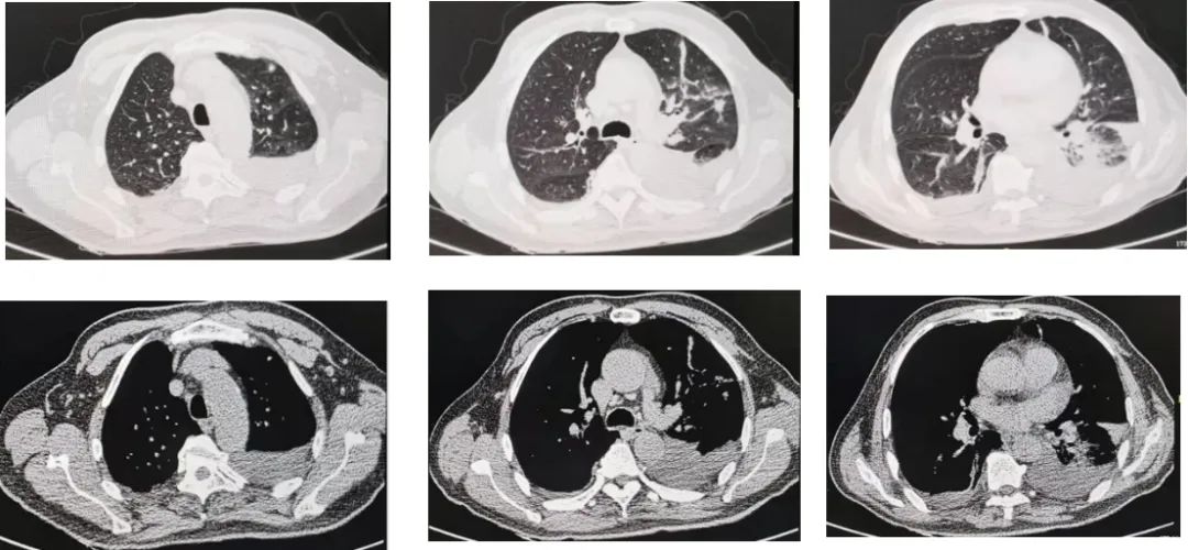
多西环素治疗2周后,患者未再出现发热症状,无头晕、乏力、呕吐等症状,一般情况良好。为了解肺部炎症吸收情况,我们复查了胸部CT(图11、图12):

图11:7月6日胸部CT。

图12:7月19日胸部CT,多西环素治疗后随访,肺炎较前明显吸收。
总结
本例患者为园林工人,接触鸟类机会多,以神经系统症状及发热为主要表现,无呼吸道症状,影像学显示两侧肺炎,头孢菌素及喹诺酮类抗感染效果不佳,经肺泡灌洗液宏基因组二代测序诊断鹦鹉热衣原体肺炎,多西环素治疗有效。
鹦鹉热是一种人畜共患的传染病,由鹦鹉热衣原体引起,潜伏期5-14天。鹦鹉热衣原体肺炎临床罕见,早期确诊困难,病情进展迅速。如未及时诊断病予针对性治疗,极易引发多器官功能障碍,短时间内转为危重症,病死率较高。
该病临床表现几乎均有发热,部分病例可以出现神经系统症状,可表现为小脑共济失调、颅神经麻痹及格林巴利综合症等[1]。呼吸系统可出现包括肺炎、急性呼吸窘迫综合征、呼吸衰竭和脓毒性休克的临床表现。还可以累及心肌炎、心包炎、心内膜炎和主动脉炎。累及肝肾时出现肝肾功能不全的临床表现[2~4]。
诊断可参考美国疾控中心指南,符合以下任意一项标准即可诊断:1、从呼吸道分泌物中分离出致病菌;2、通过补体结合试验或微量免疫荧光检测间隔2周采集的血清样本之间的抗体滴度增加4倍或更多;3、免疫荧光检测单一IgM抗体滴度1:16或更高。
随着宏基因组二代测序技术的普及,应用该技术诊断鹦鹉热衣原体的病例逐年增多,使得在早期诊断方面起到了关键作用,在很大程度上避免了患者发展为危重症,提高了治愈率[5]。
治疗首选四环素类,可选择大环内酯类,喹诺酮类。治疗疗程为热退后10-14天。预后取决于严重程度、合并症等。
参考文献
[1]刘芳, 苑少欣, 李显庭, 郑波, 熊辉. 9例聚集性鹦鹉热肺炎临床和流行病学特征. 中华医院感染学杂志. 2021. 31(16): 2462-2466.
[2]汪洋, 鲁厚清, 邵仁德, 汪文杰. 鹦鹉热衣原体感染肺炎患者的临床特征分析. 中华危重病急救医学. 2020. 32(11): 1388-1390.
[3]文文, 谷雷, 赵立维等. 鹦鹉热衣原体肺炎八例临床特征分析及其诊治. 中华结核和呼吸杂志. 2021. 44(06): 531-536.
[4]朱榕生, 罗汝斌, 王选锭. 鹦鹉热衣原体致重症社区获得性肺炎一例. 中华结核和呼吸杂志. 2019. 42(7): 548-551.
[5]陈蓉, 陈虹, 周敏, 过依. 二代测序诊断鹦鹉热衣原体血流感染二例. 中华结核和呼吸杂志. 2020. 43(09): 796-798.
专家介绍

唐昊
上海长征医院(海军军医大学第二附属医院)呼吸与危重症医学科主任,中华医学会呼吸病学分会 9/10届青委会委员,中国医师协会呼吸医师分会青年委员,上海市医学会呼吸病学分会委员兼哮喘学组副组长,上海市医学会变态反应分会委员,上海市医师协会呼吸医师分会委员,上海市优秀学术带头人,上海市曙光学者,上海市浦江人才,上海市青年科技启明星,上海市卫生系统“新优青”,主持国家自然科学基金4项,第一作者/通讯作者发表SCI论文20余篇,IF>10分3篇,累计影响因子95分。

方正
上海长征医院(海军军医大学第二附属医院),副主任医师、副教授。上海市医学会呼吸分会委员,上海市医学会呼吸分会感染学组委员,上海市黄浦区专家组成员。医疗特长:肺癌的综合诊治、肺部疑难和危重感染的诊治、支气管镜的介入治疗、胸膜疾病的内科胸腔镜的诊治等。

齐广生
上海长征医院呼吸与危重症医学科,副主任医师,副教授。医疗专长:擅长肺癌的精准治疗、肺部阴影的鉴别诊断、慢性咳嗽以及呼吸内镜介入、内科胸腔镜技术的应用以及鼾症的诊治。
本文完
采写编辑:冬雪凝;责编:Jerry