“蓝瘦,香菇,真的不知道该怎么说,我才21岁,很年轻,可是却满口蛀牙,感觉吃东西和碰撞都会断。只怪小时候嗜甜如命,没好好管理自己的牙齿,现在只能被动的等待被判死刑,感觉 整个人生都是灰暗的,也注定要为这口牙奔波花钱了,想不开”,小杨说道。
像小杨这样的情况(蛀牙),在生活中很普遍,很多人都受过蛀牙的折磨。所以在说如何解决蛀牙前有必要了解蛀牙是怎么来的。
为什么会有蛀牙这东西?
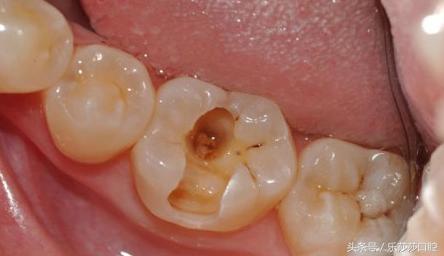
牙齿被蛀,不是因为有虫子,「罪魁祸首」还是我们口腔中的「细菌」。我们的口腔中有成千上万的细菌,目前有名有姓的细菌就有七百多种。其中有几种细菌,会把我们口腔中未清除干净的「食物残渣」消化成「酸性」的物质。当这些酸性物质聚集在牙齿的表面,很就容易把牙齿表面的「钙质」给破坏了。水滴石穿,直到一定程度的时候,牙齿表面就被逐渐「腐蚀」,形成一个洞,这就是「蛀牙」啦。

蛀牙形成四要素:
简单地来说,蛀牙 = 细菌 + 宿主+时间+口腔卫生环境。
1.、细菌:「细菌」是蛀牙发病的必要条件,一般两种类型的细菌,产酸菌属和革兰阳性球菌。
2、宿主:宿主就是我们的牙齿,它的结构形态,矿化程度等影响“蛀牙”的发生。
3、 时间:一个蛀洞,从开始到形成很大(患者能自己发现时)大约要经过2~3年。
4 、口腔环境:就是指的牙齿所处的环境,影响最大的是食物和唾液。吃糖,为细菌提供了代谢所需的能量。唾液有以下作用:①机械清洗作用;②抑菌作用;③抗酸作用;④抗溶作用,唾液的质和量不好了,这些作用就减弱了,细菌的作用就占了优势(打不赢敌人了,好可怕。)
或者你可以么理解,我们口腔里面本来是有恒河沙数多的细菌的,在「和平时期」,大家相安无事,偶尔有两个混混捣乱,「牙刷,牙膏,牙线」会把它们依法处置。如果牙刷牙膏牙线「玩忽职守」,没有尽责,就给致病的「混混们」可乘之机,尤其是你还不断的给它们提供「糖」作为粮草的话,你的牙齿就遭殃了,你的牙齿天生质量好还可以多撑一会,如果是「豆腐渣工程」,混混们就在你的牙齿里面定居,大量「繁衍后代」,并且一路攻城拔寨,杀到你的「牙神经」,这下完了,该牙痛了。
满口蛀牙怎么办?
轻度蛀牙:
如果是浅龋,只是窝沟有变色还没有洞形成,也没有什么症状,可以先「观察」的,如果牙齿有洞形成,有感觉,那就需要「补牙」或者「治疗」。
中度蛀牙:
中度蛀牙的时候,病菌已经抵达「牙本质层」了,对酸甜食物较「敏感」,治疗方法就是补牙填充,洞底已接近牙髓的,需要在洞底加一层护髓剂再填充, 充填材料主要用银汞合金或复合充填树脂。
重度蛀牙:
如果洞很深烂到神经,产生剧烈疼痛,那就要「根管治疗」了,根管治疗后最好戴个「牙冠」。牙齿补好后,一定要仔细刷牙,补牙不是说牙齿不会烂了,只要仔细刷牙,龋齿 就不会严重,定期口腔检查,发现龋齿就早点补。
PS:如果牙齿被蛀的已经没有任何保留价值的,而且还会经常发炎,疼痛,需要将蛀牙拔除,如果是对咀嚼影响较大的牙齿,拔除后必须重新镶牙。
蛀牙如何预防?
1、少吃甜食,早晚正确刷牙,饭后漱口。
2、选用含氟牙膏,使用含氟牙膏是一种安全有效,简便、经济的防龋方法。
3、如果你唾液酸性浓度高,就需要改善饮食习惯,(注意平时少食酸甜食物,避免油腻食物过多的饮食,多食碱性食品)
4、如果你的牙齿颌面,窝沟过深。可以做窝沟封闭。(针对成人也是可以做窝沟封闭的)
5、找牙医作定期检查。 每年至少到牙医处作一次牙齿健康检查,并洁牙一次。
最后,小编只想说,认识一个牙医多么的重要,欢迎关注乐莎莎/lesasa-com来骚扰我。