
继德国微波消融手术周上广受好评后,赛诺微携Dophi™ M150E微波消融系统来到西班牙和葡萄牙,在两国的3家知名医院进行了4例微波消融手术。西葡两国医疗市场大、水平高,根据近年发布的EHCI(欧洲医疗体系消费者指数)排行榜,两国都位居前列。那么,本次赛诺微产品的临床表现又如何呢?

第一天,我们来到西班牙托莱多医院(Toledo Hospital)。该医院位于马德里附近著名古城托莱多,为西班牙著名的综合性医院。我们在该医院的肿瘤放射介入中心开展了一例肾脏微波消融手术。
肿瘤位于肾脏,直径为2cm。主刀医生在CT的引导下,使用赛诺微SS-MWA-1531C微波天线进行单针消融(75w,10min),术后形成一个非常接近球形的直径为3cm的消融区域。整个消融过程很顺利,Dophi™ M150E微波消融系统在术中表现出来良好的可控性。手术结束后,医生边看术后影像资料边对我们说道,“赛诺微Dophi™ M150E微波消融系统表现出很好的可控性和精准性!消融后,病灶周围的血管等组织保存完好。”

术中影像资料
一般来说,射频消融等热消融方式容易受热沉效应影响而导致消融效果不可控。而与其他热消融方式相比,微波消融受热沉效应影响较小。赛诺微Dophi™ M150E微波消融系统,拥有全球领先的反相位专利技术和业界最高的能量精度控制技术(±5%),可有效保证电磁场能量的稳定发射,从而使得消融更可控、更精准、更安全。比如,在进行肾脏肿瘤消融后,肾脏的集尿管路和重要血管可以得到很好的保护。

第二天,我们来到西班牙巴尔德莫罗的大学附属医院(Hospital Universitario Infanta Elena),在该医院进行了一例微波肝脏消融手术。

术中影像资料
肿瘤位于肝脏,直径为1.5cm。主刀医生使用赛诺微SS-MWA-1531C微波天线对肿瘤进行了单针消融(75w,5min)。“你可以看到,微波天线在X光透视下,针体轮廓非常清晰,显影非常好”,主刀医生指着影像图片对我们说道。手术顺利完成后,医生向我们表示他对Dophi™ M150E微波消融系统的临床表现和消融结果非常满意。“Dophi™ M150E微波消融系统的表现完全超出我的预期!它非常可控,非常精准,手术非常成功!”
本次主刀的医生为西班牙著名的介入放射专家。他不仅在肝脏消融领域颇有经验,也长期致力于肺部肿瘤的消融治疗。

赛诺微经支气管柔性微波天线
因此,当他听说我们不仅拥有硬性微波天线,同时拥有经支气管镜柔性微波天线时,他非常兴奋。“使用微波消融治疗肺小结节是一种非常好的方式,我非常期待赛诺微柔性微波天线的上市!”赛诺微经支气管柔性微波消融天线,可以通过支气管镜,治疗支气管腔内及毗邻支气管腔的肺小结节。赛诺微致力于为早期肺癌患者提供完整的解决方案。

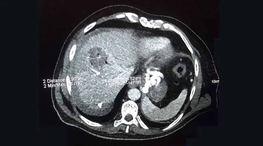
第三天,我们从西班牙飞往葡萄牙,来到库里卡布拉尔医院(Hospital Curry Cabral)。该医院成立于1906年,历史悠久,隶属里斯本大学医院,为全葡顶尖的医院之一。
当天,我们在该医院进行了两例肝脏微波消融手术。主刀医生为Elia Coimbra教授。她是葡萄牙介入放射领域的资深专家,培养了众多该领域的青年专家。

术中影像资料
两例肝脏消融中,其中一例的肿瘤大小 为2.5cm×2.7cm。主刀医生使用赛诺微SS-MWA-1531C微波天线,单针消融十分钟(100w,10min)。得益于Elia Coimbra教授专业的经皮穿刺技术以及Dophi™ M150E微波消融系统安全可靠的性能,手术成功完成。尤其是赛诺微微波消融天线的全天线(水冷直至针尖)水冷设计,精准的能量输出能力,让微波消融克服了市面常规微波设备不可控的技术弊端,完成了对于肿瘤的精准消融。

Elia Coimbra教授团队与赛诺微合影
另外,Elia Coimbra教授向我们表示,“赛诺微的微波消融天线,使用手感非常好,穿刺力度适中。手柄的每一个角度都具有非常好的握持感,用起来轻松舒服!”