新型冠状病毒的到来,让各大药房口罩迅速脱销,让全国人民在家里闭门不出,让医护人员奔赴前线不日不夜的工作.....来自各行各业的人们,都在以不同的方式付出、支持着这场攻坚战。几乎所有人都在为一个目标奋斗:彻底打败这该死的病毒。

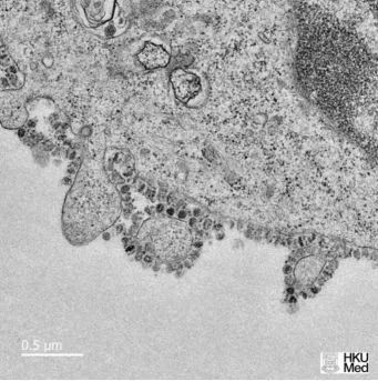
香港大学电子显微镜图像显示了在细胞中生长的新型冠状病毒
狡猾的新型冠状病毒
新型冠状病毒感染的肺炎从一开始就来袭汹汹,甚至一度大有“道高一尺,魔高一丈”之势。一个多月以来,疫情的复杂变化让我们认识到这次新型冠状病毒前所未有的狡猾,虽然它在致死率上远低于埃博拉病毒、MERS、SARS,但是在传播能力和传染方式上达到了前所未有的新高度。
2月11日,一个中外合作团队在medRxiv网站上发表预印本论文《2019年新型冠状病毒在中国暴发的传染病学和临床特征》通过对近9000个病例的分析指出新冠肺炎病死率为3.06%,远低于严重急性呼吸综合征(SARS,9.2%)和中东呼吸综合征(MERS,34.4%),而基本传染数R0达到3.77。
基本传染数R0是评估疾病传染性的重要指标,SARS-CoV-2的R0达到3.77,也就是说,平均每个受感染的人能将这种病毒传染给3.77个人。这远高于先前的同类评估。
而且病毒潜伏期的长短,也是影响疾病传染能力的重要因素。流感病毒的潜伏期多在1~4天,而新型冠状病毒却更加复杂。基于125名接触史明确的患者,该研究团队推算新冠肺炎潜伏期中位数为4.75天。作为对比,钟南山团队2月9日发表的预印本论文认为潜伏期中位数为3.0 天。潜伏期越长,对早期的诊断与隔离的挑战越大。
在传染方式上,已经确定的是,新型冠状病毒的传播途径包括直接传播(也称飞沫传播)和接触传播,虽然目前证据仍不充分,但有能进行气溶胶传播和粪口传播的嫌疑。

13日,钟南山团队在患者粪便检出新冠活病毒
因此有人说这次的冠状病毒,就像总结了前辈所有的成功经验,并揣着《孙子兵法》来的。


随着现代医学的发展,特别是细菌学和免疫学的创立,人类战胜了许多恶疾,也逐步通过科学研究掌握了一些新兴传染病的抗疫主动权。病毒不会消失,科学永远是我们守护生命的利器。
在这场新冠肺炎阻击战中,科研和医疗一样都是前线,需要科研人员勇挑重担、敢于担当,把研究精力全部投入到各项攻关任务上来。从病原体研究、基因组测序,到药物试验、疫苗开发,“战疫”是一场人类与病毒的较量,也是一场科研与时间的赛跑。很大程度上,相关科研攻关的进展,直接决定着我们与胜利的距离。
面对新型冠状病毒肺炎疫情,目前全国开展了科研“战疫”,不仅是国家科技部,多个省市科技部门牵头召集攻关疫情的科研项目。

除夕,奔波多日的84岁的钟南山院士,一大早回到广州医科大学附属第一医院,继续忙碌着。

李兰娟院士带领她的团队,与来自浙江、四川、辽宁等援鄂医疗队的医护人员一起,共同商讨诊疗方案。
新型冠状病毒引发的疫情仍在蔓延,仅在湖北省疾病已经造成超过5万人感染,死亡人数也超过1000人。一些研究成果陆续得出,以及湖北省外地区确诊病例数量连续多日下降降,治愈出院人数不断增长等好消息,给我们带来了信心和希望。

武汉市金银潭医院院长:患者康复后体内含抗体,恳请康复患者捐赠血浆
但基于现实形势,我们仍然不能轻敌,还要进一步加大科研攻关力度,以期提高收治率和治愈率、降低感染率和病死率。因此,科研战线的紧张程度丝毫不亚于危重症诊室。我们也坚信科研和医疗前线的人员以及我们的政府会带领我们打赢这场疫情防控阻击战!

目前疫情持续了近二个月,对国家,对我们的影响方方面面、大大小小不可估量,没有人可以置身事外,做一个旁观者、局外人。
近日,CIS科研项目收到了一份来自一名武汉大学大三学生的项目申请,当被问到未来最感兴趣的专业方向及想要做的事时,他说看到全国医务人员的付出,看到平凡肉躯在病毒面前的无助,燃起了内心想要通过科研力量为这个社会作出贡献的决心。因此,他想要申请的专业方向从一开始的纯CS改为了计算生物学。

武汉大学学生CIS科研项目申请书截图
这位同学的回答令人动容。越是困难的时期越是能激发出人内心的勇敢与力量。疫情当前,前线科研人员全力以赴奋斗攻关,我们后方的青少年学生相信科学、好好学习,听从建议,多防护、少添乱,就是对一线的最好支持。如果能受到感召,积极投入科研,树立起社会使命感和责任感,则是更加了不起的了。
值此非常时期,我们都要耐心一点,尽量少出门,甚至不出门。CIS科研项目陪你共克时艰,即使足不出户,照样科研不误。

● 项目说明
本课程将介绍哺乳动物免疫系统的基本组成及其功能。主题将包括先天和后天免疫系统的基本特征,免疫系统的多样化,抗原的呈现,T细胞,B细胞和免疫效应的功能,最后将概述免疫功能和功能障碍的健康和疾病。

● 项目说明
本项目将探讨大分子结构和功能原理所涉及的机制。将深入了解蛋白质在细胞分子功能中的作用。为了扩展对蛋白质的基本认识,将调查三个研究领域:
1) T细胞是免疫系统的重要细胞,保护人体免受免疫缺陷、1型糖尿病、系统性红斑狼疮、类风湿关节炎等疾病的侵袭。了解这些细胞内通讯网络的细胞内结构,为了解其功能失调的病理后果提供了基础,并为设计治疗干预措施提供了机会。
2)研究小分子毒物如何在分子水平上影响人类健康。
3)探讨如何通过中医的分子研究来研究人类疾病。
● 教授讲座
Arthur Salomon-淋巴细胞免疫功能研究

● 项目说明
课程将提供对过去和当前使能治疗剂发现和开发的方法的调查。将详细描述包括药物结构,药物机理和药物递送在内的主题。包括讲座,课堂讨论和学生的课堂演讲。将涵盖化学,生物学和医学界的广泛主题。
成功完成本课程后,学生将理解并能够解释以下内容:主要药物(小分子和生物制剂)的结构和机制。氨基酸、蛋白质、核酸、碳水化合物、脂肪酸、酶辅因子和其他生物分子的结构和反应性。有机分子中主要*能官**团的命名、结构和活性。用于阐明生物大分子和低分子量有机化合物结构的方法。目前用于深入搜索生物学和化学文献的计算工具。
● 教授讲座
Jason Sello-制药工业中的化学分子结构分析与鉴别

● 项目说明
该课程将整合基于文献和解决问题的方法,强调通过创造性思维解决问题。学习目标:学习像(创意)科学家那样思考,了解先进技术和研究(科学与新技术工具的发展齐头并进)。
第一部分核心课程旨在教授科学思维。将利用现代生物学的一些主要发现来学习科学思维和实验设计。包含三个模块:DNA复制机制;DNA序列分析;“双链RNA干扰”引发的基因沉默。第二部分 团队研究项目课程学生将分成4个小组研究特定4个主题:组蛋白脱乙酰酶与癌症(基础);阿尔茨海默氏病-淀粉样前体蛋白的作用是什么?(基础)基因,神经元和自闭症(高级)麻醉和意识(高级)。最后部分是课程作业和评估。

● 项目说明
本课程主要介绍分子生物学。课程分为四章:1.序列比对;2.组合模式匹配;3.进化树;4.机器学习方法—隐马尔科夫模型。每一章都专门讨论一类与DNA、RNA和蛋白质序列分析及其分子生物学功能相关的基本计算问题。每一章中的旅程都是由一组最美丽的算法驱动的。这里的“美丽”算法是指一种严谨、实用和有用的算法。除了精美的算法外,每章还包含一个基础部分,详细介绍了所讨论的生物学问题以及理论计算机科学和统计结果,这些结果促成了解决建模生物学问题的算法的发明。
更多项目详情,敬请访问CIS官网。
全民战“疫”,胜利可期!
没有一个冬天不可逾越,
没有一个春天不会来临。
