1个癌症患者,7个肿瘤和1480亿个免疫细胞=1个惊人的恢复,这一串数字令人惊艳,但这不是一串单纯的数字,这是席琳·瑞安(Celine Ryan)经历过的抗癌历程,在接受过TILs(肿瘤淋巴浸润细胞疗法)后,她目前已无癌五年!

5岁时,Emily被确诊为急性淋巴细胞白血病,经历了将近3年的化疗、骨髓移植等一切可能的治疗都无效后,医生建议她的父母准备生命最后一段旅程的“安宁疗护”。就在这时,Emily进入美国宾夕法尼亚大学和费城儿童医院共同进行的CAR-T细胞治疗临床试验。
此后,Emily的人生发生了巨大反转。这种疗法彻底清除了她体内的全部癌细胞,直到多年后都没有复发。每一年,Emily都会发布纪念自己“cancer free”的照片,到2021年5月,已经是第9个年头。


拉尔夫·斯坦曼
斯坦曼在2007年确诊胰腺癌后,积极尝试基于树突状细胞的治疗性疫苗(树突细胞疫苗)。借助这种“细胞免疫疗法”,他的生命从预期的数月延长至4年半。
上述三个极为有名的抗癌“斗士”所使用的新疗法,不管是CAR-T细胞疗法、树突细胞疫苗,还是肿瘤浸润的淋巴细胞(TILs)疗法,都属于细胞免疫疗法!
人类与肿瘤抗争已逾百年,客观地说,阶段性胜利并不多,免疫治疗算是其中的一个。免疫治疗开启了肿瘤治疗的第三次革命,具有划时代的意义。
其做出的卓越贡献主要在于:首先,它能治疗已广泛转移的晚期癌症,部分标准疗法全部失败的晚期癌症患者,在使用免疫治疗后取得了很好的效果;其次,免疫疗法有“生存拖尾效应”,响应免疫疗法的患者有很大机会高质量长期存活,这批曾被判死刑的晚期癌症患者被称为“超级幸存者”。
今天无癌家园小编就盘点下目前国际上重大研究进展的几款细胞免疫疗法,希望给各位束手无策不知该尝试何种疗法的癌友们另辟蹊径,提供一种新的治疗选择。
肿瘤浸润淋巴细胞(TIL)治疗
TILs疗法,简单点讲就是将手术切除的肿瘤组织中的淋巴细胞分离纯化,挑选出其中能特异性抗癌的淋巴细胞,扩增活化后回输。这类疗法拥有30多年的历史,最早用于恶性黑色素瘤,近年来在宫颈癌、肺癌等多种实体瘤中都给出了不俗的数据。
疾病控制率89%!LN-145疗法获FDA突破性疗法称号!
2019年6月,FDA批准肿瘤浸润淋巴细胞(TIL)治疗方*L法**N-145为突破性的治疗指定,这是用于实体瘤的细胞免疫疗法首次获此殊荣,相信距离上市也仅是时间问题,一旦FDA批准,这将是首款用于实体瘤的细胞免疫疗法,将给癌症患者带来巨大的生存获益。
FDA此次授予是基于正在进行的第二阶段innovaTIL-04(C-145-04)积极的试验的数据,摘要数据显示, 晚期宫颈癌患者的TIL治疗总体反应率(ORR)为44%,疾病控制率为89%!
典型患者病例
接下来小编专门找到一些关于TILs治疗各类癌症的相关临床病例,以供各位癌友们参考,也希望给各位带来更多生存的希望!
相关链接:从“患者”转变为“幸存者”,TILs免疫疗法助力各类癌症患者挑战生存极限
9年无复发,TILs疗法治疗黑色素瘤疗效强劲!
一项针对TIL治疗转移性黑色素瘤的I / II期可行性研究,以评估可行性和临床有效性。
一共10名患者接受了治疗, 有5例显示出明显的临床反应,其中包括2例完全缓解的患者,持续治疗7年以上。 1位患者疾病稳定超过2个月,剩余4位表现为进行性疾病。
其中治疗效果最好的患者3是一名46岁男性,患有BRAF V600E突变阳性黑色素瘤,伴有淋巴结转移,肝转移和左侧肾上腺增大。
TIL治疗后,该患者保持无病状态超过9年。 10名患者的最佳反应,其中患者3腿部肿瘤图片给出了新生抗原TILs疗效最强有力的证明。
TILs免疫疗法招募
目前无癌家园有一款TILs免疫细胞临床试验正在招募中,主要治疗 恶性实体肿瘤(包括肺癌、食道癌、卵巢癌、宫颈癌)等癌种。
若想参加请咨询无癌家园医学部,详细评估病情。
无癌家园-肿瘤癌症治疗,抗癌新药,癌症基因检测,免疫治疗,癌症治疗专家
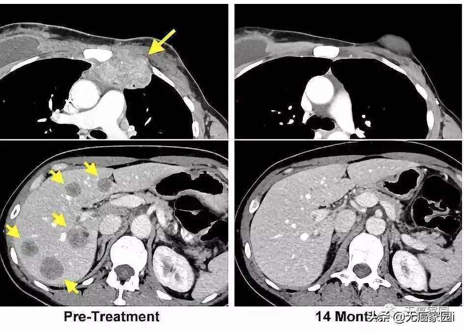
乳腺癌:810亿个T细胞回输患者体内,10天后她的肿瘤完全消退
2015年,49岁的Judy Perkins 是一名ER+/HER-晚期乳腺癌患者,接受过化疗、内分泌等标准治疗,但是全部耐药,全身多处转移。
鉴于病情较严重,已经没有办法通过常规的方法治疗,所以医生预测,她最多只能活3个月。早在此前,她曾经也接受过免疫治疗的临床试验。
研究人员们在她的肿瘤里寻找到了肿瘤浸润性免疫细胞。在分离出这些免疫细胞后,科学家们决定对它们进行大量扩增,再输回到患者体内。
一周过后,Judy Perkins感觉自己的身体起了明显的变化。比如她长在胸部的肿瘤,感觉逐渐缩小。又过了一两周,胸腔内的肿瘤荡然无存。目前,她已无癌6年!

左图黄色箭头是治疗前肿瘤位置;右图是治疗结束14个月后的复查:肿瘤完全消失
胆管癌:首位接受TILs疗法的超级幸存者至今已活12年!
2009年的秋天,对于41岁的Melinda Bachini来说终身难忘。就在儿子14岁生日的当天,她被诊断出患有罕见的胆管癌,被宣判生命只剩几个月,她的内心痛苦挣扎又不甘心。所幸命运对她不薄, 现在已成为晚期胆管癌存活12年的幸存者!
从生存期仅剩几个月到成为超级幸存者,让Melinda重获新生的新型免疫疗法就是 肿瘤浸润淋巴细胞(TIL)疗法 。

对Melinda发挥巨大作用的是第二次输入的1270亿个免疫细胞,起初她的肿瘤体积缩小60%,待试验结束后,又接受了免疫检查点*制剂抑**pembrolizumab的治疗,成功地缩小了肿瘤,目前身体任何部位已确保处于无癌状态。
破冰!中国研发的超级TILs疗法横空出世
近期,中国的研究人员宣布,已成功研发出一种新型的超级TILs疗法。
据无癌家园了解,国内的TILs疗法是在美国的肿瘤浸润淋巴细胞(TIL)疗法基础上经过改良,并进一步给予基因修饰,提升其克服肿瘤微环境和增加自我扩增的能力,在前期的概念验证临床研究中已取得了非常积极的疗效和安全性验证,目前已获得批准正式开展人体临床试验招募患者, 想申请的病友可以咨询无癌家园医学部。
树突细胞(DC)疫苗
细胞技术的进步开启了利用免疫细胞研制癌症疫苗的新时代。 其中治疗性疫苗最有吸引力的细胞是 树突状细胞 ,因为其具有呈递多种抗原的能力,而这些抗原最适合用于治疗癌症等多种疾病。
随着第一款名为 Provenge 的 转移性前列腺癌树突状细胞疫苗获得FDA批准 ,树突状细胞疫苗在市场上获得显著的重视。继Provenge获批后,全球多种树突状细胞疫苗已进入不同的临床管线,如韩国的CreaVax(前列腺癌和肾癌)、日本的Vaccell、智利的TAP Cells、北美的MelCancerVac、美国的Rocapuldencel-T有望获批上市。
想寻求国内外治疗新技术帮助的患者可以先将病历提交至无癌家园医学部进行初步评估。
多款治疗性癌症疫苗已问世,晚期患者开启长生存模式
树突状细胞疫苗实际上早已在动物实验和早期的临床试验中取得了很多重大突破,其中脑瘤、肾癌、黑色素瘤的树突细胞疫苗研发已进入三期临床试验阶段,有望上市。 无癌家园 通过查阅大量的文献资料,特地为大家列举出一些重磅的研究,若想了解更加详细的临床试验,可致电咨询。
1 新型树突细胞疫苗曙光出现,15个月总生存期达76%!
AV-GBM-1是一种患者自体的特异性树突状细胞疫苗 ,在对延长新诊断的胶质母细胞瘤患者的中期总体生存期展现出极大的潜力。
接受AV-GBM-1治疗的50例可评估患者的 15个月的总生存率为76% ,而对照组的287例接受标准治疗的患者的12个月和15个月的总生存率分别为61%和48%。这表明,接受AV-GBM-1治疗的患者15个月的总生存率提高了28%,疗效格外显著。
2 有效率翻倍,新型树突细胞疫苗ilixadencel进军肾癌一线治疗
ilixadencel(伊利沙定)是一款同种异体树突状细胞(DC)疫苗。研究显示, ilixadencel联合靶向抗癌药舒尼替尼 (索坦,通用名:sunitinib) 一线治疗新诊断的晚期转移性肾细胞癌 (mRCC) 患者,与单独采用舒尼替尼治疗的患者相比,总缓解率提高一倍,完全缓解率更高,缓解更加持久!
相关链接: 完全缓解率大幅提升!新型癌症疫苗前景无限!
3 新型胶质瘤疫苗三年生存期提*达升**84%!引起轰动!
近期,来自德国国家癌症中心的科学家研发了一款针对IDH1突变的肽段疫苗,这款疫苗使用很方便,皮下注射即可。
值得一提的是,该疫苗在 93.3%的患者身上成功激活了针对性的免疫反应 ,未能激活机体免疫反应的2名患者无一例外在治疗2年内出现了肿瘤复发, 全组患者3年生存率高达84%。
从上述初步结果看,IDH1疫苗安全且疗效可期。
嵌合抗原受体(CAR)T细胞疗法
要说近年来最火的癌症疗法,免疫疗法中的CAR-T绝对是焦点之一。
CAR-T疗法就是嵌合抗原受体T细胞免疫疗法,是一种治疗肿瘤的新型精准靶向疗法。通过基因工程技术将T细胞激活,并装上定位导航装置CAR(肿瘤嵌合抗原受体),将T细胞这个普通“战士”改造成“超级战士”,即CAR-T细胞,专门识别体内肿瘤细胞,并高效杀灭肿瘤细胞,从而达到治疗恶性肿瘤的目的。
CAR-T疗法在血液系统恶性肿瘤的治疗中取得了重大成功。目前,全球已有5款CAR-T细胞疗法在美国获FDA批准上市。 而 在6月22日,我国CAR-T领域的空白终于被打破!
中国国家药品监督管理局(NMPA)最新公示 ,复星凯特生物科技有限公司(以下简称 “ 复星凯特 ”) 靶向 CD19 的 CAR-T 细胞治疗产品阿基仑赛注射液(又称阿基仑赛,FKC876)正式获批上市。
这是中国首个获批上市的CAR-T疗法,全球第6款获批上市的CAR-T疗法。 相信紧随其后,中国将迎来CAR-T细胞疗法井喷时代。
无癌家园临床招募
目前,无癌家园正在对一款CAR-T细胞疗法进行招募,主要是关于晚期实体瘤的临床研究。
其中涵盖14大癌种,包括结 直肠癌、肺癌、乳腺癌、肝癌、膀胱癌、食管癌、肾癌、卵巢癌、子宫癌、黑色素瘤、胃癌、胰腺癌、滑膜肉瘤、头颈癌。
具体的入排标准可详情咨询无癌家园医学部,会进行详细的医学评估。
接下来,无癌家园的小编就给大家一一回顾下CAR-T疗法在各癌种中颇为出圈的临床研究,希望为各位癌友们提供新的治疗选择。
非小细胞肺癌
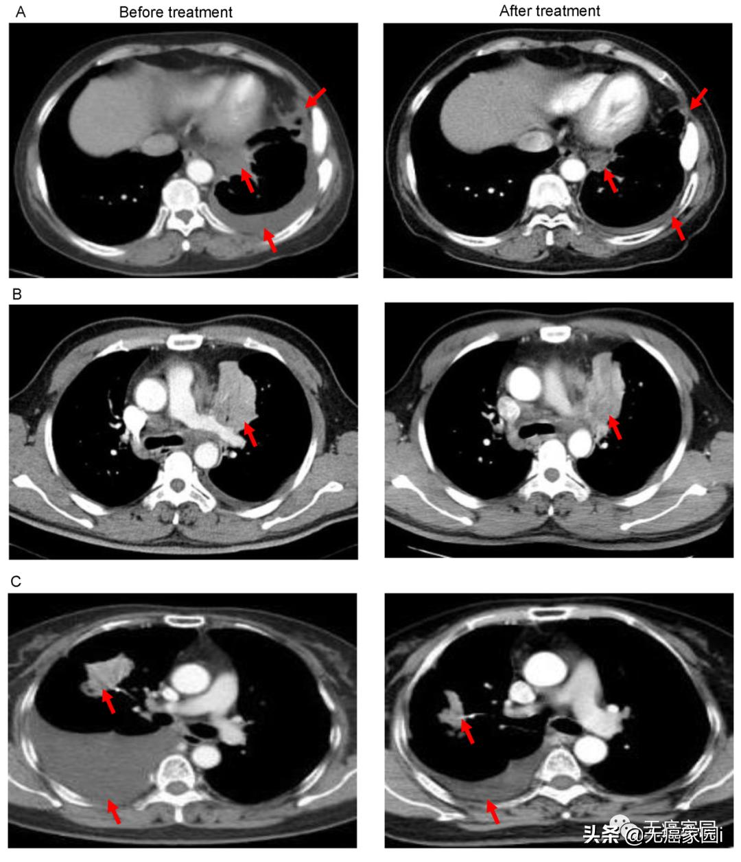
*013院医**在国内率先开展CAR-T疗法,成果显著。 韩为东教授曾报道过利用EGFR为靶点的CAR-T治疗EGFR表达强阳性(EGFR表达超过50%)的晚期难治性的非小细胞肺癌患者。
研究结果显示,其中11例患者疗效可评价:2例患者肿瘤明显缩小,5例疾病稳定。
图A中患者1在输注CAR-T细胞后,通过CT扫描显示其胸腔积液减少,转移性肺门淋巴结和胸膜结节轻度缩小(箭头)。
图B中CT图像显示患者8的原发性肿瘤缩小(箭头);
图C中CT检查发现CAR-T治疗后患者9的胸腔积液吸收和肺部病变明显消退。

肝癌
今年ASCO年会上我国医学研究者们首次公布了 靶向GPC3的CAR-T药物(Ori-CAR-001) 治疗 复发/难治性肝细胞癌 的最新临床研究数据。该研究的初步数据显示, Ori-CAR-001在GPC3阳性复发/难治性患者中表现出良好安全性和有效性。
截至2021年3月10日,共纳入11名接受细胞输注的复发受试者。 所有受试者均患有晚期肝细胞癌,并且经过化疗、TACE(肝动脉化疗栓塞术)和靶向治疗均无效。 9例可评估受试者中,4例达到部分缓解 (PR),3例达到疾病稳定 (SD),2例出现疾病进展 (PD),客观缓解率为44%,疾病控制率达到78%。
卵巢癌
2月18日,国际一流学术期刊《癌症免疫治疗杂志》刊登了关于中国医学研究者采取CAR-T自分泌PD-1抗体用于实体肿瘤治疗的研究成果。临床数据显示, 一名晚期难治性卵巢癌患者采用这种治疗手段后,无进展生存5个月,生存达17个月。
结果表明, CAR-T细胞与阿帕替尼的组合将成为治疗晚期/难治性卵巢癌的新治疗方法。
胃癌及胰腺癌
中国研究人员开发了国际上首个针对 Claudin18.2 的 CAR-T 细胞。
2019 ASCO年会上,CAR-Claudin18.2 T 细胞治疗胃癌/胰腺癌的临床数据更新显示,靶向claudin18.2 CAR T细胞治疗12例转移性腺癌(胃癌7例,胰腺癌5例),未发生严重不良事件、治疗相关死亡或严重神经毒性。11例评估对象中: 1例(胃腺癌)完全缓解;3例(胃腺癌2例胰腺腺癌1例)部分缓解;5例病情稳定;2例病情进展;总客观缓解率为33.3%。
自然*伤杀**细胞(NK)细胞
NK细胞是人体第三类淋巴细胞,又被誉为天然免疫的核心细胞,约占淋巴细胞循环数的5%~15%,是对抗癌细胞的天生战士。其表面缺少T细胞和B细胞的特异性标志如TCR和Smlg,曾称为裸细胞。NK细胞最厉害的地方是,不需要抗原递呈过程,不用别人通风报信,就可以直接、快速将外来异物(病毒细菌感染细胞、癌细胞、衰老细胞等)就地正法。
在面对癌细胞时, NK细胞不需要其他细胞的激活与刺激,便能直接识别并杀死癌细胞,因此,也被称为人体抗癌第一道防线。
高度活化的NK细胞用于晚期肺癌,疗效安全兼顾
一项发表于《Onco Targets Ther》杂志上的临床研究,主要目的旨在探讨高度活化的NK(HANK)细胞免疫疗法在晚期肺癌患者中的疗效。

研究学者们招募了13例III~IV期肺癌的患者,从患者中分离出供体外周血单核细胞,并扩增NK细胞,在培养12天后,收集细胞并再第13~15天采取静脉输注。入组的患者接受至少1个疗程(每个疗程包括3次输液。每次输液时间为30分钟内)。每月接受的治疗疗程不超过3个。每次输注3次的疗程在3天内连续进行。
结果令人满意,经过3个月的随访,所有患者不仅未观察到副作用,根据RECIST指南, 有11例患者(84.6%)为疾病稳定,2例患者(15.4%)疾病进展。 此外, 治疗后IFN-γ(γ-干扰素)水平显著升高,CEA(癌胚抗原)水平显著下降。接受NK细胞治疗的患者的总体免疫功能保持稳定。
无癌家园专家总结 , 此研究为首次描述NK细胞治疗晚期肺癌疗效的研究。这些临床观察表明,NK细胞对于晚期肺癌治疗是安全有效的。
经过几十年的临床研究,世界上已经实现了既增强了NK细胞活性,又成功增加了NK细胞的数量,完成了NK细胞回输体内对抗癌细胞必备的两项基本要求。目前,无论是中国、日本还是美国,NK细胞培养技术都已经非常成熟。 无癌家园的临床试验申请平台已经开通,国内患者可以咨询医学部申请参与NK细胞的临床试验。
工程T细胞受体(TCR)治疗
对于某些不能识别出肿瘤中T细胞的患者,医生可以采用一种称为工程T细胞受体(TCR)治疗的方法。
这种方法通过从患者身上获取T细胞,激活和扩增这部分抗肿瘤T细胞的同时,还可以为T细胞配备新的T细胞受体,使其能够试别特定的癌症抗原。医生可以通过这种方法为每个患者的肿瘤和不同类型的T细胞选择最合适的靶点进行工程改造,可以使治疗个体化,并为患者提供更大的缓解希望。
疾病控制率为71.1%,ADP-A2M4 T疗法治疗实体瘤著有成效
谈到ADP-A2M4疗法,其实早在2020年ASCO大会上,美国MD安德森癌症中心公布了一项关于新型过继性T细胞的疗法治疗实体瘤的I期研究数据,引起了不小的轰动!
2019年12月,ADP-A2M4被美国药品监督管理局(FDA)授予医学先进疗法称号(RMAT),用于治疗滑膜肉瘤;这款疗法在2018年也被FDA授予孤儿药称号,用于治疗软组织肉瘤。值得一提的是,基于以上积极数据,该公司预计ADP-A2M4将于2022年在美国上市。
该研究共纳入了38例晚期实体瘤患者,既往中位治疗线数为3,主要包括18例滑膜肉瘤、9例卵巢癌、3例头颈鳞癌等。
结果显示,38例患者的客观缓解率(ORR)为23.7%,疾病控制率(DCR)为71.1%。其中,滑膜肉瘤的ORR为43.8%,非肉瘤的ORR为9.1%;头颈癌的ORR为33.3%,肺癌的ORR为50.0%。在不同的瘤种都观察到了疗效。
晚期肝癌迎来新曙光!TCR-T疗法让癌症患者完全缓解
早在2020年国际肝病大会(ILC)上,一款基于T细胞的肝癌新型TCR-T疗法 ADP-A2AFP引起了不小的轰动,也让肝癌的新疗法有了新的突破。
在纳入的患者中, 有一名患者的癌细胞进程出现了完全缓解(CR)的表现,其余参与者的甲胎蛋白(AFP)也都出现了不同程度的下降, 这意味着试验取得了进展,也说明该疗法针对晚期肝癌的治疗是有效果的。

参与的9例患者均接受过手术及常规放化疗,但出现失败或不耐受的现象。在接受最高剂量治疗的4例患者中, 有1例患者获得完全缓解,CT扫描显示,患者体内所有病变都消失了,而且完全缓解后已持续半年以上无任何复发的状态!
其他患者(队列1、队列2)最佳反应是病情稳定。队列2中的1例患者 在治疗1个月后原发病灶体积未缩小,但纵膈淋巴结转移灶体积明显缩小!
无癌家园TCR-T疗法招募
那么到底有没有机会尝试TCR-T疗法呢?小编这就带来了一个好消息, 目前正有一项研发的TCR-T疗法在招募肝癌患者开展临床试验, 想要参加的患者可以咨询无癌家园医学部了解详细入排标准。
未来可期!细胞免疫疗法是攻克癌症的终极*器武**!
根据最新统计资料显示,相对于只接受手术、放疗、化疗的晚期肺癌、胃癌、肝癌等患者来说,辅助细胞免疫疗法能够让患者延长生存期,显著提高资料效果。