
最近发现做舌系带手术的孩子越来越多了。那么舌系带手术我们该如何对待呢?
暑期来临,一位前来咨询的母亲讲道:“我儿子是去年5周岁时割的,很多人都说割地太晚了。但是没办法啊,发现的时候已经这么大了,之前老人带大的根本没注意,总想着上学以后会就会变好的。上小学后,老师说我家的孩子说话不清楚,问题很严重,后来去了大医院检查,大夫说舌系带有问题,建议我们割掉,听说做手术,孩子奶奶吓坏了,大夫说只是个小门诊手术,很多孩子都割了,只是我家的割的稍微晚了点,可能会耽误孩子一段时间,孩子手术那天为了打麻药,孩子他爸还和大夫吵了一架,说打麻药伤害孩子的大脑。反正那天孩子鬼哭狼嚎,一家人乱的鸡飞狗跳的。”

青少年儿童口吃人群数量不断增大,其中很大一部分口吃儿童都做过舌系带手术。数据显示,90%的家属咨询时都提到过舌系带手术。如:0-6个月舌系带过短怎么办?多大儿童应该做舌系带手术?做完舌系带手术后为什么说话还是不清楚?等等诸如此类的问题。
其实对待舌系带这个问题,很多父母都缺乏科学眼光,盲目的跟风治疗,最后承受痛苦的是孩子,耽误的也是孩子。

首先一定要从科学的角度了解舌系带,那么什么是舌系带呢?
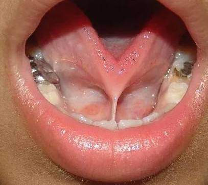
舌系带俗称舌筋,即孩子张开口翘起舌头时在舌和口底之间的一个薄条状组织。舌系带短,俗称“大舌头”,是一种先天性发育异常,主要表现为舌底下正中处的舌系带过短,使舌的正常活动受到限制,舌头因而不能伸长到口外,或往上不能接触上唇,舌前伸时舌尖因被舌筋牵拉而出现凹陷,舌尖呈W形。语言障碍成因复杂,语言障碍表现类型较多,舌系带短并不是孩子说话不清的唯一原因或主要原因。
那么为什么要做舌系带手术呢?
1、孩子舌系带太短导致吸吮无力,影响孩子吃奶
2、舌系带太短无法发音或发音不准。

但是,不是所有的舌系带过短都需要做手术。幼儿舌系带比较短,张口时舌尖不能上翘,舌头活动也不灵活,不要认为不正常。其实舌系带还在发育阶段,只是暂时性生理现象。随着年龄的增长,舌系带会随着乳牙发出后,逐渐向口底下移,舌的活动度也会变得更加灵活,只要孩子的舌尖能触碰到上颚与牙龈处,舌系带就不算短了。

很多家长早早地决定给孩子割舌系带,主要是因为早做手术恢复快,不需麻醉、不用缝针、出血少,孩子痛苦感受也少。但实际情况是,做完手术不缝针,不少孩子随着年龄增长必须再做第二次手术。
因此,请各位父母对孩子舌系带的手术问题上,一定要慎重考虑!