
烧哥老牙医,聊聊口腔问题~牙神经被牙医抽出后,根管治疗封药期间痛到怀疑人生,难道做根管治疗有什么副作用?会不会伤害到牙齿?

实际上根管治疗本身没有什么危害,根管治疗作为牙体修复的一种方式,而是更好地保住牙根,针对达到深龋的烂牙,有明显的牙髓炎或者牙髓已经坏死,都是可以进行根管治疗,简单来说,从抽出牙髓,到根管冲洗,再到根管填充,最后戴上烤瓷牙冠或者嵌体。
很多患者抱怨根管后牙齿还会有痛感,说明医生没有将你髓腔的残髓清理干净,取决于手术成功率有多高,具体得到正规医院治疗,所以并没有副作用一说。

根管治疗那牙齿不是废了吗?
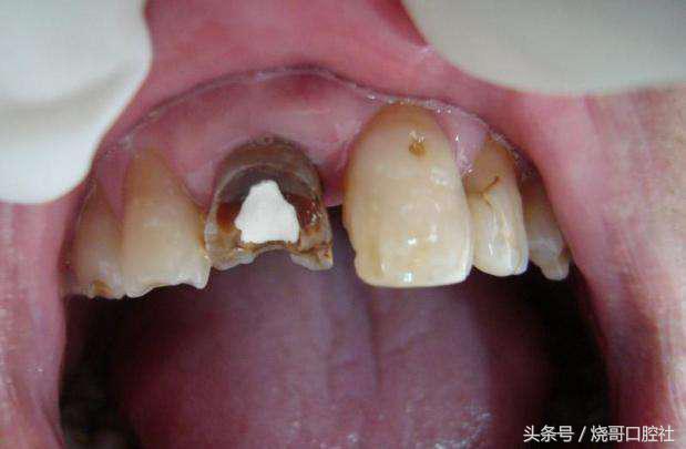
1、这句话没毛病,根管后的牙齿失去牙髓营养供给,确实牙体会逐渐变黑变脆,但蛀牙拖到牙髓病变,牙髓基本上是留不住,要不然你的牙疼一直是治不好,吃消炎药往往没有用。
2、牙体再怎么缺损都还有救,只要还有残冠在都能根管治疗,而术后毕竟是死牙经受不住你的咬力,一定要粘接上烤瓷牙冠保护原牙,另外要记住术前一定要让医生打麻药,这样过程抽牙神经过程才会更舒服。

根管治疗究竟要多少钱?
正规医院根管治疗费用在1500左右,手术并不是一次性就能完成,通常要抽髓封药消毒,第二次复诊做根管预备这步尤其重要,会直接影响术后成功率,一般前后需要3~4次复诊。
术后可能会出现轻微肿胀这是正常现象,记得吃甲硝唑等消炎药消炎缓解!如果你对根管治疗有什么疑问,欢迎关注【烧哥口腔社】,你可以在评论区进行留言,烧哥医生来回答你的根管问题!
