
诊疗策略 | 松果体区占位诊疗策略及病例分享
松果体区指松果体及其周围的结构,前方为三脑室后部;下方为中脑导水管、四叠体;后方为四叠体池;上方为胼胝体压部;后上方为小脑幕切迹、大脑大静脉、大脑内静脉。发生于此区域的肿瘤来源及病理类型多样,主要包括生殖细胞瘤、畸胎瘤、松果体细胞瘤、松果体母细胞瘤、胶质瘤、脑膜瘤以及转移瘤。
松果体区肿瘤病程长短不一,取决于肿瘤的组织学类型、位置和体积大小。一般病程较短,多在1年以内,自10天至2.5年,平均约为6个月。肿瘤的发展过程所产生临床症状主要有三方面:
1、颅内压增高:可因阻塞中脑导水管引起脑积水。
2、邻近结构受压征
1)眼征——肿瘤压迫四叠体上丘可引起眼球向上下运动障碍、瞳孔散大或不等大等;
2)听力障碍——肿瘤体积较大时可压迫四叠体下丘及内侧膝状体而出现双侧耳鸣和听力减退;
3)小脑征——肿瘤向后下发展可压迫小脑上脚和上蚓部,故出现躯干性共济失调及眼球震颤 ;
4)丘脑下部损害——症状表现为尿崩溃、嗜睡和肥胖。
3、内分泌混乱
1)性征发育停滞或不发育;
2)性早熟——男孩表现为声音变粗、长阴毛、阴茎增大;女孩表现为乳腺发育、月经提早。
影像学特点
松果体区肿瘤影像表现各式各样,部分影像特征能鉴别出一些肿瘤性质。高分辨率的MRI能鉴别出肿瘤是来源于松果体还是附属结构。
生殖细胞瘤强化明显,边界清楚,沿着第三脑室侧壁生长,形成所谓的“蝶形征”。
畸胎瘤MRI信号高度非均一性,有较多密集的钙化和囊变,尤其是多样性的囊变,在T1WI和T2W均有较突出的高信号呈典型的“蜂窝状”改变。
脑膜瘤增强扫描后表现为均一明显强化的实质性肿瘤,MRI特征性的表现是与大脑镰、小脑幕的关系密切,周边硬膜有增厚。血清学检查含有生殖细胞源性细胞的肿瘤可有HCG及AFP的升高。
诊疗
松果体区肿瘤的病理类型不同,最佳的治疗方案也不一样,关键问题是在术前如何鉴别出肿瘤性质来指导治疗。复杂的病理类型给松果体区肿瘤的定性诊断带来了困难。松果体区肿瘤有特殊的临床特点,年龄及性别对判断生殖细胞肿瘤有较大的帮助,生殖细胞瘤多见于10~20岁男性,但主要临床症状对病理的判断无帮助。惟一有意义的就是性早熟,提示为生殖细胞肿瘤,且大多是绒癌。
诊断过程中很重要的就是MRI及CT检査,高分辨率的MRI可以显示肿瘤的一些特征表现,帮助判断肿瘤的大致病理性质。生殖细胞瘤、畸胎瘤、绒毛膜癌、松果体实质肿瘤及脑膜瘤有一定的特征性表现。但影像学检査许多特征性的表现可以交叉岀现在几种病理性质及治疗方案完全不同的肿瘤中,且敏感性不高,目前的影像学检查更重要的作用是明确肿瘤的大小、血供情况、肿瘤主要扩展的方向、质地、位置及周围组织的关系来确定手术入路和手术难点。
血清和脑脊液肿瘤标记物对于松果体区肿瘤有较好的诊断价值,出现HCG或AFP增高,基本可判断为非生殖细胞瘤性生殖细胞肿瘤,标记物升高交叉出现在其他各亚型生殖细胞肿瘤中,不能精确区分非生殖细胞瘤性生殖细胞肿瘤的具体亚型,但能筛选出是否是生殖细胞瘤,从而对治疗策略的制定及预后的判断有极大帮助。
同一肿瘤不同部位可能为不同的组织类型,因而活检一小部分病理可能导致误诊。松果体区肿瘤的治疗策略应在尽可能准确诊断肿瘤来源、性质的前提下进行显微手术切除,除生殖细胞瘤外,松果体区恶性肿瘤对放疗大多是不敏感的,外科手术治疗虽然不能根治,但能最大程度缩小瘤体、减轻肿瘤负荷,还能最准确诊断松果体和生殖细胞肿瘤的病理,不需通过分流缓解脑积水,进一步提高后续辅助治疗的效果。
松果体区肿瘤常合并梗阻性脑积水,在实施诊治的过程应兼顾脑积水的处理,对于未威胁生命的术前脑积水,可不处理。若首选开颅手术,术中直视 下打通第三脑室后部或行直视下第三脑室底造痿术,可缓解脑积水;若首选放疗,只有在威胁生命或 接受放疗过程中脑积水加重的情况下,才主动处理脑积水,大部分生殖细胞瘤对放疗敏感,放疗后肿瘤缩小,脑积水会缓解,可避免内镜或分流手术。
综上所述,松果体区肿瘤的诊断程序包括临床特点分析、影像学检査及肿瘤标记物检验。除非术前诊断或高度怀疑生殖细胞瘤可直接放、化疗,其他松果体区肿瘤均应首选积极的外科手术治疗,术后根据病理结果综合治疗。
附近期手术一例
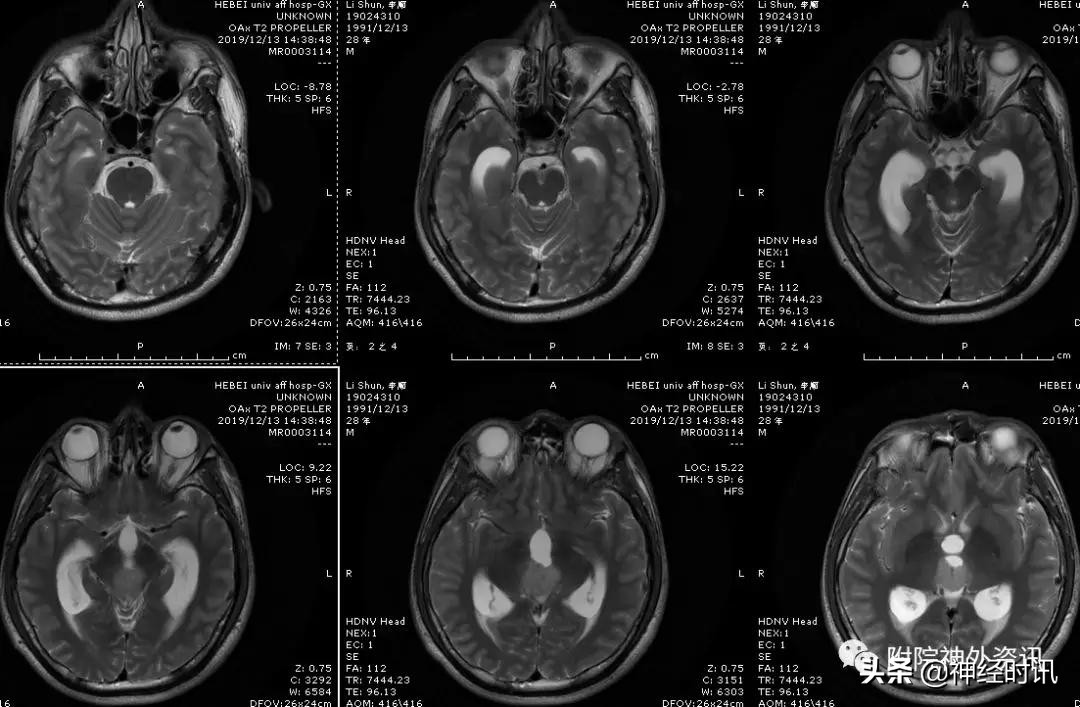
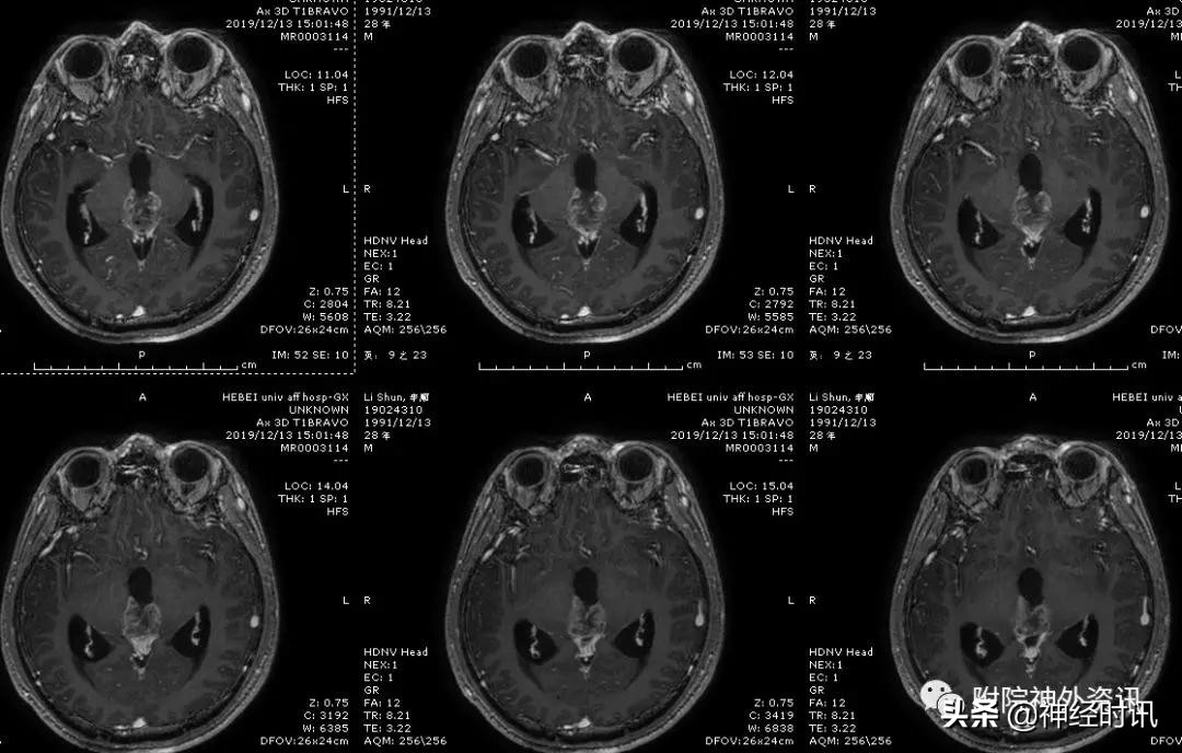
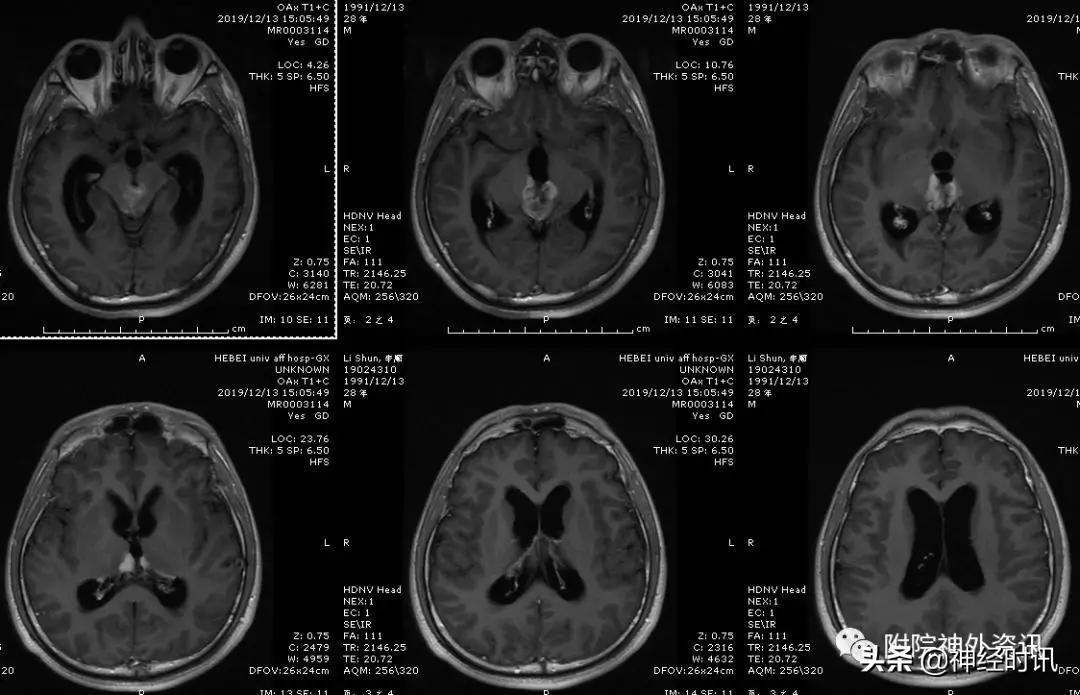
男性,28岁,主因复视20余天入院,查体双瞳孔不等大,直径左=3. 5mm,右=3.0 mm,对光反射迟钝,双眼上视困难,左眼眼位异常,向内下斜视。

















来源 | 河北大学附属医院神经外科
排版 | 丁慧鑫
审校 | 董晓慧