前言
“国际肝病-肝脏血管病专栏”是北部战区总医院消化内科祁兴顺医生应《国际肝病》编辑部邀请联合发起的学术专栏,定期收集整理肝脏血管病领域的研究进展,每两周 (周三) 挑选一篇重要文献进行精读讨论,希望能帮助读者知其然知其所以然,启迪临床科研思维、学以致用。
文章简述
据报道,门-肠系膜静脉血栓(PMVT)的发病率为1.8-2.7/100,000 (Acosta, et al. Br. J. Surg. 2008, 95, 1245-1251; Harnik, et al. Vasc. Med. 2010, 15, 407-418) 。肠系膜静脉(MV)血栓常继发于恶性肿瘤、胰腺炎和感染等疾病 (Chawla, et al. J. Clin. Exp. Hepatol. 2015, 5, 22-40) 。PMVT是引起肠系膜缺血坏死的罕见原因,仅占5%-15% (Grendell, et al. Gastroenterology 1982, 82, 358-372) 。PMVT患者的临床结局与血栓范围、血栓体积、血栓分期及肠缺血放射学特征等方面相关。因此,早发现、早治疗至关重要。PMVT的治疗目的是防止门-肠系膜静脉(PMV)内弥漫性血栓的进展或逆转PMV内弥漫性血栓,以及治疗其并发症。目前,PMVT尚无标准化治疗方案。最近,Benmassaoud等提出了阶梯式溶栓治疗,即全身溶栓(ST)治疗失败后进行局部导管直接溶栓(CDT)治疗 (Benmassaoud, et al. Aliment Pharmacol Ther. 2019, 50, 1049-1058) 。
Journal of Clinical Medicine 杂志于2022年8月在线发表了一篇题为 《非肝硬化患者门-肠系膜静脉血栓的早期导管直接溶栓治疗》 的文章,该研究旨在报告非肝硬化PMVT患者的CDT操作、治疗策略和临床结局。
Chiang等纳入了自2004至2020年期间的16例有高风险肠坏死的急性或慢性非肝硬化PMVT患者(平均年龄:48.6岁)。8例患者血栓延伸至近静脉弓处周围MV。经肝途径CDT的主要操作步骤包括:尿激酶(UK)输注(60,000-30,000 IU/h合并肝素300-400 IU/h)、导管抽吸和(或)球囊扩张、裸金属支架(BMS)放置。血栓累及周围MV的患者,额外加用肠系膜动脉内输注UK(30,000 IU/h)。对于肝内门静脉(PV)再通不良患者,进一步采用经颈静脉肝内门体分流术(TIPS)。
结果显示,所有患者均采用了经肝途径,8例患者附加肠系膜动脉间接溶栓治疗。共输注UK 2,040万IU,持续时间1-21天。3例患者PV再通失败后进一步行TIPS。操作成功率为100%,PMV完全再通率为80%、部分再通率为20%。无严重手术相关并发症发生。30天死亡率为6.7%。两年首次通畅率为84.6%。
总的来说,CDT对急性或慢性PMVT均是安全有效的。因此,一旦确诊为PMVT,经肝途径CDT可作为抢救治疗的首选治疗策略。对于非肝硬化PMVT患者,若肝内PV再通失败,可进一步行TIPS治疗。
重要研究结果分析及其临床意义
1、患者人口统计数据

(表源自文献)
研究纳入了16例非肝硬化PMVT患者;其中,男性12例、女性4例;平均年龄为48.6±23.2岁,年龄范围为9-96岁。
9(56.3%)例患者有明确的危险因素(骨髓增殖性疾病3例,抗凝血酶III缺乏症2例,抗磷脂抗体综合征、蛋白C缺乏症、肾病综合征和胰腺炎各1例)。
9例患者临床表现发生在2周内、3例在4周内、4例超过4周。
计算机断层扫描(CT)显示PV海绵样变8例、腹水8例、肠壁增厚15例、肠壁变薄1例。
2、溶栓方案

(图源自文献)
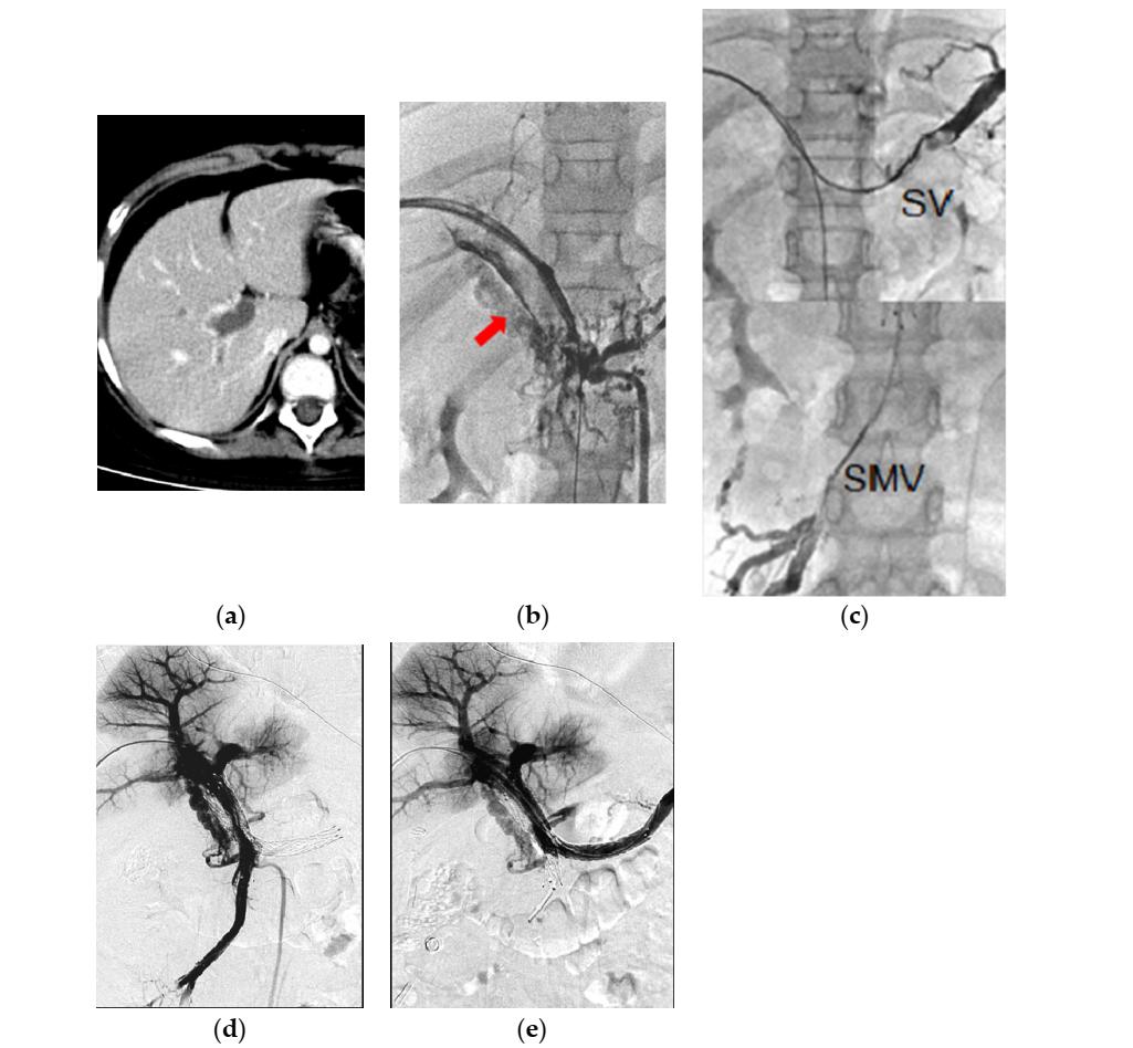
一例慢性PMVT患者,女,9岁,肾病综合征,主诉为间歇性腹痛6个月。
a
CT显示弥漫性PMVT。
b
经皮肝穿刺PV造影证实CT表现。箭头:PV海绵样变。
c
上部:脾静脉(SV)血栓。下部:SMV血栓。
d,e
经皮肝穿刺PV造影显示:经连续输注UK(12天总剂量为680万IU)、BMS放置、反复球囊扩张,SMV、SV、PMV、肝内PV均再通。术后128个月随访行彩色多普勒超声,检查血管通畅性。

(图源自文献)
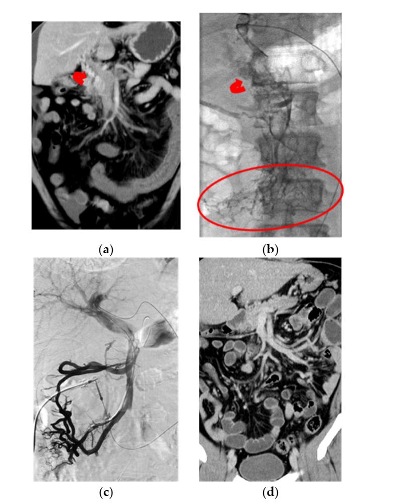
一例慢性PMVT急性加重患者,男,44岁,主诉为腹痛22天。
a
经皮肝穿刺PV造影显示:弥漫性PMVT累及肝内PV周围小静脉,未累及肠系膜周围小静脉(曲线箭头)。
b
经皮肝穿刺PV造影显示:经连续输注UK、反复导管抽吸,PV右支(曲线箭头)部分再通。
c
经皮肝穿刺PV造影显示:MV和PV主干几乎完全再通,因无后继血栓溶解而肝内PV未显影。
d
第10天行TIPS(曲线箭头)以降低流出阻力。
e
3个月随访CT(斜矢状位图像重建)显示:PMV再通且TIPS分流道通畅。

(图源自文献)
患者,男,58岁,5年前因MV血栓行节段回肠切除,主诉为腹痛4天。
a
经皮肝穿刺PV造影显示:PMVT累及近静脉弓处肝内PV、MV周围小静脉。
b
上部:X线透视显示:行导管(6F Envoy导管)抽吸。下部:抽吸出的新鲜性、陈旧性血栓。
c
肠系膜上动脉(SMA)血管造影(静脉期)显示:MV未显影。
d
经皮肝穿刺PV造影显示:经肝PV(持续6天)和经SMA(持续3天)途径反复球囊扩张、导管抽吸和连续输注UK,PV主干和肝内PV再通。曲线箭头:残留的PV海绵样变。
e
SMA血管造影(静脉期)显示:经治疗后,MV和PV显影。

(图源自文献)
一例慢性PMVT急性加重患者,男,40岁,抗凝血酶Ⅲ缺乏症,主诉为腹痛3天。
a
冠状位CT显示:PMV完全闭塞、肠壁水肿增厚、腹水、PV海绵样变(曲线箭头)。
b
经皮肝穿刺PV造影证实CT表现。弥漫性血栓累及肠系膜周围小静脉(圈)和肝内PV。曲线箭头:PV海绵样变。
c
经皮肝穿刺PV造影显示:经肝和SMA途径行局部CDT,于12天输注UK 1160万IU后,SMV、PV主干、肝内PV再通。PV海绵样变未显影。
d
8个月随访冠状位CT显示:PMV通畅,肠袢外观正常。
血栓累及部分PMV的患者3例,经肝途径CDT输注小剂量UK,其中2例患者PMV完全再通。
血栓未累及外周MV的患者5例,PMV均完全再通。其中,1例患者接受了TIPS,术后25个月出现复发性胃底静脉曲张出血并接受内镜下硬化剂注射手术,硬化剂溢出导致PMV完全闭塞;其余4例患者在影像随访1-128个月期间PMV均通畅。
血栓累及外周MV的患者8例。其中,1例在CDT治疗的第3天拒绝进一步溶栓,而接受全身抗凝治疗,第11天死于缺血性肠病并发症。其余7例患者均经肝和肠系膜动脉途径行CDT治疗,4例患者PMV完全再通,并在长达118个月的随访期内通畅性良好;3例患者CDT溶栓失败,其中2例患者进一步行TIPS,这2例患者的PMV血管造影均显示血管通畅,但血流速度缓慢。1例患者第30天死于缺血性肠病并发症。
3、溶栓操作及患者临床结局

(表源自文献)
所有患者均经肝内PV入路。8例患者额外接受了肠系膜动脉间接溶栓治疗,其中3例接受了TIPS治疗。
排除1例不接受后续CDT治疗的死亡患者,15例患者的溶栓操作成功率为100%;PMV完全再通率为80.0%(12例)、部分再通率为20.0%(3例);30天死亡率为6.7%(1例)。
排除2例无影像学随访患者,13例患者在1-128个月影像学随访期间的PMV总体两年首次通畅率为84.6%。
总结与展望
急性PMVT患者的临床表现不能反映真正的血栓分期。超声引导下经肝途径CDT联合个体化溶栓方案操作成功率高、失败风险低。CDT治疗越早启动,PMV再通率越高,患者临床结局越好。因此,建议一旦确诊为急性PMVT,应将早期局部CDT作为主要治疗手段。PMVT的治疗策略目标应是实现PMV完全再通。经肝途径CDT联合个体化溶栓方案治疗急性和慢性PMVT均安全有效。
肝硬化门静脉血栓患病率的多中心研究单位招募
门静脉血栓(PVT),尤其是完全阻塞性PVT,可增加肝硬化患者门静脉压力,进而增加腹水、食管胃静脉曲张破裂出血的风险。当前,妥善处理肝硬化门静脉血栓仍是棘手的临床问题。另外,肝硬化PVT的患病率也尚不明确,国内更是缺乏大型流行病学研究阐明这一问题。 为此,北部战区总医院消化内科祁兴顺医生正在准备发起一项全国多中心研究,基于增强CT检查结果以明确肝硬化患者PVT的患病率,并进一步回顾性分析相关危险因素。现诚挚邀请消化科、肝病科、感染科和放射科等相关专业医生参与。 若您对这项研究感兴趣,可与我们联系,以获得更详细的研究信息。

译文作者
于宏璐 ,北部战区总医院消化内科,大连医科大学研究生院。

《国际肝病-肝脏血管病》专栏发起人及校审
祁兴顺 ,北部战区总医院消化内科,副主任医师,博士、博士后,中国医科大学、沈阳药科大学、大连医科大学及锦州医科大学兼职硕士生导师。中国科协十大代表。中华医学会消化病学分会第十一届委员会青年委员、肝胆疾病学组委员,辽宁省医学会消化病学分会第十届委员会委员。现任 BMC Gastroenterology 杂志Senior Editorial Board Member、 Therapeutic Advances in Gastroenterology 杂志Editorial Board Member、 Advances in Therapy 杂志Editorial Board Member、 Canadian Journal of Gastroenterology and Hepatology 杂志Academic Editor、 Journal of Clinical and Translational Hepatology 杂志Academic Editor、 Frontiers in Medicine 杂志Associate Editor、 Medicine 杂志Academic Editor。2016年全军优秀博士论文获得者。2019年第十二届辽宁省青年科技奖十大英才。据Scopus统计,H-index为42,总共6035次引用。