56岁女性,突发头痛,处于嗜睡状态。
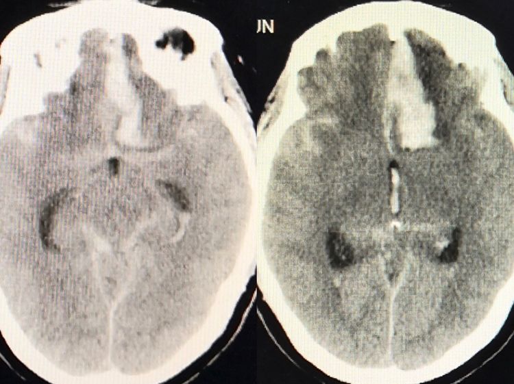
当地医院CT显示蛛网膜下腔及脑室出血,伴有额底纵裂血肿形成。
行CTA检查,发现额底(与大脑前动脉关系密切)有动脉瘤样结构,初步诊断为前交通或大脑前动脉瘤。于是我应邀去会诊,准备好了动脉瘤栓塞。


当完成双侧颈内动脉造影后我们发现,不是最初的诊断;
居然是一个前颅窝的硬脑膜动静脉瘘,供血来于双侧眼动脉的脑膜组。
我们认为的动脉瘤其实是引流静脉的球形扩张!
由于材料所限,不能实施栓塞。
第二天患者转入首医大三博脑科医院。
此时距离其发病已经10天了。
对于这种出血后卧床超过一周的患者,我们常规要求进行深静脉血栓的排查。
结果发现D二聚体高,下肢静脉彩超显示双侧小腿的静脉血栓,左侧较轻,血栓局限在肌间静脉只有4cm长,但右侧血栓接近7cm长,直径达8mm。
经与麻醉科会诊后决定先放置下腔静脉滤器以预防肺栓塞提高手术的安全性、并减少患者卧床制动的痛苦(下肢静脉血栓是要严格下肢制动2周的呀)。

左侧股静脉穿刺造影,咦!下腔静脉还赶上变异了呢,双腔!看图:双腔的汇合点很高啊!

这又是一个小难题!还放滤器吗?放两个?真的需要好好分析。
小腿静脉这种血栓,在没有抗凝禁忌的情况下当然可以不放!要放两个是不是太过度了?特别是左侧静脉较细啊。
我们还是研究一下吧。
首先,放置滤器可明显提高安全,减轻患者术后制动痛苦(一个人两条腿都不让动,除了脑子也不动弹的一定很痛苦);但左侧放置滤器由于血管细,很有可能加重血栓而且将来不太好取出。
最后,我们有一点很幸运,患者右侧血栓重,而且左侧静脉向右侧分流明显。所以最后决定,只在右侧主干下腔静脉放置,患者至少术后可以右腿早活动,而且会大大提高安全系数!(箭头为滤器)

放完滤器、全身麻醉。首先要做一个全面的脑血管造影,特别是硬脑膜动静脉瘘的患者一定要做双侧颈内、外和椎动脉造影,必要时超选到造影。
这不,发现问题了:除了双侧眼动脉供血前颅窝的瘘以外,双侧颌内动脉分支也参与;而且居然又发现了一个后颅窝的瘘。这个后颅窝的瘘可以叫天幕区硬脑膜动静脉瘘吧!虽然没有出血,但可以看出来和前颅窝的瘘具有共同特点:皮层引流且引流不畅(静脉越来越多越来越细)。
这是一种危险结构,容易出血。所以,要干预!

我们首先经眼动脉注胶治愈了前颅窝的硬脑膜动静脉瘘,然后又经过脑膜动脉分支治愈了后颅窝的动静脉瘘。
一切顺利。
图上标注的就是铸型的胶了。

最后小结一下来于这个病例的经验:
1.硬脑膜动静脉瘘是导致颅内出血的病因之一,只是比较罕见。
2.如果伴有引流静脉的瘤样扩张,当流量较低时,CTA常不能在三维重建图像上明显显示引流,特别是颅底的,引流静脉容易被误认为骨嵴;所以有时会被当作动脉瘤。医生要习惯到机器上读取原始图像或者改变条件调试图像来确认。
3.硬脑膜动静脉瘘供血常复杂,经常多部位,造影必须全面,不能遗漏。
4.由于材料和影像技术的发展,瘘的治愈率很高;硬脑膜动静脉瘘治疗的根本是闭塞引流静脉起始段,术者需看透结构、选择合理,有势在必得之决心和不急不躁之作风。
5.出血、卧床、脱水治疗是深静脉血栓的高危因素,要始终不忘静脉血栓的排查和预防。