治疗大脑出血和脑梗这两种常见脑病,到底要怎么做?

大脑出血和脑梗是最常见的脑疾病,一个是血管破裂出血,一个是血管堵塞造成供血不足。虽然情况不同,但治疗的原则有几个大方向是一致的。
首先就要找到引起这些问题的原因,是内在的呢?还是外在的?抑或是二者都有?只有找到病因的根源,我们才能事半功倍地进行治疗哦!
在临床实践中,我发现大部分脑病患者都伴随着高血压的情况。其次就是不良的作息习惯,长期熬夜,还有一些不太健康的饮食选择,比如油腻的食物,甜食,以及时不时来上一杯小酒,这些都对我们的大脑造成了伤害啊!最后一个原因是女士们经常面对的,就是愤怒,这可能涉及到性格和心理因素,也可能与肝脏的问题有关。

其次,也是非常重要的一点,就是辨证。医生在治疗中的辨证能力起到了至关重要的作用。很多患者在求治之前尝试过中药,并称效果并不理想。其实,并不是中药无法治病,更多的问题出在辨证上。找过我治疗的患者都知道,我在进行四诊时非常详尽。这是因为中医讲究的就是要有真实的证据支持。

最后,非常关键的一点,就是开方治疗。按照我的处方进行治疗,你必须严格按照我的方法来服用药物。包括什么时候吃药,如何吃药,与哪些药物搭配使用,还有哪些食物需要忌口,以及一些不应该做的事情,你都必须要记住,并听从医嘱。
只要做到这三点,医患之间配合良好,还怕病情不好转吗?
现在我们来看看治疗的过程!
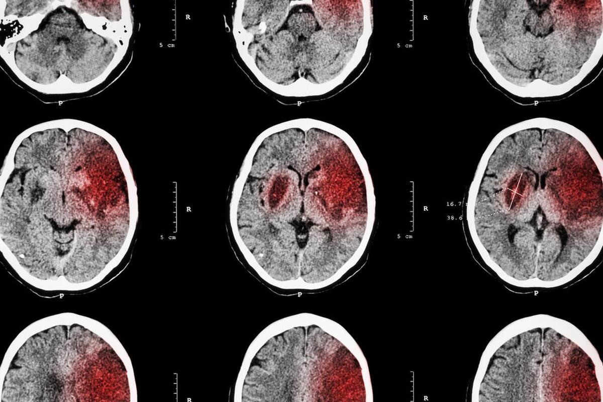
在2022年10月15日,36岁的李女士来就诊。她一年多以来一直有头晕、脑胀、眼花、耳聋的症状,并且失眠已有半年之久。平日里她容易感到冷,而近期她出现了两次严重的头晕症状,甚至无法起床。此外,疾病在傍晚时加重,血压测量结果也偏高。今年年初她曾住院两周,在我市的诊断是“脑梗塞引起的头晕”,但治疗效果不明显,因此出院后她近期一直在使用中药,但效果并不显著。

她的脉搏弦紧有力,舌苔红且厚腻,容易产生闷闷的气息。月经量少且颜色暗,有大量血块,白带也比较多。她的食欲不好,感到心烦急躁,夜间尿频,尿量较少,还有失眠和记忆力减退的问题。此外,她在狭小封闭的环境中感到害怕。
根据诊断结果,她患有高血压、心肌缺血、心脑功能衰弱、气滞血瘀、湿热内盛以及脑肾亏虚等问题。
治疗方案包括焦白术、苍术、车前子、赤芍、柴胡、*党**参、炒山药、陈皮、坤草、薏米、煅牡蛎、煅龙骨、黄芩、栀子、炒川楝子、木香、炒莱菔子、钩藤、珍珠母、磁石等共计12味药材,需要用水煎服。
同时,她还需要进行外贴治疗

在方剂中,我特意添加了磁石,这是一种咸而寒的矿物质药物,具有镇静安神、平肝潜阳、聪耳明目、纳气定喘的功效。磁石可以 滋补肾阴、收敛浮阳 ,可用于治疗由肝阳上升引起的头晕、眼花以及急躁易怒等症状。对于治疗肾虚引起的耳鸣、耳聋效果也非常好哦!

同时,方剂中还添加了煅龙骨和煅牡蛎。这两种药物常常一起使用,对治疗失眠、心悸和心神不宁具有疗效。此外,龙骨和牡蛎也能治疗阴虚和阳亢,有收敛阳气的作用,可以用于治疗头晕、耳聋、耳鸣、头痛等症状。通常情况下,它们还可以与代赭石一起搭配使用,以促使过度升腾的阳气下降。

2023年4月23日 ,服药已经过去一周了,王女士自觉睡眠质量很好,食欲也恢复了,心情没有烦躁感,夜尿频繁的情况明显改善,白带量也明显减少。严重的头晕难以起床的症状也有了明显减轻。她将继续按照这个方剂继续服药。
到了2023年7月 ,我收到了王女士的回访电话。她告诉我现在她睡得很好,食欲也很好,头晕的症状已经消失了。她感觉自己的身体从内到外都有了很大的改变,更重要的是她觉得自己精力充沛,身体有力量。听到这些好消息,我也感到非常开心。

作为一名治疗脑病的医生,我在治疗过程中力求细致认真,对待病人如同待人,脚踏实地地一步一步来。我会根据患者的症状来制定治疗方案。希望我的分享对你有所帮助!