朱迅是央视最著名的女主持人之一,观众每每在电视上看到她,都会为她光鲜的外表,优雅的谈吐所折服。然而于2007年,被诊断出甲状腺癌的她,曾短暂地告别舞台,与病魔抗争。时至今日,朱迅的勇敢和坚强让她重回岗位,让观众再次领略到了她的风采。

下面通过一例真实病例来详细说一下分化型甲状腺癌的规范化治疗过程

病例介绍
原某某,男,62岁, 以“右颈前肿物3年”为主诉入院。
现病史:患者3年前体检发现右颈前肿物,无声音嘶哑、疼痛、心悸、手抖等不适,肿物缓慢增大,未予治疗。
其他既往史、个人史、家族史无特殊。
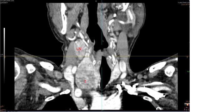
专科检查:气管居中,双侧颈动脉搏动正常,颈静脉无怒张,肝颈静脉回流征阴性。右侧甲状腺区可触及肿物,大小约4*4cm,质中,表面光滑,无压痛,随吞咽活动,表面皮肤正常,肿物与皮肤无粘连。左侧甲状腺区及峡部未触及明显肿物。右颈部Ⅲ、Ⅳ区可触及肿大淋巴结,较大者大小约3*2cm,质中,表面光滑,无压痛,活动。左侧颈部未触及异常肿大淋巴结。
初步诊断
右甲状腺恶性肿瘤伴右颈部淋巴结转移?
如何进一步检查来明确诊断?

一、超声检查评估原发灶及颈部淋巴结




如何明确病理性质?
超声引导下细针穿刺活检(US-FNAB)
甲状腺结节US-FNAB的适应证:
直径>1cm的甲状腺结节,US有恶性征象者,推荐进行US-FNAB;
直径≤1cm的甲状腺结节,不推荐常规行穿刺活检。但若存在以下情况之一,可考虑超声引导下FNAB:US提示甲状腺结节有恶性征象;伴US所见颈部淋巴结异常;童年期有颈部放射线照射史或辐射污染接触史;有甲状腺癌家族史或甲状腺癌综合征病史;18F-FDG显像阳性;伴血清降钙素水平异常升高。

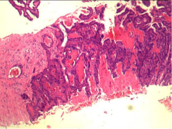
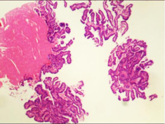
穿刺病理报告

(右侧甲状腺)倾向乳头状癌。 建议标记CK19 , MC , Galectin-3 , CD56 , Tg , TTF-1。

(右颈淋巴结)镜下见乳头状结构的肿瘤/病变。建议标记Tg , TTF-1 , Galectin-3 , CD56 , MC , CK19 , Ki-6
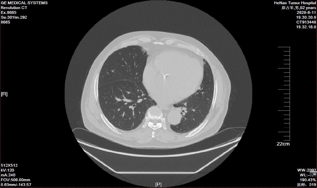
二、下一步?评估病变范围
- 电子计算机断层成像(CT)
- 磁共振成像(MRI)
- 正电子发射计算机断层成像(PET-CT)





对于局部晚期的患者需要补充哪些检查?
- 电子鼻咽喉镜
- 电子气管镜
- 电子食管镜
需要做哪些实验室检查?
1.实验室常规检查:血常规、肝肾功,离子
2.甲状腺激素、甲状腺自身抗体及肿瘤标志物检查
(1)甲状腺激素检测:T3,FT3,T4,FT4,TSH
(2)甲状腺自身抗体检测:TgAb,TPOAb,TRAb
(3)甲状腺癌肿瘤标志物检测:甲状腺球蛋白(thyroglobulin,Tg),降钙素(calcitonin,Ct)和癌胚抗原(carcinoembryonic antigen,CEA)
(4)用于诊断的相关分子检测:如BRAF突变、Ras突变、RET/PTC重排等
本例患者:TG>500ng/ml (3.5-77ng/ml) 降钙素24.20pg/ml(0-9.52ng/ml)
如何治疗?
1、分化型甲状腺癌的治疗原则
1、分化型甲状腺癌(DTC)的治疗以外科治疗为主,辅以术后内分泌治疗、放射性核素治疗,某些情况下需辅以放射治疗、靶向治疗。
2、甲状腺髓样癌(MTC)以外科治疗为主,某些情况下需辅以放射治疗、靶向治疗。
2、分化型甲状腺癌的外科治疗策略
(1).原发灶术式选择:
一侧腺叶及峡部切除 (没有高危因素的 T1、T2的病变)
全甲状腺切除(T3a、 T3b、T4a的病变,N1b,M1,伴有高危因素的T1,T2的病变,双侧病变,多灶病变)
具体手术方案需权衡手术获益和风险。
(2)区域淋巴结的处理
中央区淋巴结(Ⅵ区):
cN1a应清扫患侧中央区。如果为单侧病变,中央区清扫范围建议包括患侧气管食管沟及气管前。
对于cN0的患者,如有高危因素(如T3~T4病变、多灶癌、家族史、幼年电离辐射接触史等),可考虑行中央区清扫。对于cN0低危患者(不伴有高危因素),可个体化处理。
侧颈部淋巴结处理(Ⅰ~Ⅴ区)
治疗性清扫,即术前评估或术中冰冻证实为N1b时行侧颈清扫。
侧颈清扫的范围包括Ⅱ、Ⅲ、Ⅳ、ⅤB区,最小范围是ⅡA、Ⅲ、Ⅳ区。Ⅰ区不需要常规清扫。
三、分期、预后、下一步治疗?
原发灶(T)分期
pTX:原发肿瘤不能评估
pT0:无肿瘤证据
pT1:肿瘤局限在甲状腺内,最大径≤2cm
pT1a 肿瘤最大径≤1cm
pT1b肿瘤最大径>1cm,≤2cm
pT2:肿瘤2~4cm
pT3:肿瘤>4cm,局限于甲状腺内或大体侵犯甲状腺外带状肌
pT3a:肿瘤>4cm,局限于甲状腺内
pT3b:大体侵犯甲状腺外带状肌,无论肿瘤大小
带状肌包括:胸骨舌骨肌、胸骨甲状肌、甲状舌骨肌、肩胛舌骨肌
pT4:大体侵犯甲状腺外带状肌外
pT4a:侵犯喉、气管、食管、喉返神经及皮下软组织
pT4b:侵犯椎前筋膜,或包裹颈动脉、纵隔血管
2.区域淋巴结(N)分期
pN0:无淋巴结转移证据
pN1:区域淋巴结转移
pN1a:转移至Ⅵ、Ⅶ区(包括气管旁、气管前、喉前/或上纵隔)淋巴结,可以为单侧或双侧。
pN1b:单侧、双侧或对侧颈淋巴结转移(包括Ⅰ、Ⅱ、Ⅲ、Ⅳ或Ⅴ区)淋巴结或咽后淋巴结转移。

哪些甲状腺癌患者需要131I治疗?
复发风险分层是甲癌患者后续治疗的重要决策基础

2015 ATA指南:复发风险分层是甲癌个体化管理的基石

131I治疗指征
1.《2015ATA指南》对高危复发危险分层患者强烈推荐131I治疗。
2.对中危分层患者可考虑131I治疗,但其中有镜下甲状腺外侵犯但癌灶较小或淋巴结转移个数少、受累直径小且不伴高侵袭性组织亚型或血管侵犯等危险因素的中危患者经131I治疗后未能改善总体预后,可进行131I治疗。
3.对低危分层患者,不推荐行131I治疗。
4.《2015ATA指南》对低危人群中淋巴结受累≤5 个(无节外侵犯、累及<0.2 cm)者,已不再推荐行131I治疗。但若从便于通过监测血清Tg水平及131I全身显像后续随访的角度来看,可行131I清甲治疗。
中高危患者如何进行TSH抑制治疗?
国外指南推荐术后TSH抑制治疗目标

根据双风险分层设立TSH抑制治疗目标


DTC中高危患者TSH抑制治疗目标
DTC复发风险中高危患者,TSH水平抑制在0.1 mIU/L以下, TSH抑制治疗副作用风险中高危者手术1年后可放宽至0.5 mIU/L。
DTC复发风险中高危患者
中危组
符合以下任一条件者
初次手术后病理检查可在镜下发现肿瘤有甲状腺周围软组织侵犯
有颈部淋巴结转移或清甲后行WBS发现有异常放射性摄取
肿瘤为侵袭型的组织学亚型,或有血管侵犯
高危组
符合以下任一条件者
肉眼可见肿瘤侵犯周围组织或器官
肿瘤未能完整切除,术中有残留
伴有远处转移
全甲状腺切除后,血清Tg水平仍较高
有甲状腺癌家族史
总结:研究显示,术后初始评估中近一半的DTC患者为中高危患者,中高危DTC患者术后复发和死亡率风险高,须引起足够重视;
循证医学证实,DTC中高危患者术后及时并长期TSH抑制达标,可显著降低复发、提高患者生存;
2012年中国甲癌指南推荐,DTC复发风险中高危患者,术后需要立即进行TSH抑制治疗,抑制目标<0.1 mIU/L, TSH抑制治疗副作用风险中高危者1年后可放宽至0.5 mIU/L;
研究提示,当TSH控制到极低(比如<0.02 mU/L时)心功能影响较明显,另外高龄者进行TSH抑制治疗较易影响心功能; 中国指南建议:TSH抑制治疗期间,积极监测心血管反应,根据预防用药指征,使用β-受体阻滞剂正确预防;
现有研究,未发现TSH抑制治疗对男性和绝经前女性的骨骼有影响,一些研究表明TSH抑制治疗有降低绝经后妇女骨密度的风险; 中国指南建议: TSH抑制治疗期间,积极监测骨质情况,绝经后女性DTC患者应接受骨质疏松(OP)预防,达到OP诊断标准者启动正规抗OP治疗。